PRPSAP2 Antibody (OTI1E3) - Azide and BSA Free

Images

 
Western Blot: PRPSAP2 Antibody (OTI1E3) - Azide and BSA Free [NBP2-73676] - HEK293T cells were transfected with the pCMV6-ENTRY control (Left lane) or pCMV6-ENTRY PRPSAP2 (Right lane) cDNA for 48 hrs and lysed. ...read more
Immunocytochemistry/ Immunofluorescence: PRPSAP2 Antibody (OTI1E3) - Azide and BSA Free [NBP2-73676] - Staining of COS7 cells transiently transfected by pCMV6-ENTRY PRPSAP2 .
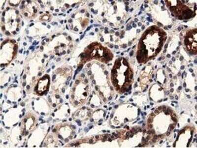
Immunohistochemistry: PRPSAP2 Antibody (OTI1E3) - Azide and BSA Free [NBP2-73676] - Staining of paraffin-embedded Human Kidney tissue using anti-PRPSAP2 mouse monoclonal antibody.
Flow Cytometry: PRPSAP2 Antibody (OTI1E3) - Azide and BSA Free [NBP2-73676] - HEK293T cells transfected with either overexpression plasmid (Red) or empty vector control plasmid (Blue) were immunostaining by anti-PRPSAP2 ...read more
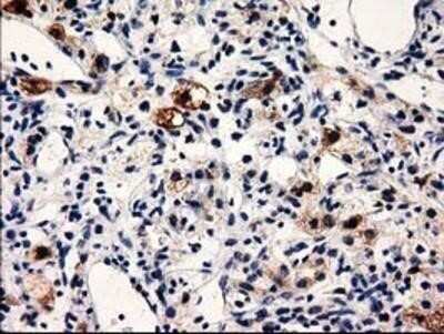
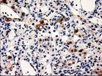
Immunohistochemistry: PRPSAP2 Antibody (OTI1E3) - Azide and BSA Free [NBP2-73676] - Staining of paraffin-embedded Carcinoma of Human kidney tissue using anti-PRPSAP2 mouse monoclonal antibody.
Immunohistochemistry: PRPSAP2 Antibody (OTI1E3) - Azide and BSA Free [NBP2-73676] - Staining of paraffin-embedded Human liver tissue using anti-PRPSAP2 mouse monoclonal antibody.

Product Details

Summary
Reactivity Hu, Mu, RtSpecies Glossary
Applications WB, Flow, ICC/IF, IHC, CyTOF-ready
Clone
OTI1E3
Clonality
Monoclonal
Host
Mouse
Conjugate
Unconjugated
Format
Azide and BSA Free
Concentration
LYOPH

Order Details

PRPSAP2 Antibody (OTI1E3) - Azide and BSA Free Summary

Description
Novus Biologicals Mouse PRPSAP2 Antibody (OTI1E3) - Azide and BSA Free (NBP2-02893) is a monoclonal antibody validated for use in IHC, WB, Flow and ICC/IF. All Novus Biologicals antibodies are covered by our 100% guarantee.
Immunogen
Full length human recombinant protein of human PRPSAP2 (NP_002758) produced in HEK293T cell.
Isotype
IgG1
Clonality
Monoclonal
Host
Mouse
Gene
PRPSAP2
Purity
Immunogen affinity purified
Innovator's Reward
Test in a species/application not listed above to receive a full credit towards a future purchase.

Applications/Dilutions

Dilutions
  • CyTOF-ready
  • Flow Cytometry 1:100
  • Immunocytochemistry/ Immunofluorescence 1:100
  • Immunohistochemistry 1:150
  • Immunohistochemistry-Paraffin
  • Western Blot 1:2000
Theoretical MW
40.7 kDa.
Disclaimer note: The observed molecular weight of the protein may vary from the listed predicted molecular weight due to post translational modifications, post translation cleavages, relative charges, and other experimental factors.

Reactivity Notes

Please note that this antibody is reactive to Mouse and derived from the same host, Mouse. Mouse-On-Mouse blocking reagent may be needed for IHC and ICC experiments to reduce high background signal. You can find these reagents under catalog numbers PK-2200-NB and MP-2400-NB. Please contact Technical Support if you have any questions.

Packaging, Storage & Formulations

Storage
Store at -20C. Avoid freeze-thaw cycles.
Buffer
Lyophilized from PBS (pH 7.3) with 8% Trehalose
Preservative
No Preservative
Concentration
LYOPH
Purity
Immunogen affinity purified
Reconstitution Instructions
we recommend adding 100uL distilled water to a final antibody concentration of about 1 mg/mL. To use this carrier-free antibody for conjugation experiment, we strongly recommend performing another round of desalting process.

Alternate Names for PRPSAP2 Antibody (OTI1E3) - Azide and BSA Free

  • MGC117304
  • MGC126719
  • MGC126721
  • PAP4141 kDa phosphoribosypyrophosphate synthetase-associated protein
  • phosphoribosyl pyrophosphate synthase-associated protein 2
  • phosphoribosyl pyrophosphate synthetase-associated protein 2
  • PRPP synthase-associated protein 2

Background

The enzyme phosphoribosylpyrophosphate synthetase (PRS) catalyzes the formation of phosphoribosylpyrophosphate which is a substrate for synthesis of purine and pyrimidine nucleotides, histidine, tryptophan and NAD. PRS exists as a complex with two catalytic subunits and two associated subunits. This gene encodes a non-catalytic associated subunit of PRS. [provided by RefSeq]

Limitations

This product is for research use only and is not approved for use in humans or in clinical diagnosis. Primary Antibodies are guaranteed for 1 year from date of receipt.

Customers Who Viewed This Item Also Viewed...

NBP3-46877
Species: Hu, Mu, Rt
Applications: ELISA, IHC, IP, WB
NBP2-13813
Species: Hu
Applications: ICC/IF, IHC,  IHC-P
NBP1-31435
Species: Hu
Applications: ICC/IF, IHC,  IHC-P, KD, WB
NBP1-85435
Species: Hu, Mu, Rt
Applications: ICC/IF, IHC,  IHC-P, WB
NBP3-46842
Species: Hu, Mu, Rt
Applications: ELISA, IHC, WB
NBP1-91830
Species: Hu
Applications: ICC/IF, IHC,  IHC-P, WB
NBP1-91959
Species: Hu
Applications: ICC/IF, IHC,  IHC-P
NBP2-48909
Species: Hu, Mu
Applications: ICC/IF, IHC,  IHC-P, KO
NBP2-22124
Species: Hu, Mu, Pm
Applications: ELISA, Flow, ICC/IF, IHC,  IHC-P, WB
NBP2-24763
Species: Hu, Pm
Applications: IHC,  IHC-P, WB
NBP3-04411
Species: Hu, Mu, Rt
Applications: IHC,  IHC-P, WB
NBP1-91717
Species: Hu
Applications: ICC/IF, IHC,  IHC-P
NBL1-08234
Species: Hu
Applications: WB
NBP3-20223
Species: Hu
Applications: ICC/IF, IP, WB
NBP1-87345
Species: Hu
Applications: ICC/IF, IHC,  IHC-P
NBP1-85437
Species: Hu
Applications: ICC/IF, IHC,  IHC-P, WB
NBP2-25160
Species: Bv, Ca, Eq, Hu, Mu, Po, Rt
Applications: ICC/IF, IHC, WB
NBP2-73676
Species: Hu, Mu, Rt
Applications: WB, Flow, ICC/IF, IHC, CyTOF-ready

Publications for PRPSAP2 Antibody (NBP2-73676) (0)

There are no publications for PRPSAP2 Antibody (NBP2-73676).
By submitting your publication information earn gift cards and discounts for future purchases.

Reviews for PRPSAP2 Antibody (NBP2-73676) (0)

There are no reviews for PRPSAP2 Antibody (NBP2-73676). By submitting a review you will receive an Amazon e-Gift Card or Novus Product Discount.
  • Review with no image -- $10/€7/£6/$10 CAD/¥70 Yuan/¥1110 Yen
  • Review with an image -- $25/€18/£15/$25 CAD/¥150 Yuan/¥2500 Yen

Product General Protocols

Find general support by application which include: protocols, troubleshooting, illustrated assays, videos and webinars.

Video Protocols

WB Video Protocol
ICC/IF Video Protocol

FAQs for PRPSAP2 Antibody (NBP2-73676) (0)

There are no specific FAQs related to this product. Read our general customer & technical service FAQs.

Secondary Antibodies

 

Isotype Controls

Additional PRPSAP2 Products

Research Areas for PRPSAP2 Antibody (NBP2-73676)

Find related products by research area.

Blogs on PRPSAP2

There are no specific blogs for PRPSAP2, but you can read our latest blog posts.

Customers Who Bought This Also Bought

Contact Information

Product PDFs

Calculators

Concentration Calculator

The concentration calculator allows you to quickly calculate the volume, mass or concentration of your vial. Simply enter your mass, volume, or concentration values for your reagent and the calculator will determine the rest.

=
÷

Review this Product

Be the first to review our PRPSAP2 Antibody (OTI1E3) - Azide and BSA Free and receive a gift card or discount.

Bioinformatics

Gene Symbol PRPSAP2