PMS2 Antibody (SY08-09)

Images

 
Western Blot: PMS2 Antibody (SY08-09) [NBP2-67069] - Analysis of PMS2 on different lysates with Rabbit anti-PMS2 antibody at 1/500 dilution. Lane 1: Hela cell lysate. Lane 2: Daudi cell lysate. Lane 3: MCF-7 cell ...read more
Immunocytochemistry/ Immunofluorescence: PMS2 Antibody (SY08-09) [NBP2-67069] - Staining PMS2 in Hela cells (red). Formalin fixed cells were permeabilized with 0.1% Triton X-100 in TBS for 10 minutes at room temperature ...read more
Immunohistochemistry-Paraffin: PMS2 Antibody (SY08-09) [NBP2-67069] - Analysis of paraffin-embedded human breast carcinoma tissue using anti-PMS2 antibody. The section was pre-treated using heat mediated antigen ...read more
Flow Cytometry: PMS2 Antibody (SY08-09) [NBP2-67069] - Analysis of Hela cells with PMS2 antibody at 1/50 dilution (red) compared with an unlabelled control (cells without incubation with primary antibody; black). Alexa ...read more
Western Blot: PMS2 Antibody (SY08-09) [NBP2-67069] - Analysis of PMS2 on Hela cells lysates using anti-PMS2 antibody at 1/1,000 dilution.
Western Blot: PMS2 Antibody (SY08-09) [NBP2-67069] - Western blot analysis of PMS2 on different lysates. Proteins were transferred to a PVDF membrane and blocked with 5% BSA in PBS for 1 hour at room temperature. The ...read more
Immunocytochemistry/ Immunofluorescence: PMS2 Antibody (SY08-09) [NBP2-67069] - Staining PMS2 in Hela cells (red). The nuclear counter stain is DAPI (blue). Cells were fixed in paraformaldehyde, permeabilised with 0.25% ...read more
Immunohistochemistry-Paraffin: PMS2 Antibody (SY08-09) [NBP2-67069] - Analysis of paraffin-embedded human breast carcinoma tissue using anti-PMS2 antibody. Counter stained with hematoxylin.
Immunohistochemistry-Paraffin: PMS2 Antibody (SY08-09) [NBP2-67069] - Immunohistochemical analysis of paraffin-embedded human breast carcinoma tissue using anti-PMS2 antibody. The section was pre-treated using heat ...read more
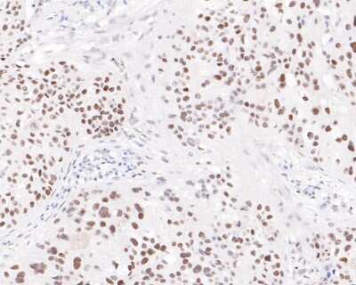
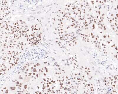
Immunohistochemistry-Paraffin: PMS2 Antibody (SY08-09) [NBP2-67069] - Immunohistochemical analysis of paraffin-embedded human colon carcinoma tissue using anti-PMS2 antibody. The section was pre-treated using heat ...read more
Immunohistochemistry-Paraffin: PMS2 Antibody (SY08-09) [NBP2-67069] - Analysis of paraffin-embedded human colon carcinoma tissue using anti-PMS2 antibody. The section was pre-treated using heat mediated antigen ...read more
Immunohistochemistry-Paraffin: PMS2 Antibody (SY08-09) [NBP2-67069] - Analysis of paraffin-embedded human colon carcinoma tissue using anti-PMS2 antibody. The section was pre-treated using heat mediated antigen ...read more

Product Details

Summary
Product Discontinued
View other related PMS2 Primary Antibodies

Order Details


    • Catalog Number
      NBP2-67069
    • Availability
      Product Discontinued

    Can't find what you are looking for? Use our Antibody Concierge Service & we will help you locate your antibody!

    Or feel free to contact us for alternative products.

PMS2 Antibody (SY08-09) Summary

Additional Information
Recombinant Monoclonal Antibody.
Immunogen
Synthetic peptide within Human PMS2 aa 1-50 / 862. (SwissProt: P54278 Human)
Localization
Nucleus.
Isotype
IgG
Clonality
Monoclonal
Host
Rabbit
Gene
PMS2
Purity
Protein A purified
Innovator's Reward
Test in a species/application not listed above to receive a full credit towards a future purchase.

Applications/Dilutions

Dilutions
  • Flow Cytometry 1:50-1:100
  • Immunocytochemistry/ Immunofluorescence 1:50-1:200
  • Immunohistochemistry
  • Immunohistochemistry-Paraffin 1:50-1:200
  • Immunoprecipitation
  • Western Blot 1:500-1:2000

Packaging, Storage & Formulations

Storage
Store at 4C short term. Aliquot and store at -20C long term. Avoid freeze-thaw cycles.
Buffer
TBS (pH7.4), 0.05% BSA, 40% Glycerol
Preservative
0.05% Sodium Azide
Concentration
1 mg/ml
Purity
Protein A purified

Alternate Names for PMS2 Antibody (SY08-09)

  • DNA mismatch repair protein PMS2
  • EC 3.1
  • H_DJ0042M02.9
  • HNPCC4postmeiotic segregation increased (S. cerevisiae) 2
  • mismatch repair endonuclease PMS2
  • PMS1 protein homolog 2
  • PMS2 postmeiotic segregation increased 2 (S. cerevisiae)
  • PMSL2PMS2CL

Background

PMS2 is one of the PMS2 gene family members found in clusters on chromosome 7. The product of this gene is involved in DNA mismatch repair. It forms a heterodimer with MLH1 and this complex interacts with other complexes bound to mismatched bases. Mutations in this gene are associated with hereditary nonpolyposis colorectal cancer, Turcot syndrome, and are a cause of supratentorial primitive neuroectodermal tumors. Alternatively spliced transcript variants have been observed for this gene.

Limitations

This product is for research use only and is not approved for use in humans or in clinical diagnosis. Primary Antibodies are guaranteed for 1 year from date of receipt.

Customers Who Viewed This Item Also Viewed...

NBP2-67381
Species: Hu, Mu, Rt
Applications: Flow, ICC/IF, IHC,  IHC-P, IP, KO, WB
NBP3-07211
Species: Ca, Hu
Applications: Flow, ICC/IF, IHC,  IHC-P, Simple Western, WB
NBP1-83319
Species: Hu, Mu, Rt
Applications: ICC/IF, IHC,  IHC-P, WB
AF2535
Species: Mu
Applications: CyTOF-ready, Flow, IHC, WB
NBP3-13739
Species: Hu
Applications: ELISA, Flow, ICC/IF, IP, PA
NBP3-24587
Species: Hu
Applications: ICC/IF, IHC,  IHC-P, WB
NBP3-24596
Species: Hu
Applications: ICC/IF, IHC,  IHC-P, WB
NB200-103
Species: Hu, Mu, Rt, Xp(-), Ye
Applications: CyTOF-ready, ELISA, Flow-IC, Flow, ICC/IF, IHC, IHC-Fr,  IHC-P, IP, WB
NBP1-47668
Species: Hu, Pm, Mu, Rt
Applications: Flow, ICC/IF, IHC,  IHC-P, IP, WB
NB100-91662
Species: Hu, Mu, Rt
Applications: Flow, ICC/IF, IHC,  IHC-P, Simple Western, WB
AF4885
Species: Mu
Applications: IP, WB
NB100-598
Species: Hu
Applications: CyTOF-ready, Flow, ICC/IF, IP, WB
NB500-106
Species: Ch, Dr, Fi, Hu, Mar, Mu, Po, Pm, Rb, Rt, Ye, Ze
Applications: ChIP, ChIP, ELISA, Flow, ICC/IF, IHC-FrFl, IHC, IHC-Fr,  IHC-P, IP, Simple Western, WB
H00003845-M01
Species: Hu, Mu
Applications: ELISA, ICC/IF, IP, WB
NBP1-88713
Species: Hu
Applications: IHC,  IHC-P, WB
NB100-168
Species: Hu, Mu(-)
Applications: CyTOF-ready, Flow-IC, Flow, ICC/IF, IHC,  IHC-P, Simple Western, WB
MAB2476
Species: Hu
Applications: IHC, WB
NBP2-67069
Species: Hu
Applications: WB, Flow, ICC/IF, IHC, IP

Publications for PMS2 Antibody (NBP2-67069) (0)

There are no publications for PMS2 Antibody (NBP2-67069).
By submitting your publication information earn gift cards and discounts for future purchases.

Reviews for PMS2 Antibody (NBP2-67069) (0)

There are no reviews for PMS2 Antibody (NBP2-67069). By submitting a review you will receive an Amazon e-Gift Card or Novus Product Discount.
  • Review with no image -- $10/€7/£6/$10 CAD/¥70 Yuan/¥1110 Yen
  • Review with an image -- $25/€18/£15/$25 CAD/¥150 Yuan/¥2500 Yen

Product General Protocols

Video Protocols

WB Video Protocol
ICC/IF Video Protocol

FAQs for PMS2 Antibody (NBP2-67069) (0)

There are no specific FAQs related to this product. Read our general customer & technical service FAQs.

Secondary Antibodies

 

Isotype Controls

Additional PMS2 Products

Research Areas for PMS2 Antibody (NBP2-67069)

Find related products by research area.

Blogs on PMS2

There are no specific blogs for PMS2, but you can read our latest blog posts.

Contact Information

Product PDFs

Calculators

Concentration Calculator

The concentration calculator allows you to quickly calculate the volume, mass or concentration of your vial. Simply enter your mass, volume, or concentration values for your reagent and the calculator will determine the rest.

=
÷

Review this Product

Be the first to review our PMS2 Antibody (SY08-09) and receive a gift card or discount.

Bioinformatics

Gene Symbol PMS2