PLEKHH1 Antibody (3-E11)

Images

 
Western Blot: PLEKHH1 Antibody (3-E11) [NBP2-75622] - Analysis of PLEKHH1 on different cell lysates using anti-PLEKHH1 antibody at 1/100 dilution.Positive control:Lane 1: MCF-7 Lane 2: A431Lane 3: SH-SY5Y
Immunocytochemistry/ Immunofluorescence: PLEKHH1 Antibody (3-E11) [NBP2-75622] - Staining PLEKHH1 (green) in A431 cells. The nuclear counter stain is DAPI (blue). Cells were fixed in paraformaldehyde, permeabilised with ...read more
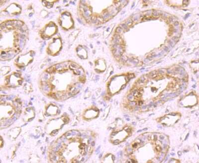
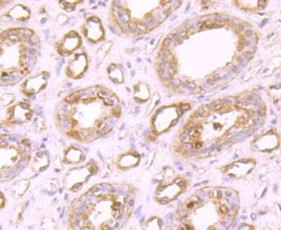
Immunohistochemistry-Paraffin: PLEKHH1 Antibody (3-E11) [NBP2-75622] - Analysis of paraffin-embedded mouse kidney tissue using anti-PLEKHH1 antibody. Counter stained with hematoxylin.
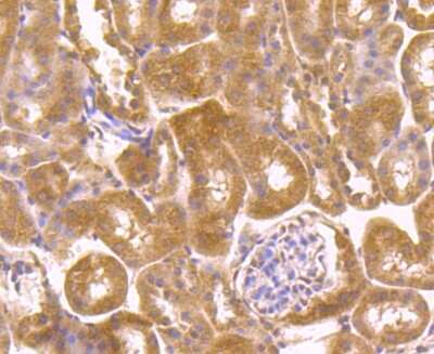
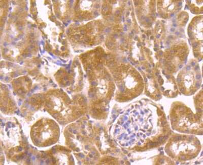
Immunohistochemistry-Paraffin: PLEKHH1 Antibody (3-E11) [NBP2-75622] - Analysis of paraffin-embedded human kidney tissue using anti-PLEKHH1 antibody. Counter stained with hematoxylin.

Product Details

Summary
Product Discontinued
View other related PLEKHH1 Primary Antibodies

Order Details


    • Catalog Number
      NBP2-75622
    • Availability
      Product Discontinued

    Can't find what you are looking for? Use our Antibody Concierge Service & we will help you locate your antibody!

    Or feel free to contact us for alternative products.

PLEKHH1 Antibody (3-E11) Summary

Immunogen
Recombinant protein within Human PLEKHH1 aa 1,059-1,364 / 1,364. (SwissProt: Q9ULM0 Human)
Localization
Cytoskeleton.
Isotype
IgG2b
Clonality
Monoclonal
Host
Mouse
Gene
PLEKHH1
Purity
Protein G purified
Innovator's Reward
Test in a species/application not listed above to receive a full credit towards a future purchase.

Applications/Dilutions

Dilutions
  • Immunocytochemistry/ Immunofluorescence 1:50
  • Immunohistochemistry
  • Immunohistochemistry-Paraffin 1:50-1:200
  • Western Blot 1:500
Theoretical MW
151 kDa.
Disclaimer note: The observed molecular weight of the protein may vary from the listed predicted molecular weight due to post translational modifications, post translation cleavages, relative charges, and other experimental factors.

Reactivity Notes

Mouse blocking reagent may be needed for IHC and ICC experiments to reduce high background signal. You can find these reagents under catalog numbers PK-2200-NB and MP-2400-NB. Please contact Technical Support if you have any. Please note that this antibody is reactive to Mouse and derived from the same host, Mouse. Mouse-On-questions.

Packaging, Storage & Formulations

Storage
Store at 4C short term. Aliquot and store at -20C long term. Avoid freeze-thaw cycles.
Buffer
PBS (pH7.4), 0.2% BSA, 50% Glycerol
Preservative
0.05% Sodium Azide
Concentration
2 mg/ml
Purity
Protein G purified

Alternate Names for PLEKHH1 Antibody (3-E11)

  • PLEKHH1 pleckstrin homology domain containing, family H (with MyTH4 domain) member 1

Limitations

This product is for research use only and is not approved for use in humans or in clinical diagnosis. Primary Antibodies are guaranteed for 1 year from date of receipt.

Customers Who Viewed This Item Also Viewed...

AF808
Species: Mu
Applications: ELISA(Cap), ELISA(Det), ELISA(Sta), ICC, IHC, Neut, WB
AF4265
Species: Hu, Mu, Rt
Applications: WB
NBP1-57399
Species: Hu
Applications: WB
NBP1-83664
Species: Hu, Rt
Applications: ICC/IF, IHC,  IHC-P, WB
NBP2-37447
Species: Hu
Applications: CyTOF-ready, ELISA, Flow, ICC/IF, IHC,  IHC-P
MAB1417
Species: Bv, Hu, Mu
Applications: ICC, IHC
NBP1-80782
Species: Hu
Applications: ICC/IF, IHC,  IHC-P, WB
NBP3-27690
Species: Hu, Mu, Rt
Applications: ICC/IF, IHC, IP, WB
NB600-235
Species: Hu, Mu, Po
Applications: ChIP, ELISA, Flow, ICC/IF, IHC, IHC-Fr,  IHC-P, IP, WB
MAB1249
Species: Hu, Mu
Applications: CyTOF-ready, ICC, ICFlow
NBP1-89290
Species: Hu, Mu, Rt
Applications: ICC/IF, IHC,  IHC-P, WB
NBP2-33418
Species: Hu
Applications: IHC,  IHC-P
NBP1-89289
Species: Hu, Mu, Rt
Applications: IHC,  IHC-P, WB
AF3757
Species: Hu
Applications: ICC, Simple Western, WB
NBP1-83957
Species: Hu
Applications: ICC/IF, IHC,  IHC-P, Simple Western, WB
NBP1-88781
Species: Hu
Applications: ICC/IF, IHC,  IHC-P
NBP1-83950
Species: Hu
Applications: IHC,  IHC-P, WB
NBP2-75622
Species: Hu, Mu
Applications: WB, ICC/IF, IHC

Publications for PLEKHH1 Antibody (NBP2-75622) (0)

There are no publications for PLEKHH1 Antibody (NBP2-75622).
By submitting your publication information earn gift cards and discounts for future purchases.

Reviews for PLEKHH1 Antibody (NBP2-75622) (0)

There are no reviews for PLEKHH1 Antibody (NBP2-75622). By submitting a review you will receive an Amazon e-Gift Card or Novus Product Discount.
  • Review with no image -- $10/€7/£6/$10 CAD/¥70 Yuan/¥1110 Yen
  • Review with an image -- $25/€18/£15/$25 CAD/¥150 Yuan/¥2500 Yen

Product General Protocols

Find general support by application which include: protocols, troubleshooting, illustrated assays, videos and webinars.

Video Protocols

WB Video Protocol
ICC/IF Video Protocol

FAQs for PLEKHH1 Antibody (NBP2-75622) (0)

There are no specific FAQs related to this product. Read our general customer & technical service FAQs.

Contact Information

Product PDFs

Calculators

Concentration Calculator

The concentration calculator allows you to quickly calculate the volume, mass or concentration of your vial. Simply enter your mass, volume, or concentration values for your reagent and the calculator will determine the rest.

=
÷

Review this Product

Be the first to review our PLEKHH1 Antibody (3-E11) and receive a gift card or discount.

Bioinformatics

Gene Symbol PLEKHH1