PSMA/FOLH1/NAALADase I Antibody (FOLH1/2354) - Azide and BSA Free

Images

 
Western Blot: PSMA/FOLH1/NAALADase I Antibody (FOLH1/2354) - Azide and BSA Free [NBP3-08385] - Western Blot Analysis of human LNCaP cell lysate using PSMA/FOLH1/NAALADase I Mouse Monoclonal Antibody (FOLH1/2354).
Protein Array: PSMA/FOLH1/NAALADase I Antibody (FOLH1/2354) - Azide and BSA Free [NBP3-08385] - Analysis of Protein Array containing more than 19,000 full-length human proteins using PSMA/FOLH1/NAALADase I Mouse ...read more
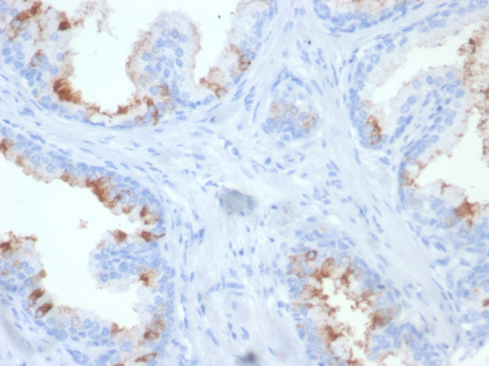
Formalin-fixed, paraffin-embedded human prostate carcinoma stained with PSMA/FOLH1/NAALADase I antibody (FOLH1/2354) at 2ug/ml. HIER: Tris/EDTA, pH9.0, 45min. Secondary: HRP-polymer, 30min. DAB, 5min.
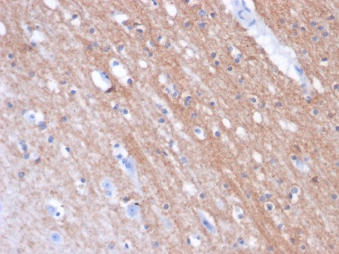
Formalin-fixed, paraffin-embedded horse brain stained with PSMA/FOLH1/NAALADase I antibody (FOLH1/2354). HIER: Tris/EDTA, pH9.0, 45min. Secondary: HRP-polymer, 30min. DAB, 5min.
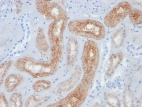
Formalin-fixed, paraffin-embedded dog kidney stained with PSMA/FOLH1/NAALADase I antibody (FOLH1/2354). HIER: Tris/EDTA, pH9.0, 45min. Secondary: HRP-polymer, 30min. DAB, 5min.
Formalin-fixed, paraffin-embedded cat kidney stained with PSMA/FOLH1/NAALADase I antibody (FOLH1/2354). HIER: Tris/EDTA, pH9.0, 45min. Secondary: HRP-polymer, 30min. DAB, 5min.

Product Details

Summary
Reactivity Hu, Ca, Eq, FeSpecies Glossary
Applications WB, IHC, MA
Clone
FOLH1/2354
Clonality
Monoclonal
Host
Mouse
Conjugate
Unconjugated
Format
Azide and BSA Free
Concentration
1 mg/ml

Order Details

PSMA/FOLH1/NAALADase I Antibody (FOLH1/2354) - Azide and BSA Free Summary

Description
1.0 mg/ml of antibody purified from Bioreactor Concentrate by Protein A/G. Prepared in 10mM PBS WITHOUT BSA & azide. Also available at 200 ug/ml WITH BSA & azide (NBP3-07576).

Antibody with azide - store at 2 to 8C. Antibody without azide - store at -20 to -80C.
Immunogen
Recombinant human PSMA/FOLH1/NAALADase I protein fragment (around aa 232-433) (exact sequence is proprietary) (Uniprot: Q04609 )
Localization
Cell Surface and Cytoplasmic
Marker
Prostate Epithelial Marker
Isotype
IgG2b Kappa
Clonality
Monoclonal
Host
Mouse
Gene
FOLH1
Purity
Protein A or G purified
Innovator's Reward
Test in a species/application not listed above to receive a full credit towards a future purchase.

Applications/Dilutions

Dilutions
  • Immunohistochemistry-Paraffin 1-2 ug/ml
  • Protein Array
  • Western Blot 1-2 ug/ml
Application Notes
Immunohistochemistry Formalin-fixed: 1-2ug/ml for 30 minutes at RT. Staining of formalin-fixed tissues requires heating tissue sections in 10mM Tris with 1mM EDTA, pH 9.0, for 45 min at 95C followed by cooling at RT for 20 minutes.
Theoretical MW
100 kDa.
Disclaimer note: The observed molecular weight of the protein may vary from the listed predicted molecular weight due to post translational modifications, post translation cleavages, relative charges, and other experimental factors.

Packaging, Storage & Formulations

Storage
Store at -20 to -80C. Avoid freeze-thaw cycles.
Buffer
10 mM PBS
Preservative
No Preservative
Concentration
1 mg/ml
Purity
Protein A or G purified

Alternate Names for PSMA/FOLH1/NAALADase I Antibody (FOLH1/2354) - Azide and BSA Free

  • Cell growth-inhibiting gene 27 protein
  • cell growth-inhibiting protein 27
  • EC 3.4.17.21
  • FGCP
  • folate hydrolase (prostate-specific membrane antigen) 1
  • Folate hydrolase 1
  • FOLH1
  • FOLHNAALADase I
  • Folylpoly-gamma-glutamate carboxypeptidase
  • GCP2
  • GCPII
  • GCPIImGCP
  • glutamate carboxylase II
  • glutamate carboxypeptidase 2
  • Glutamate carboxypeptidase II
  • Membrane glutamate carboxypeptidase
  • mopsm
  • NAALAD1
  • NAALAD1N-acetylated-alpha-linked acidic dipeptidase I
  • NAALADase I
  • NAALAdase
  • N-acetylated alpha-linked acidic dipeptidase 1
  • prostate specific membrane antigen variant F
  • Prostate-specific membrane antigen
  • PSMA
  • PSMAFGCP
  • PSMPteroylpoly-gamma-glutamate carboxypeptidase

Background

PSMA, also known as Glutamate carboxypeptidase 2, is a 84kDa 750 amino acid protein that has 8 isoforms produced by alternative splicing. The primary function of this protein is to act as a glutamate carboxypeptidase. Current research on PSMA is being conducted in relation to prostate cancer, muscular atrophy, small cell carcinoma, coronary heart disease and Huntington's disease. PSMA is known to interact with MME, MTAP and RPS3.

Limitations

This product is for research use only and is not approved for use in humans or in clinical diagnosis. Primary Antibodies are guaranteed for 1 year from date of receipt.

Customers Who Viewed This Item Also Viewed...

DKK300
Species: Hu
Applications: ELISA
NBP1-32920
Species: Hu, Mu
Applications: ICC/IF, IHC,  IHC-P, KD, WB
AF4036
Species: Hu
Applications: Simple Western, WB
H00005324-M02
Species: Hu, Mu
Applications: ELISA, IHC,  IHC-P, WB
NBP3-48658
Species: Ca, Fe, Hu, Mu, Rt, Ze
Applications: ICC/IF, IHC,  IHC-P, WB
NB100-56603
Species: Ca, Hu, Mu, Pm, Rt
Applications: IHC,  IHC-P, WB
NBP3-17040
Species: Hu
Applications: IHC,  IHC-P, WB
NLS3208
Species: Bv, Eq, Hu, Pm, Po, Pm
Applications: ICC, IHC,  IHC-P, WB
NBP2-22321
Species: Hu
Applications: ICC/IF, IP, WB
NB110-74730
Species: Mu, Rt
Applications: ICC/IF, IHC, IHC-Fr,  IHC-P, WB
AF231
Species: Hu
Applications: CyTOF-ready, Dual ISH-IHC, ELISA(Cap), ELISA(Det), ELISA(Sta), Flow, ICC, IHC, IP, Simple Western, WB
NBP1-59904
Species: Hu
Applications: IHC,  IHC-P, WB
H00008000-M03
Species: Hu
Applications: ELISA, PA, WB
NBP1-81838
Species: Hu, Mu
Applications: IHC,  IHC-P, WB
NBP1-83224
Species: Hu
Applications: ICC/IF, IHC,  IHC-P, WB
H00005122-M02
Species: Hu, Mu, Rt
Applications: ELISA, ICC/IF, IHC,  IHC-P, S-ELISA, WB

Publications for PSMA/FOLH1/NAALADase I Antibody (NBP3-08385) (0)

There are no publications for PSMA/FOLH1/NAALADase I Antibody (NBP3-08385).
By submitting your publication information earn gift cards and discounts for future purchases.

Reviews for PSMA/FOLH1/NAALADase I Antibody (NBP3-08385) (0)

There are no reviews for PSMA/FOLH1/NAALADase I Antibody (NBP3-08385). By submitting a review you will receive an Amazon e-Gift Card or Novus Product Discount.
  • Review with no image -- $10/€7/£6/$10 CAD/¥70 Yuan/¥1110 Yen
  • Review with an image -- $25/€18/£15/$25 CAD/¥150 Yuan/¥2500 Yen

Product General Protocols

Find general support by application which include: protocols, troubleshooting, illustrated assays, videos and webinars.

Video Protocols

WB Video Protocol

FAQs for PSMA/FOLH1/NAALADase I Antibody (NBP3-08385) (0)

There are no specific FAQs related to this product. Read our general customer & technical service FAQs.

Secondary Antibodies

 

Isotype Controls

Additional PSMA/FOLH1/NAALADase I Products

Research Areas for PSMA/FOLH1/NAALADase I Antibody (NBP3-08385)

Find related products by research area.

Blogs on PSMA/FOLH1/NAALADase I.

Taking Biomarker Discovery From 2D to 3D: Increased Biological Activity of EVs Isolated From 3D Prostate Cancer Cultures
Jamshed Arslan, Pharm D, PhD Tissues within the human body are made of a three-dimensional (3D) arrangement of cells working together to perform vital functions. The commonly used 2D monolayer cultures have limited ...  Read full blog post.

Customers Who Bought This Also Bought

Contact Information

Product PDFs

Calculators

Concentration Calculator

The concentration calculator allows you to quickly calculate the volume, mass or concentration of your vial. Simply enter your mass, volume, or concentration values for your reagent and the calculator will determine the rest.

=
÷

Review this Product

Be the first to review our PSMA/FOLH1/NAALADase I Antibody (FOLH1/2354) - Azide and BSA Free and receive a gift card or discount.

Bioinformatics

Gene Symbol FOLH1