Rab3A Antibody (OTI1G3) - Azide and BSA Free

Images

 
Western Blot: Rab3A Antibody (OTI1G3) - Azide and BSA Free [NBP2-73773] - HEK293T cells were transfected with the pCMV6-ENTRY control (Left lane) or pCMV6-ENTRY RAB3A (Right lane) cDNA for 48 hrs and lysed. Equivalent ...read more
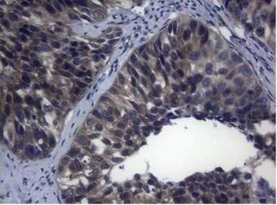
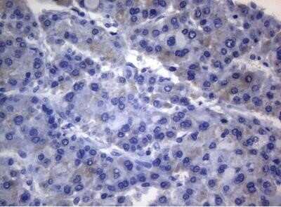
Immunohistochemistry: Rab3A Antibody (OTI1G3) - Azide and BSA Free [NBP2-73773] - Staining of paraffin-embedded Human lymph node tissue within the normal limits using anti-RAB3A mouse monoclonal antibody.
Immunohistochemistry: Rab3A Antibody (OTI1G3) - Azide and BSA Free [NBP2-73773] - Staining of paraffin-embedded Carcinoma of Human kidney tissue using anti-RAB3A mouse monoclonal antibody.
Immunohistochemistry: Rab3A Antibody (OTI1G3) - Azide and BSA Free [NBP2-73773] - Staining of paraffin-embedded Carcinoma of Human liver tissue using anti-RAB3A mouse monoclonal antibody.
Immunohistochemistry: Rab3A Antibody (OTI1G3) - Azide and BSA Free [NBP2-73773] - Staining of paraffin-embedded Human endometrium tissue within the normal limits using anti-RAB3A mouse monoclonal antibody.
Immunohistochemistry: Rab3A Antibody (OTI1G3) - Azide and BSA Free [NBP2-73773] - Staining of paraffin-embedded Human lymphoma tissue using anti-RAB3A mouse monoclonal antibody.

Product Details

Summary
Reactivity Hu, Mu, RtSpecies Glossary
Applications WB, IHC
Clone
OTI1G3
Clonality
Monoclonal
Host
Mouse
Conjugate
Unconjugated
Format
Azide and BSA Free
Concentration
LYOPH

Order Details

Rab3A Antibody (OTI1G3) - Azide and BSA Free Summary

Description
Novus Biologicals Mouse Rab3A Antibody (OTI1G3) - Azide and BSA Free (NBP2-45499) is a monoclonal antibody validated for use in IHC and WB. All Novus Biologicals antibodies are covered by our 100% guarantee.
Immunogen
Full length human recombinant protein of human RAB3A(NP_002857) produced in E.coli.
Isotype
IgG1
Clonality
Monoclonal
Host
Mouse
Gene
RAB3A
Purity
Immunogen affinity purified
Innovator's Reward
Test in a species/application not listed above to receive a full credit towards a future purchase.

Applications/Dilutions

Dilutions
  • Immunohistochemistry 1:150
  • Immunohistochemistry-Paraffin
  • Western Blot 1:2000

Reactivity Notes

Please note that this antibody is reactive to Mouse and derived from the same host, Mouse. Mouse-On-Mouse blocking reagent may be needed for IHC and ICC experiments to reduce high background signal. You can find these reagents under catalog numbers PK-2200-NB and MP-2400-NB. Please contact Technical Support if you have any questions.

Packaging, Storage & Formulations

Storage
Store at -20C. Avoid freeze-thaw cycles.
Buffer
Lyophilized from PBS (pH 7.3) with 8% Trehalose
Preservative
No Preservative
Concentration
LYOPH
Purity
Immunogen affinity purified
Reconstitution Instructions
we recommend adding 100uL distilled water to a final antibody concentration of about 1 mg/mL. To use this carrier-free antibody for conjugation experiment, we strongly recommend performing another round of desalting process.

Alternate Names for Rab3A Antibody (OTI1G3) - Azide and BSA Free

  • RAB3A, member RAS oncogene family
  • RAS-associated protein RAB3A
  • ras-related protein Rab-3A

Background

Rab proteins belong to the Ras small GTPase superfamily. The GTP-binding Rab3 subfamily has 4 known isoforms: 3A, 3B, 3C, and 3D (Schluter et al., 2004). These proteins are expressed in highest concentrations in brain and endocrine tissues and involved in regulated exocytosis of hormones and neurotransmitters (Coppola et al., 2002). Specifically, Rab3's are thought to play a key role in presynaptic vesicle trafficking and priming (Schluter et al., 2006).

Limitations

This product is for research use only and is not approved for use in humans or in clinical diagnosis. Primary Antibodies are guaranteed for 1 year from date of receipt.

Customers Who Viewed This Item Also Viewed...

NBP1-33714
Species: Hu, Mu, Rt, Ze
Applications: ICC/IF, IHC-WhMt, IHC, IHC-Fr,  IHC-P, Simple Western, WB
NBP1-87940
Species: Hu
Applications: IHC,  IHC-P
NB300-653
Species: Ch, Fe, Hu, Pm, Mu, Rt
Applications: ELISA, ICC/IF, IHC, IHC-Fr,  IHC-P, IP, WB
NBP3-30337
Species: Hu, Mu
Applications: WB
NBP1-91991
Species: Hu, Mu, Rt
Applications: ICC/IF, IHC,  IHC-P, WB
MAB1417
Species: Bv, Hu, Mu
Applications: ICC, IHC
NBP1-55113
Species: Hu, Pm, Mu
Applications: IHC,  IHC-P, WB
H00005865-M01
Species: Hu
Applications: ELISA, ICC/IF, IHC,  IHC-P, WB
H00005873-M02
Species: Hu, Mu, Rb
Applications: ELISA, Flow, ICC/IF, IHC,  IHC-P, IP, KD, S-ELISA, WB
MAB4364
Species: Rt
Applications: ICC, IHC, IP, KO, WB
NBP3-46822
Species: Hu, Mu, Rt
Applications: ELISA, IHC, IP, WB
NBP1-32871
Species: Hu, Mu, Rt
Applications: ICC/IF, IHC,  IHC-P, WB
NBP1-31528
Species: Hu, Mu
Applications: IHC,  IHC-P, WB
NB120-13253
Species: Bv, Hu, Pm, Mu, Rt
Applications: ICC/IF, IHC-FrFl, IHC,  IHC-P, IP, WB
NBP3-13179
Species: Mu, Rt
Applications: ICC/IF, IHC, IHC-Fr,  IHC-P, WB
H00004218-M02
Species: Hu, Mu, Ze
Applications: ELISA, ICC/IF, IHC, WB
NBP1-82964
Species: Hu, Mu
Applications: ICC/IF, IHC,  IHC-P, IP, WB
NBP2-73773
Species: Hu, Mu, Rt
Applications: WB, IHC

Publications for Rab3A Antibody (NBP2-73773) (0)

There are no publications for Rab3A Antibody (NBP2-73773).
By submitting your publication information earn gift cards and discounts for future purchases.

Reviews for Rab3A Antibody (NBP2-73773) (0)

There are no reviews for Rab3A Antibody (NBP2-73773). By submitting a review you will receive an Amazon e-Gift Card or Novus Product Discount.
  • Review with no image -- $10/€7/£6/$10 CAD/¥70 Yuan/¥1110 Yen
  • Review with an image -- $25/€18/£15/$25 CAD/¥150 Yuan/¥2500 Yen

Product General Protocols

Find general support by application which include: protocols, troubleshooting, illustrated assays, videos and webinars.

Video Protocols

WB Video Protocol

FAQs for Rab3A Antibody (NBP2-73773) (0)

There are no specific FAQs related to this product. Read our general customer & technical service FAQs.

Secondary Antibodies

 

Isotype Controls

Additional Rab3A Products

Research Areas for Rab3A Antibody (NBP2-73773)

Find related products by research area.

Blogs on Rab3A

There are no specific blogs for Rab3A, but you can read our latest blog posts.

Customers Who Bought This Also Bought

Contact Information

Product PDFs

Calculators

Concentration Calculator

The concentration calculator allows you to quickly calculate the volume, mass or concentration of your vial. Simply enter your mass, volume, or concentration values for your reagent and the calculator will determine the rest.

=
÷

Review this Product

Be the first to review our Rab3A Antibody (OTI1G3) - Azide and BSA Free and receive a gift card or discount.

Bioinformatics

Gene Symbol RAB3A