PPAN Antibody - BSA Free

Images

 
Staining of human tonsil shows strong positivity in nucleoli in germinal and non-germinal center cells.
Staining of human colon shows moderate positivity in nucleoli in glandular cells.
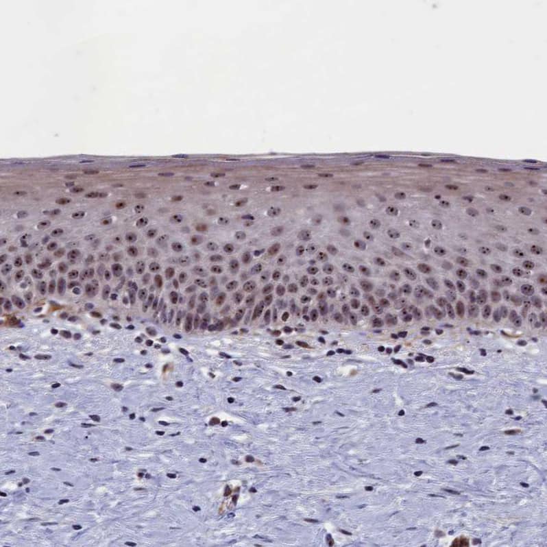
Staining of human cervix shows strong positivity in nucleoli in squamous epithelial cells.
Staining of human cerebral cortex shows moderate positivity in nucleoli in neurons.
Lane 1: Marker [kDa] 250, 130, 95, 72, 55, 36, 28, 17, 10Lane 2: Human cell line RT-4Lane 3: Human cell line U-251MG sp

Product Details

Summary
Reactivity HuSpecies Glossary
Applications WB, IHC
Clonality
Polyclonal
Host
Rabbit
Conjugate
Unconjugated
Format
BSA Free

Order Details

View Available Formulations
Catalog# & Formulation Size Price

PPAN Antibody - BSA Free Summary

Description
Novus Biologicals Rabbit PPAN Antibody - BSA Free (NBP1-88525) is a polyclonal antibody validated for use in IHC and WB. All Novus Biologicals antibodies are covered by our 100% guarantee.
Immunogen
This antibody was developed against Recombinant Protein corresponding to amino acids: RWEMDRGRGRLCDQKFPKTKDKSQGAQARRGPRGASRDGG
Isotype
IgG
Clonality
Polyclonal
Host
Rabbit
Gene
PPAN
Purity
Immunogen affinity purified
Innovator's Reward
Test in a species/application not listed above to receive a full credit towards a future purchase.

Applications/Dilutions

Dilutions
  • Immunohistochemistry 1:200 - 1:500
  • Immunohistochemistry-Paraffin 1:200 - 1:500
  • Western Blot 0.04-0.4 ug/ml
Application Notes
For IHC-Paraffin, HIER pH 6 retrieval is recommended.
Control Peptide
PPAN Protein (NBP1-88525PEP)

Packaging, Storage & Formulations

Storage
Store at 4C short term. Aliquot and store at -20C long term. Avoid freeze-thaw cycles.
Buffer
PBS (pH 7.2) and 40% Glycerol
Preservative
0.02% Sodium Azide
Purity
Immunogen affinity purified

Alternate Names for PPAN Antibody - BSA Free

  • Brix domain-containing protein 3
  • homolog of S. cerevisiae SSF1
  • MGC14226
  • MGC45852
  • peter pan (Drosophila) homolog
  • peter pan homolog (Drosophila)
  • Peter Pan homolog
  • second-step splicing factor 1
  • SSF
  • Ssf-1
  • SSF1BXDC3SSF-1
  • SSF2
  • suppressor of sterile four 1
  • suppressor of SWI4 1 homolog

Background

PPAN is encoded by this gene is an evolutionarily conserved protein similar to yeast SSF1 as well as to the gene product of the Drosophila gene peter pan (ppan). SSF1 is known to be involved in the second step of mRNA splicing. Both SSF1 and ppan are essential for cell growth and proliferation. This gene was found to cotranscript with P2RY11/P2Y(11), an immediate downstream gene on the chromosome that encodes a ATP receptor. The chimeric transcripts of this gene and P2RY11 were found to be ubiquitously present and regulated during granulocytic differentiation. Exogenous expression of this gene was reported to reduce the anchorage-independent growth of some tumor cells. Publication Note: This RefSeq record includes a subset of the publications that are available for this gene. Please see the Entrez Gene record to access additional publications.

Limitations

This product is for research use only and is not approved for use in humans or in clinical diagnosis. Primary Antibodies are guaranteed for 1 year from date of receipt.

Customers Who Viewed This Item Also Viewed...

NBP2-93854
Species: Hu, Mu, Rt
Applications: IHC,  IHC-P, WB
NBP3-45357
Species: Hu, Mu, Rt
Applications: ELISA, IHC, WB
NBP2-46518
Species: Hu
Applications: IHC,  IHC-P, WB
NBP3-15868
Species: Hu, Mu, Rt
Applications: ELISA, ICC/IF, IHC,  IHC-P, WB
DY1707
Species: Hu
Applications: ELISA
NBP3-25721
Species: Ca, Fe, Hu, Mu, Rt
Applications: ICC/IF, IHC,  IHC-P, WB
NBP2-02710
Species: Hu, Rt
Applications: Flow, ICC/IF, IHC,  IHC-P, WB
NBP1-22439
Species: Ha, Hu, Mu, Rb, Rt
Applications: ICC/IF, IHC,  IHC-P, IP, MiAr, WB
MAB1455
Species: Hu
Applications: CyTOF-ready, Dual ISH-IHC, ICC, IHC, ICFlow, Simple Western, WB
NB120-6405
Species: Rt
Applications: B/N, CyTOF-ready, EM, ELISA, Flow-IC, Flow, ICC/IF, IHC, IHC-Fr,  IHC-P, IP
NBP2-46376
Species: Hu
Applications: IHC,  IHC-P, WB
AF2009
Species: Hu
Applications: ICC, IHC
H00347527-P01
Species: Hu
Applications: ELISA, AP, PA, WB
NB100-2076
Species: Bv, Fe, Hu, Rb
Applications: ICC/IF, IHC, IHC-Fr,  IHC-P, WB
AF3846
Species: Hu, Mu, Rt
Applications: IHC, WB
NBP1-32521
Species: Hu, Mu
Applications: ICC/IF, IHC,  IHC-P, KO, WB
NBP2-67150
Species: Hu, Mu, Rt
Applications: IHC, IHC-Fr,  IHC-P, IP, WB
NBP1-88525
Species: Hu
Applications: WB, IHC

Publications for PPAN Antibody (NBP1-88525) (0)

There are no publications for PPAN Antibody (NBP1-88525).
By submitting your publication information earn gift cards and discounts for future purchases.

Reviews for PPAN Antibody (NBP1-88525) (0)

There are no reviews for PPAN Antibody (NBP1-88525). By submitting a review you will receive an Amazon e-Gift Card or Novus Product Discount.
  • Review with no image -- $10/€7/£6/$10 CAD/¥70 Yuan/¥1110 Yen
  • Review with an image -- $25/€18/£15/$25 CAD/¥150 Yuan/¥2500 Yen

Product General Protocols

Find general support by application which include: protocols, troubleshooting, illustrated assays, videos and webinars.

Video Protocols

WB Video Protocol

FAQs for PPAN Antibody (NBP1-88525) (0)

There are no specific FAQs related to this product. Read our general customer & technical service FAQs.

Secondary Antibodies

 

Isotype Controls

Additional PPAN Products

Research Areas for PPAN Antibody (NBP1-88525)

Find related products by research area.

Blogs on PPAN

There are no specific blogs for PPAN, but you can read our latest blog posts.

Customers Who Bought This Also Bought

Contact Information

Product PDFs

Calculators

Concentration Calculator

The concentration calculator allows you to quickly calculate the volume, mass or concentration of your vial. Simply enter your mass, volume, or concentration values for your reagent and the calculator will determine the rest.

=
÷

Review this Product

Be the first to review our PPAN Antibody - BSA Free and receive a gift card or discount.

Bioinformatics

Gene Symbol PPAN