PTPIP51 Antibody - BSA Free

Images

 
Immunocytochemistry/ Immunofluorescence: PTPIP51 Antibody [NBP1-84738] - Staining of human cell line U-2 OS shows positivity in mitochondria. Antibody staining is shown in green.
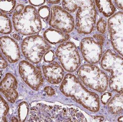
Immunohistochemistry-Paraffin: PTPIP51 Antibody [NBP1-84738] - Staining of human kidney shows strong cytoplasmic granular positivity in cells in tubules.
Immunohistochemistry-Paraffin: PTPIP51 Antibody [NBP1-84738] - Staining of human skin shows moderate to strong cytoplasmic positivity in keratinocytes.
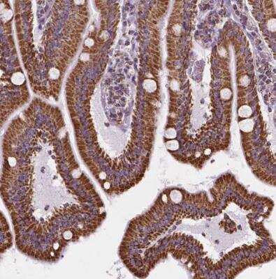
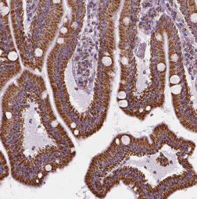
Immunohistochemistry-Paraffin: PTPIP51 Antibody [NBP1-84738] - Staining of human small intestine shows strong cytoplasmic granular positivity in glandular cells.
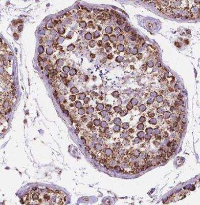
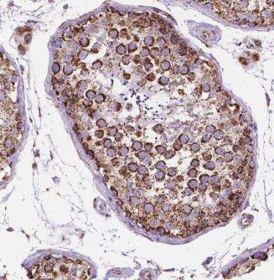
Immunohistochemistry-Paraffin: PTPIP51 Antibody [NBP1-84738] - Staining of human testis shows strong cytoplasmic granular positivity in cells in seminiferous ducts.
Analysis in human cell line CACO-2.
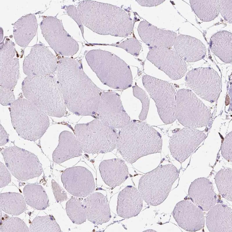
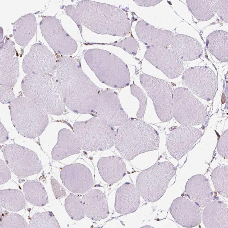
Staining of human skeletal muscle shows very weak cytoplasmic granular positivity in myocytes.

Product Details

Summary
Reactivity HuSpecies Glossary
Applications WB, ICC/IF, IHC
Clonality
Polyclonal
Host
Rabbit
Conjugate
Unconjugated
Format
BSA Free

Order Details

View Available Formulations
Catalog# & Formulation Size Price

PTPIP51 Antibody - BSA Free Summary

Description
Novus Biologicals Rabbit PTPIP51 Antibody - BSA Free (NBP1-84738) is a polyclonal antibody validated for use in IHC, WB and ICC/IF. Anti-PTPIP51 Antibody: Cited in 3 publications. All Novus Biologicals antibodies are covered by our 100% guarantee.
Immunogen
This antibody was developed against Recombinant Protein corresponding to amino acids: DEVSCETVKMGRKDSLDLEEEAASGASSALEAGGSSGLEDVLPLLQQADELHRGDEQGKREGFQLLLNNKLVYGSRQDFLWRLARAYSDMCELTEEVSEKKSYALDGKEEAEAALEKGDESADCHLWYAVLCG
Isotype
IgG
Clonality
Polyclonal
Host
Rabbit
Gene
RMDN3
Purity
Affinity purified
Innovator's Reward
Test in a species/application not listed above to receive a full credit towards a future purchase.

Applications/Dilutions

Dilutions
  • Immunocytochemistry/ Immunofluorescence 0.25-2 ug/ml
  • Immunohistochemistry 1:500 - 1:1000
  • Immunohistochemistry-Paraffin 1:500 - 1:1000
  • Western Blot 0.04-0.4 ug/ml
Application Notes
For IHC-Paraffin, HIER pH 6 retrieval is recommended. ICC/IF Fixation Permeabilization: Use PFA/Triton X-100.
Control Peptide
PTPIP51 Protein (NBP1-84738PEP)
Publications
Read Publications using
NBP1-84738 in the following applications:

Reactivity Notes

Immunogen displays the following percentage of sequence identity for non-tested species: Mouse (80%), Rat (84%)

Packaging, Storage & Formulations

Storage
Store at 4C short term. Aliquot and store at -20C long term. Avoid freeze-thaw cycles.
Buffer
PBS (pH 7.2) and 40% Glycerol
Preservative
0.02% Sodium Azide
Purity
Affinity purified

Alternate Names for PTPIP51 Antibody - BSA Free

  • Cerebral protein 10
  • FAM82Cmicrotubule-associated protein
  • family with sequence similarity 82, member A2
  • FLJ10579
  • hRMD-3
  • Protein FAM82A2
  • Protein FAM82C
  • Protein tyrosine phosphatase-interacting protein 51
  • ptpip51
  • PTPIP51family with sequence similarity 82, member C
  • regulator of microtubule dynamics 3
  • regulator of microtubule dynamics protein 3
  • RMD3
  • RMD-3
  • TCPTP-interacting protein 51

Background

PTPIP51 may participate in differentiation and apoptosis of keratinocytes. Overexpression induces apoptosis.

Limitations

This product is for research use only and is not approved for use in humans or in clinical diagnosis. Primary Antibodies are guaranteed for 1 year from date of receipt.

Customers Who Viewed This Item Also Viewed...

AF3954
Species: Mu, Rt
Applications: Simple Western, WB
236-EG
Species: Hu
Applications: BA
MAB1930
Species: Hu, Mu, Rt
Applications: WB
MAB4540
Species: Hu, Mu, Rt
Applications: IHC, Simple Western, WB
AF2685
Species: Hu
Applications: IHC, Simple Western, WB
AF231
Species: Hu
Applications: CyTOF-ready, Dual ISH-IHC, ELISA(Cap), ELISA(Det), ELISA(Sta), Flow, ICC, IHC, IP, Simple Western, WB
NBP2-27202
Species: Ca, Ch, ChHa, Fe, Hu, Mu, Ma-Op, Po, Pm, Rt
Applications: ICC/IF, Simple Western, WB
H00001606-B01P
Species: Pm, Hu
Applications: ICC/IF, WB
NBP1-89112
Species: Hu, Mu, Rt
Applications: ICC/IF, IHC,  IHC-P, IP, WB
NBP1-90299
Species: Hu
Applications: ICC/IF, IHC, IHC-Fr,  IHC-P, WB
AF3206
Species: Hu, Mu, Rt
Applications: ICC, Simple Western, WB
NBP1-80611
Species: Hu
Applications: ICC/IF, IHC,  IHC-P, WB
NBP2-27335
Species: Hu, Mu, Rt(-)
Applications: CyTOF-ready, Flow, ICC/IF, WB
NBP1-47833
Species: Hu, Mu, Rt
Applications: ICC/IF, IHC,  IHC-P, WB

Publications for PTPIP51 Antibody (NBP1-84738)(3)

Reviews for PTPIP51 Antibody (NBP1-84738) (0)

There are no reviews for PTPIP51 Antibody (NBP1-84738). By submitting a review you will receive an Amazon e-Gift Card or Novus Product Discount.
  • Review with no image -- $10/€7/£6/$10 CAD/¥70 Yuan/¥1110 Yen
  • Review with an image -- $25/€18/£15/$25 CAD/¥150 Yuan/¥2500 Yen

Product General Protocols

Find general support by application which include: protocols, troubleshooting, illustrated assays, videos and webinars.

Video Protocols

WB Video Protocol
ICC/IF Video Protocol

FAQs for PTPIP51 Antibody (NBP1-84738) (0)

There are no specific FAQs related to this product. Read our general customer & technical service FAQs.

Customers Who Bought This Also Bought

Contact Information

Product PDFs

Calculators

Concentration Calculator

The concentration calculator allows you to quickly calculate the volume, mass or concentration of your vial. Simply enter your mass, volume, or concentration values for your reagent and the calculator will determine the rest.

=
÷

Review this Product

Be the first to review our PTPIP51 Antibody - BSA Free and receive a gift card or discount.

Bioinformatics

Gene Symbol RMDN3