PPM1K Antibody

Images

 
Western Blot: PPM1K Antibody [NBP1-85036] - Analysis in human cell line HDLM-2.
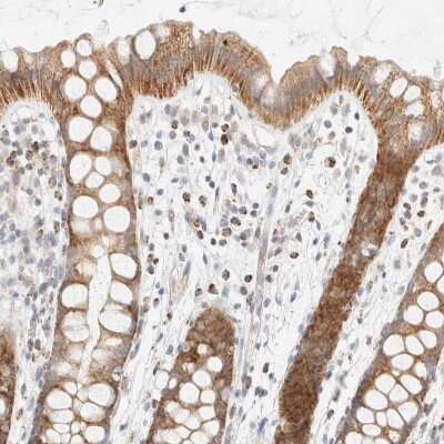
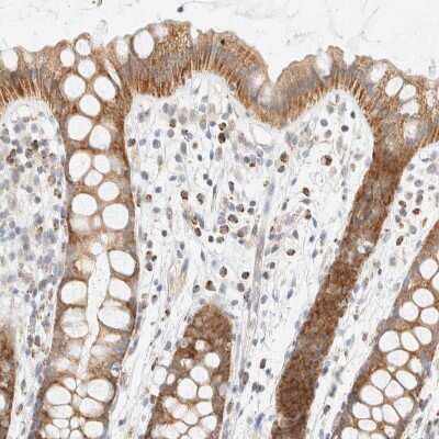
Immunohistochemistry-Paraffin: PPM1K Antibody [NBP1-85036] - Staining of human rectum shows cytoplasmic positivity in glandular cells.
Western Blot: PPM1K Antibody [NBP1-85036] - Lane 1: Marker [kDa] 230, 130, 95, 72, 56, 36, 28, 17, 11. Lane 2: Human cell line RT-4. Lane 3: Human cell line U-251MG sp. Lane 4: Human plasma (IgG/HSA depleted). Lane ...read more

Product Details

Summary
Product Discontinued
View other related PPM1K Primary Antibodies

Order Details


    • Catalog Number
      NBP1-85036
    • Availability
      Product Discontinued

    Can't find what you are looking for? Use our Antibody Concierge Service & we will help you locate your antibody!

    Or feel free to contact us for alternative products.

PPM1K Antibody Summary

Immunogen
This antibody was developed against Recombinant Protein corresponding to amino acids: ATLLTSGTTATVALLRDGIELVVASVGDSRAILCRKGKPMKLTIDHTPERKDEKERIKKCGGFVAWNSLGQPHVNGRLAMTRSIGDLDLKTSGVIA
Predicted Species
Mouse (94%), Rat (95%). Backed by our 100% Guarantee.
Isotype
IgG
Clonality
Polyclonal
Host
Rabbit
Gene
PPM1K
Purity
Immunogen affinity purified
Innovator's Reward
Test in a species/application not listed above to receive a full credit towards a future purchase.

Applications/Dilutions

Dilutions
  • Immunohistochemistry 1:200 - 1:500
  • Immunohistochemistry-Paraffin 1:200 - 1:500
  • Western Blot 0.04-0.4 ug/ml
Application Notes
For IHC-Paraffin, HIER pH 6 retrieval is recommended.

Packaging, Storage & Formulations

Storage
Store at 4C short term. Aliquot and store at -20C long term. Avoid freeze-thaw cycles.
Buffer
PBS (pH 7.2) and 40% Glycerol
Preservative
0.02% Sodium Azide
Purity
Immunogen affinity purified

Alternate Names for PPM1K Antibody

  • DKFZp667B084
  • DKFZp761G058
  • mitochondrial
  • PP2C domain-containing protein phosphatase 1K
  • PP2Ckappa
  • PP2C-like mitochondrial protein
  • PP2CM
  • PP2C-type mitochondrial phosphoprotein phosphatase
  • protein phosphatase 2C kappa
  • protein phosphatase, Mg2+/Mn2+ dependent, 1K
  • PTMPEC 3.1.3.16

Background

Regulates the mitochondrial permeability transition pore and is essential for cellular survival anddevelopment

Limitations

This product is for research use only and is not approved for use in humans or in clinical diagnosis. Primary Antibodies are guaranteed for 1 year from date of receipt.

Customers Who Viewed This Item Also Viewed...

NBP3-13522
Species: Hu, Mu, Rt
Applications: ICC/IF, IHC,  IHC-P, WB
NLS1049
Species: Eq, Hu, Pm, Po, Pm
Applications: ICC, ICC/IF, IHC,  IHC-P
DY413
Species: Mu
Applications: ELISA
NBP3-23927
Species: Hu
Applications:  IHC-P
NB100-1533
Species: Hu, Mu, Po, Rt, Sh
Applications: Flow, ICC/IF, IHC,  IHC-P, PEP-ELISA, WB
NBP2-33778
Species: Hu
Applications: IHC,  IHC-P, WB
NBP2-48836
Species: Ca, Hu
Applications: ICC/IF, IHC,  IHC-P
MAB1419
Species: Hu, Rt
Applications: CyTOF-ready, ICC, IHC, ICFlow
7570-GH
Species: Hu
Applications: EnzAct
NB300-731
Species: Gp, Hu, Mu, Rb, Rt, Sh, Ye
Applications: B/N, ChIP, Flow, GS, ICC/IF, IHC,  IHC-P, IP, WB
M5000
Species: Mu
Applications: ELISA
NB300-164
Species: Ca, Hu, Mu, Po, Pm, Rt(-)
Applications: Dual ISH-IHC, ICC/IF, IHC, IHC-Fr,  IHC-P, IP, KO, PLA, WB
NBP1-89953
Species: Hu, Mu
Applications: ICC/IF, IHC,  IHC-P
DVE00
Species: Hu
Applications: ELISA
7770-GT
Species: Hu
Applications: EnzAct
NBP2-43648
Species: Hu, Mu, Rt, Ze
Applications: ICC/IF, IHC,  IHC-P, WB
MAB1417
Species: Bv, Hu, Mu
Applications: ICC, IHC
NBP2-93808
Species: Hu, Mu, Rt
Applications: ICC/IF, IHC,  IHC-P, WB
NBP2-04611
Species: Hu
Applications: WB

Publications for PPM1K Antibody (NBP1-85036) (0)

There are no publications for PPM1K Antibody (NBP1-85036).
By submitting your publication information earn gift cards and discounts for future purchases.

Reviews for PPM1K Antibody (NBP1-85036) (0)

There are no reviews for PPM1K Antibody (NBP1-85036). By submitting a review you will receive an Amazon e-Gift Card or Novus Product Discount.
  • Review with no image -- $10/€7/£6/$10 CAD/¥70 Yuan/¥1110 Yen
  • Review with an image -- $25/€18/£15/$25 CAD/¥150 Yuan/¥2500 Yen

Product General Protocols

Find general support by application which include: protocols, troubleshooting, illustrated assays, videos and webinars.

Video Protocols

WB Video Protocol

FAQs for PPM1K Antibody (NBP1-85036) (0)

There are no specific FAQs related to this product. Read our general customer & technical service FAQs.

Secondary Antibodies

 

Isotype Controls

Additional PPM1K Products

Research Areas for PPM1K Antibody (NBP1-85036)

Find related products by research area.

Blogs on PPM1K

There are no specific blogs for PPM1K, but you can read our latest blog posts.

Contact Information

Product PDFs

Calculators

Concentration Calculator

The concentration calculator allows you to quickly calculate the volume, mass or concentration of your vial. Simply enter your mass, volume, or concentration values for your reagent and the calculator will determine the rest.

=
÷

Review this Product

Be the first to review our PPM1K Antibody and receive a gift card or discount.

Bioinformatics

Gene Symbol PPM1K