PKC gamma Antibody (JG69-32) Summary
| Additional Information |
Recombinant Monoclonal Antibody. |
| Immunogen |
Recombinant protein within Human PKC gamma aa 564-697 / 697. (SwissProt: P05129 Human; SwissProt: P63318 Mouse; SwissProt: P63319 Rat) |
| Localization |
Cell membrane. Cytoplasm. |
| Isotype |
IgG |
| Clonality |
Monoclonal |
| Host |
Rabbit |
| Gene |
PRKCG |
| Purity |
Protein A purified |
| Innovator's Reward |
Test in a species/application not listed above to receive a full credit towards a future purchase. |
Applications/Dilutions
| Dilutions |
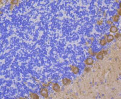
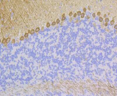
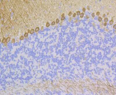
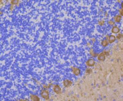
- Immunohistochemistry
- Immunohistochemistry-Paraffin 1:50-1:200
- Western Blot 1:500-1:2000
|
| Theoretical MW |
78 kDa. Disclaimer note: The observed molecular weight of the protein may vary from the listed predicted molecular weight due to post translational modifications, post translation cleavages, relative charges, and other experimental factors. |
Packaging, Storage & Formulations
| Storage |
Store at 4C short term. Aliquot and store at -20C long term. Avoid freeze-thaw cycles. |
| Buffer |
TBS (pH7.4), 0.05% BSA, 40% Glycerol |
| Preservative |
0.05% Sodium Azide |
| Concentration |
1 mg/ml |
| Purity |
Protein A purified |
Alternate Names for PKC gamma Antibody (JG69-32)
Background
Protein Kinase C gamma (PKC gamma) is an 80 kDa member of the conventional group (cPKCs: sensitive to calcium, diacylglycerol, phosphotidylserine and phorbol esters) of the PKC family of serine/threonine kinases that are involved in a wide range of physiological processes including mitogenesis, cell survival and transcriptional regulation. PKC gamma plays a key role in neuronal signal transduction and in regulating intercellular communication. The activation loop threonine (threonine 514 in PKC gamma) of conventional PKCs is phosphorylated by phosphoinositide-dependent kinase-1 (PDK1), which is necessary for its autophosphorylation on threonine 655 in the turn loop, and threonine 674 in the hydrophobic loop of the carboxy terminus, a critical step in generating a catalytically mature enzyme. The phosphorylation of the hydrophobic loop in the carboxyl terminus of PKCs is believed to be a key determinant in regulating PKC interaction with PDK1.
Limitations
This product is for research use only and is not approved for use in humans or in clinical diagnosis. Primary Antibodies are
guaranteed for 1 year from date of receipt.
Customers Who Viewed This Item Also Viewed...
Species: Hu, Mu, Rt
Applications: ELISA, ICC/IF, IHC, IHC-P, WB
Species: Pm, Bv, Ca, Ch, Fi, Hu, Pm, Mu, Po, Rb, Rt, Sh, Ze
Applications: ELISA, Flow, ICC/IF, IHC, IHC-Fr, IHC-P, IP, RIA, WB
Species: Hu, Rt, Xp
Applications: Func, ICC/IF, IHC, IHC-P, WB
Species: Hu, Mu
Applications: ICC/IF, IHC, IHC-P, WB
Species: Hu, Mu, Rt
Applications: ICC/IF, IHC, IHC-P, WB
Species: Hu, Rt
Applications: IHC, WB
Species: Hu
Applications: ELISA, Flow, ICC/IF, IHC, IHC-P, WB
Species: Hu, Mu
Applications: ICC/IF, IHC, IHC-P
Species: Hu, Mu, Rt
Applications: WB
Species: Mu
Applications: Flow, ICC/IF, PEP-ELISA
Species: Hu
Applications: ICC/IF, IHC, IHC-P, WB
Species: Hu, Mu, Rt
Applications: ICC/IF, IHC, IHC-P, WB
Species: Hu, Mu, Rt
Applications: ICC/IF, IHC, IHC-P, WB
Species: Hu
Applications: IP (-), WB
Species: Hu, Mu, Rt
Applications: CyTOF-ready, Flow, ICC/IF, IHC, IHC-P, PA, WB
Species: Hu
Applications: ICC/IF, IHC, IHC-P, WB
Species: Hu
Applications: ELISA, AP, PA, PAGE, WB
Species: Hu, Mu, Rt
Applications: WB, IHC
Publications for PKC gamma Antibody (NBP2-75621) (0)
There are no publications for PKC gamma Antibody (NBP2-75621).
By submitting your publication information earn gift cards and discounts for future purchases.
Reviews for PKC gamma Antibody (NBP2-75621) (0)
There are no reviews for PKC gamma Antibody (NBP2-75621).
By submitting a review you will receive an Amazon e-Gift Card or Novus Product Discount.
- Review with no image -- $10/€7/£6/$10 CAD/¥70 Yuan/¥1110 Yen
- Review with an image -- $25/€18/£15/$25 CAD/¥150 Yuan/¥2500 Yen
Product General Protocols
Find general support by application which include: protocols, troubleshooting, illustrated assays, videos and webinars.
Video Protocols
FAQs for PKC gamma Antibody (NBP2-75621) (0)
Secondary Antibodies
| |
Isotype Controls
|
Additional PKC gamma Products
Research Areas for PKC gamma Antibody (NBP2-75621)
Find related products by research area.
|
Blogs on PKC gamma