PMEL17/SILV Antibody (P14-V) Summary
| Additional Information |
Recombinant Monoclonal Antibody. |
| Immunogen |
Peptide derived from C-terminal sequence of human PMEL17/SILV/gp100. Antibody recognizes the epitope between Ile649 - Val661. |
| Epitope |
Ile649 - Val661 |
| Marker |
Melanosome Marker |
| Isotype |
IgG |
| Clonality |
Monoclonal |
| Host |
Rabbit |
| Gene |
PMEL |
| Purity |
Immunogen affinity purified |
| Innovator's Reward |
Test in a species/application not listed above to receive a full credit towards a future purchase. |
Applications/Dilutions
| Dilutions |
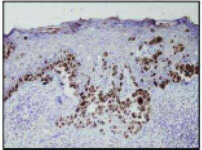
- Immunohistochemistry 1:100-1:200
- Immunohistochemistry-Paraffin 1:100-1:200
|
| Application Notes |
Although not tested, this antibody may also be useful in Immunohistochemistry-Frozen. |
Packaging, Storage & Formulations
| Storage |
Store at 4C. Do not freeze. |
| Buffer |
20mM Tris-HCl (pH 8.0) and 20mg/ml BSA |
| Preservative |
0.05% Sodium Azide |
| Purity |
Immunogen affinity purified |
Notes
This antibody is immunoaffinity purified with immunogenic peptide as a ligand.
Alternate Names for PMEL17/SILV Antibody (P14-V)
Background
Melanoma gp100 a melanosomal matrix protein whose expression is closely correlated with cellular melanin content and which is a frequent melanoma tumor antigen recognized by cytotoxic T lymphocytes. It is a likely candidate gene for some cases of human oculocutaneous albinism not associated with known albinism loci.
Limitations
This product is for research use only and is not approved for use in humans or in clinical diagnosis. Primary Antibodies are
guaranteed for 1 year from date of receipt.
Customers Who Viewed This Item Also Viewed...
Species: Ch, Hu
Applications: IHC, IHC-P, IP, KD, WB
Species: Hu
Applications: IHC, WB
Species: Hu, Mu, Rt, Ze
Applications: ICC/IF, IHC, IHC-P, WB
Species: Hu
Applications: IHC, IHC-P, WB
Species: Hu
Applications: ELISA, AP, PA, WB
Species: Hu, Mu
Applications: ICC/IF, IHC, IHC-P, WB
Species: Ca, Hu, Mu
Applications: ICC/IF, IHC, IHC-P
Species: Bv, Hu, Mu
Applications: ICC, IHC
Species: Ch, Hu, Mu
Applications: ChIP, ChIP, ICC/IF, IHC, IHC-P, IP, Simple Western, WB
Species: Hu
Applications: ELISA, AP, PA, WB
Species: Hu
Applications: ICC, IHC
Species: Hu, Mu, Rt
Applications: ICC, KO, Simple Western, WB
Species: Hu, Mu, Rt
Applications: ICC/IF, IHC, IHC-Fr, IHC-P, WB
Species: Hu, Rb, Rt
Applications: Flow, IHC, IHC-P, KO, Simple Western, WB
Species: Hu, Mu, Rt
Applications: ICC/IF, IHC, IHC-P, KD, WB
Species: Hu, Pm, Mu
Applications: ICC/IF, IHC, IHC-P, IP, ISH, WB
Species: Hu
Applications: BA
Species: Hu
Applications: IHC, IHC-P, WB
Publications for PMEL17/SILV Antibody (NBP1-79001) (0)
There are no publications for PMEL17/SILV Antibody (NBP1-79001).
By submitting your publication information earn gift cards and discounts for future purchases.
Reviews for PMEL17/SILV Antibody (NBP1-79001) (0)
There are no reviews for PMEL17/SILV Antibody (NBP1-79001).
By submitting a review you will receive an Amazon e-Gift Card or Novus Product Discount.
- Review with no image -- $10/€7/£6/$10 CAD/¥70 Yuan/¥1110 Yen
- Review with an image -- $25/€18/£15/$25 CAD/¥150 Yuan/¥2500 Yen
Product General Protocols
View specific protocols for PMEL17/SILV Antibody (NBP1-79001):
Find general support by application which include: protocols, troubleshooting, illustrated assays, videos and webinars.
FAQs for PMEL17/SILV Antibody (NBP1-79001) (0)
Secondary Antibodies
| |
Isotype Controls
|
Additional PMEL17/SILV Products
Blogs on PMEL17/SILV