PKC alpha Antibody (SU31-08)

Images

 
Western Blot: PKC alpha Antibody (SU31-08) [NBP2-67457] - Analysis of PKC alpha on different lysates using anti-PKC alpha antibody at 1/1,000 dilution. Positive control: Lane 1: K562 Lane 2: 293
Immunocytochemistry/ Immunofluorescence: PKC alpha Antibody (SU31-08) [NBP2-67457] - Staining PKC alpha in CRC cells (green). The nuclear counter stain is DAPI (blue). Cells were fixed in paraformaldehyde, permeabilised ...read more
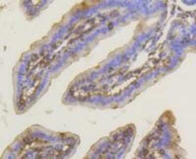
Immunohistochemistry-Paraffin: PKC alpha Antibody (SU31-08) [NBP2-67457] - Analysis of paraffin-embedded mouse small intestine tissue using anti-PKC alpha antibody. Counter stained with hematoxylin.
Flow Cytometry: PKC alpha Antibody (SU31-08) [NBP2-67457] - Flow cytometric analysis of Hela cells with PKC alpha antibody at 1/50 dilution (blue) compared with an unlabeled control (cells without incubation with ...read more
Immunocytochemistry/ Immunofluorescence: PKC alpha Antibody (SU31-08) [NBP2-67457] - Staining PKC alpha in PC12 cells (green). The nuclear counter stain is DAPI (blue). Cells were fixed in paraformaldehyde, ...read more
Immunocytochemistry/ Immunofluorescence: PKC alpha Antibody (SU31-08) [NBP2-67457] - Staining PKC alpha in A549 cells (green). The nuclear counter stain is DAPI (blue). Cells were fixed in paraformaldehyde, ...read more
Immunocytochemistry/ Immunofluorescence: PKC alpha Antibody (SU31-08) [NBP2-67457] - Staining PKC alpha in Hela cells (green). The nuclear counter stain is DAPI (blue). Cells were fixed in paraformaldehyde, ...read more
Immunocytochemistry/ Immunofluorescence: PKC alpha Antibody (SU31-08) [NBP2-67457] - Staining PKC alpha in MCF-7 cells (green). The nuclear counter stain is DAPI (blue). Cells were fixed in paraformaldehyde, ...read more
Immunohistochemistry-Paraffin: PKC alpha Antibody (SU31-08) [NBP2-67457] - Analysis of paraffin-embedded human lung tissue using anti-PKC alpha antibody. Counter stained with hematoxylin.
Immunohistochemistry-Paraffin: PKC alpha Antibody (SU31-08) [NBP2-67457] - Analysis of paraffin-embedded mouse brain tissue using anti-PKC alpha antibody. Counter stained with hematoxylin.
Immunohistochemistry-Paraffin: PKC alpha Antibody (SU31-08) [NBP2-67457] - Analysis of paraffin-embedded mouse heart tissue using anti-PKC alpha antibody. Counter stained with hematoxylin.

Product Details

Summary
Product Discontinued
View other related PKC alpha Primary Antibodies

Order Details


    • Catalog Number
      NBP2-67457
    • Availability
      Product Discontinued

    Can't find what you are looking for? Use our Antibody Concierge Service & we will help you locate your antibody!

    Or feel free to contact us for alternative products.

PKC alpha Antibody (SU31-08) Summary

Additional Information
Recombinant Monoclonal Antibody.
Immunogen
Recombinant protein within Human PKC alpha aa 560-672 / 672. (SwissProt: P17252 Human; SwissProt: P20444 Mouse; SwissProt: P05696 Rat)
Localization
Cytoplasm, Nucleus, Cell membrane, Mitochondrion membrane.
Isotype
IgG
Clonality
Monoclonal
Host
Rabbit
Gene
PRKCA
Purity
Protein A purified
Innovator's Reward
Test in a species/application not listed above to receive a full credit towards a future purchase.

Applications/Dilutions

Dilutions
  • Flow Cytometry 1:50-1:100
  • Immunocytochemistry/ Immunofluorescence 1:50-1:200
  • Immunohistochemistry
  • Immunohistochemistry-Paraffin 1:50-1:200
  • Immunoprecipitation 1:10-1:50
  • Western Blot 1:1000-1:2000

Packaging, Storage & Formulations

Storage
Store at 4C short term. Aliquot and store at -20C long term. Avoid freeze-thaw cycles.
Buffer
TBS (pH7.4), 0.05% BSA, 40% Glycerol
Preservative
0.05% Sodium Azide
Concentration
1 mg/ml
Purity
Protein A purified

Alternate Names for PKC alpha Antibody (SU31-08)

  • AAG6
  • aging-associated gene 6
  • EC 2.7.11
  • EC 2.7.11.13
  • MGC129901
  • PKC alpha
  • PKCA
  • PKC-A
  • PKC-alpha
  • PKCAMGC129900
  • PRKACA
  • PRKCA
  • protein kinase C alpha type
  • protein kinase C, alpha

Background

Protein Kinase C (PKC) is a large superfamily of serine/threonine kinases that mediate essential cellular signals required for activation, proliferation, differentiation and survival. There are at least ten PKC isotypes that are closely related in structure but that have distinct patterns of tissue distribution and function. The PKC isotypes can be subdivided into three classes based on primary structure and biochemical properties. These are: classical or conventional PKC isotypes (cPKC), novel PKC isotypes (nPKC) and atypical PKC isotypes (aPKC). All PKC isotypes share a characteristic equence motif C1 in addition to a serine/threonine-protein kinase domain. The cPKC isotypes include PKC

Limitations

This product is for research use only and is not approved for use in humans or in clinical diagnosis. Primary Antibodies are guaranteed for 1 year from date of receipt.

Customers Who Viewed This Item Also Viewed...

NBP2-82026
Species: Hu, Mu, Rt
Applications: ELISA, ICC/IF, IHC,  IHC-P, WB
DYC1825-2
Species: Hu, Mu, Rt
Applications: ELISA
NBP2-19846
Species: Hu, Rt, Xp
Applications: Func, ICC/IF, IHC,  IHC-P, WB
AF1230
Species: Hu, Mu, Rt
Applications: IHC, KO, WB
NBP1-87270
Species: Hu, Mu
Applications: ICC/IF, IHC,  IHC-P, WB
AF5134
Species: Hu, Mu, Rt
Applications: IHC, Simple Western, WB
NBP1-90351
Species: Hu
Applications: ICC/IF, IHC,  IHC-P, WB
NBP2-67471
Species: Hu, Mu, Rt
Applications: ICC/IF, IHC,  IHC-P, WB
AF467
Species: Hu, Mu
Applications: CyTOF-ready, Flow, ICC, IHC, Simple Western, WB
NBP1-32535
Species: Hu, Mu, Rt
Applications: IHC, IHC-Fr,  IHC-P, WB
AF887
Species: Hu, Mu, Rt
Applications: CyTOF-ready, IHC, ICFlow, Simple Western, WB
NBP2-50037
Species: Hu, Mu, Rt
Applications: ICC/IF, IHC, KO, WB
236-EG
Species: Hu
Applications: BA
MAB1417
Species: Bv, Hu, Mu
Applications: ICC, IHC
NB100-56583
Species: Hu, Rb, Rt
Applications: Flow, IHC,  IHC-P, KO, Simple Western, WB
AF1347
Species: Hu, Mu, Rt
Applications: ICC, IHC, Simple Western, WB
MAB4540
Species: Hu, Mu, Rt
Applications: IHC, Simple Western, WB

Publications for PKC alpha Antibody (NBP2-67457) (0)

There are no publications for PKC alpha Antibody (NBP2-67457).
By submitting your publication information earn gift cards and discounts for future purchases.

Reviews for PKC alpha Antibody (NBP2-67457) (0)

There are no reviews for PKC alpha Antibody (NBP2-67457). By submitting a review you will receive an Amazon e-Gift Card or Novus Product Discount.
  • Review with no image -- $10/€7/£6/$10 CAD/¥70 Yuan/¥1110 Yen
  • Review with an image -- $25/€18/£15/$25 CAD/¥150 Yuan/¥2500 Yen

Product General Protocols

Video Protocols

WB Video Protocol
ICC/IF Video Protocol

FAQs for PKC alpha Antibody (NBP2-67457). (Showing 1 - 1 of 1 FAQ).

  1. We are looking into protein kinase C-alpha antibodies for immunohistochemistry on formalin fixed, paraffin embedded tissue. I see that you have many antibodies, including several monoclonals. I wanted to confirm with you that the following antibodies are specific for C-alpha. NB600-201=MC5 (an older paper suggested that this might react with alpha, beta, gamm), NB110-57356=Y124, NB110-57353=Y143. Also, if you have an comparator data or feedback regarding PKC-alpha antibodies for IHC on FFPE, that would be very helpful. We would like to pick 1 antibody that is easy to titer and robust, so that we can move forward with our studies.
    • We have never heard any feedback that these cross-react with other PKC proteins. If you have seen data that MC5 may cross-react, then I would consider avoiding this antibody if you are concerned. The immunogens for NB110-57356 and NB110-57353 come from the N- and C-terminals, which is where the PKC proteins vary the most, so these are not expected to cross-react and we have had no feedback or testing data that suggests that they do. I would recommend NB110-57356, since it has been published with. You may want to review the published data to determine if it seems this antibody will suit your needs.

Secondary Antibodies

 

Isotype Controls

Additional PKC alpha Products

Research Areas for PKC alpha Antibody (NBP2-67457)

Find related products by research area.

Blogs on PKC alpha.

There is nothing beta than PKC Alpha
cAMP-dependent protein kinase (PKA) is a Ser/Thr protein kinase that is highly conserved between species. Three distinct catalytic (C) subunits have been identified, designated C-alpha, C-beta and C-gamma, where C-alpha and C-beta are most closely rel...  Read full blog post.

Contact Information

Product PDFs

Calculators

Concentration Calculator

The concentration calculator allows you to quickly calculate the volume, mass or concentration of your vial. Simply enter your mass, volume, or concentration values for your reagent and the calculator will determine the rest.

=
÷

Review this Product

Be the first to review our PKC alpha Antibody (SU31-08) and receive a gift card or discount.

Bioinformatics

Gene Symbol PRKCA