PIP5K2 alpha Antibody

Images

 
Western Blot: PIP5K2 alpha Antibody [NBP2-19835] - Sample (30 ug of whole cell lysate) A: A431 B: H1299 10% SDS PAGE gel, diluted at 1:1000.
Immunocytochemistry/ Immunofluorescence: PIP5K2 alpha Antibody [NBP2-19835] - Immunofluorescence analysis of methanol-fixed HeLa, using antibody at 1:200 dilution.
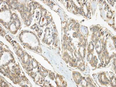
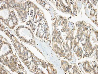
Immunohistochemistry-Paraffin: PIP5K2 alpha Antibody [NBP2-19835] - Immunohistochemical analysis of paraffin-embedded tyroid ca, using antibody at 1:100 dilution.

Product Details

Summary
Product Discontinued
View other related PIP5K2 alpha Primary Antibodies

Order Details


    • Catalog Number
      NBP2-19835
    • Availability
      Product Discontinued

    Can't find what you are looking for? Use our Antibody Concierge Service & we will help you locate your antibody!

    Or feel free to contact us for alternative products.

PIP5K2 alpha Antibody Summary

Immunogen
Carrier-protein conjugated synthetic peptide encompassing a sequence within the N-terminus region of human PIP5K2 alpha. The exact sequence is proprietary.
Isotype
IgG
Clonality
Polyclonal
Host
Rabbit
Gene
PIP4K2A
Purity
Immunogen affinity purified
Innovator's Reward
Test in a species/application not listed above to receive a full credit towards a future purchase.

Applications/Dilutions

Dilutions
  • Immunocytochemistry/ Immunofluorescence 1:100-1:1000
  • Immunohistochemistry 10 - 1:500
  • Immunohistochemistry-Paraffin 1:100-1:1000
  • Western Blot 1:500-1:3000
Theoretical MW
46 kDa.
Disclaimer note: The observed molecular weight of the protein may vary from the listed predicted molecular weight due to post translational modifications, post translation cleavages, relative charges, and other experimental factors.

Packaging, Storage & Formulations

Storage
Aliquot and store at -20C or -80C. Avoid freeze-thaw cycles.
Buffer
PBS (pH 7), 10% Glycerol
Preservative
0.01% Thimerosal
Purity
Immunogen affinity purified

Alternate Names for PIP5K2 alpha Antibody

  • 1-phosphatidylinositol-4-phosphate kinase
  • 1-phosphatidylinositol-4-phosphate-5-kinase
  • 1-phosphatidylinositol-5-phosphate 4-kinase 2-alpha
  • Diphosphoinositide kinase 2-alpha
  • EC 2.7.1
  • EC 2.7.1.149
  • FLJ13267
  • phosphatidylinositol-4-phosphate 5-kinase, type II, alpha
  • Phosphatidylinositol-5-phosphate 4-kinase type II alpha
  • phosphatidylinositol-5-phosphate 4-kinase type-2 alpha
  • phosphatidylinositol-5-phosphate 4-kinase, type II, alpha
  • PI(5)P 4-kinase type II alpha
  • PIP4KII-alpha
  • PIP5K2
  • PIP5K2API5P4KA
  • PIP5KIIA
  • PIP5KIIalpha
  • PIP5KII-alpha
  • PIP5KIII
  • PIPK
  • PtdIns(4)P-5-kinase B isoform
  • PtdIns(4)P-5-kinase C isoform
  • PtdIns(5)P-4-kinase isoform 2-alpha
  • type II phosphatidylinositol-4-phosphate 5-kinase 53 K isoform

Background

Phosphatidylinositol-5,4-bisphosphate, the precursor to second messengers of the phosphoinositide signal transduction pathways, is thought to be involved in the regulation of secretion, cell proliferation, differentiation, and motility. The protein encoded by this gene is one of a family of enzymes capable of catalyzing the phosphorylation of phosphatidylinositol-5-phosphate on the fourth hydroxyl of the myo-inositol ring to form phosphatidylinositol-5,4-bisphosphate. The amino acid sequence of this enzyme does not show homology to other kinases, but the recombinant protein does exhibit kinase activity. This gene is a member of the phosphatidylinositol-5-phosphate 4-kinase family. [provided by RefSeq]

Limitations

This product is for research use only and is not approved for use in humans or in clinical diagnosis. Primary Antibodies are guaranteed for 1 year from date of receipt.

Customers Who Viewed This Item Also Viewed...

NBP1-85299
Species: Hu
Applications: ICC/IF, IHC,  IHC-P, WB
NBP1-32870
Species: Ch, Hu
Applications: IHC,  IHC-P, IP, KD, WB
NBP3-48674
Species: Hu, Mu, Rt, Ze
Applications: ICC/IF, IHC,  IHC-P, WB
AF5866
Species: Hu
Applications: IHC, WB
NBP3-25636
Species: Hu, Mu, Rt
Applications: ICC/IF, IHC,  IHC-P, WB
NBP2-59319
Species: Hu, Rt
Applications: ICC/IF, IP, WB
NBP3-48516
Species: Hu
Applications: IHC,  IHC-P, WB
AF887
Species: Hu, Mu, Rt
Applications: CyTOF-ready, IHC, ICFlow, Simple Western, WB
NBP1-92272
Species: Hu
Applications: IHC,  IHC-P
NBP2-01763
Species: Hu, Mu, Rt
Applications: Flow, IHC,  IHC-P, WB
NBP2-38820
Species: Hu
Applications: ICC/IF, IHC,  IHC-P
NB110-40773
Species: Hu, Mu, Rt
Applications: ICC/IF, IHC, IHC-Fr,  IHC-P
NBL1-09036
Species: Hu
Applications: WB
1129-ER
Species: Hu
Applications: BA
NBP2-93502
Species: Hu, Mu, Rt
Applications: ICC/IF, WB
H00005555-P01
Species: Hu
Applications: ELISA, AP, PA, PAGE, WB
NBP3-46899
Species: Hu
Applications: ELISA, ICC/IF, WB
NB100-74359
Species: Ch, Hu, Mu
Applications: ICC/IF, IHC, IHC-Fr,  IHC-P, IP, WB
⚠ WARNING: This product can expose you to chemicals including mercury, which is known to the State of California to cause reproductive toxicity with developmental effects.  For more information go to www.P65Warnings.ca.gov.

Publications for PIP5K2 alpha Antibody (NBP2-19835) (0)

There are no publications for PIP5K2 alpha Antibody (NBP2-19835).
By submitting your publication information earn gift cards and discounts for future purchases.

Reviews for PIP5K2 alpha Antibody (NBP2-19835) (0)

There are no reviews for PIP5K2 alpha Antibody (NBP2-19835). By submitting a review you will receive an Amazon e-Gift Card or Novus Product Discount.
  • Review with no image -- $10/€7/£6/$10 CAD/¥70 Yuan/¥1110 Yen
  • Review with an image -- $25/€18/£15/$25 CAD/¥150 Yuan/¥2500 Yen

Product General Protocols

Find general support by application which include: protocols, troubleshooting, illustrated assays, videos and webinars.

Video Protocols

WB Video Protocol
ICC/IF Video Protocol

FAQs for PIP5K2 alpha Antibody (NBP2-19835) (0)

There are no specific FAQs related to this product. Read our general customer & technical service FAQs.

Contact Information

Product PDFs

Calculators

Concentration Calculator

The concentration calculator allows you to quickly calculate the volume, mass or concentration of your vial. Simply enter your mass, volume, or concentration values for your reagent and the calculator will determine the rest.

=
÷

Review this Product

Be the first to review our PIP5K2 alpha Antibody and receive a gift card or discount.

Bioinformatics

Gene Symbol PIP4K2A
Uniprot