PCK1 Antibody

Images

 
Western Blot: PCK1 Antibody [NBP1-54825] - Human Fetal Muscle, Antibody Dilution: 1.0 ug/ml.
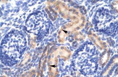
Immunohistochemistry-Paraffin: PCK1 Antibody [NBP1-54825] - Human kidney Tissue, antibody concentration 4-8ug/ml. Cells with positive label: renal corpuscle cells (indicated with arrows) 400X magnification.
Western Blot: PCK1 Antibody [NBP1-54825] - Human Fetal Brain Lysate, concentration 1.0ug/ml.
Western Blot: PCK1 Antibody [NBP1-54825] - Human Adult Placenta, Antibody Dilution: 1.0 ug/ml.
Western Blot: PCK1 Antibody [NBP1-54825] - Human Fetal Heart, Antibody Dilution: 1.0 ug/ml.
Western Blot: PCK1 Antibody [NBP1-54825] - Human Fetal Liver, Antibody Dilution: 1.0 ug/ml.
Western Blot: PCK1 Antibody [NBP1-54825] - Human Fetal Lung, Antibody Dilution: 1.0 ug/ml.
Western Blot: PCK1 Antibody [NBP1-54825] - MCF7, Antibody Dilution: 1.0 ug/ml.

Product Details

Summary
Product Discontinued
View other related PCK1 Primary Antibodies

Order Details


    • Catalog Number
      NBP1-54825
    • Availability
      Product Discontinued

    Can't find what you are looking for? Use our Antibody Concierge Service & we will help you locate your antibody!

    Or feel free to contact us for alternative products.

PCK1 Antibody Summary

Immunogen
Synthetic peptides corresponding to PCK1 (phosphoenolpyruvate carboxykinase 1 (soluble)) The peptide sequence was selected from the middle region of PCK1. Peptide sequence NGFFGVAPGTSVKTNPNAIKTIQKNTIFTNVAETSDGGVYWEGIDEPLAS. The peptide sequence for this immunogen was taken from within the described region.
Isotype
IgG
Clonality
Polyclonal
Host
Rabbit
Gene
PCK1
Purity
Protein A purified
Innovator's Reward
Test in a species/application not listed above to receive a full credit towards a future purchase.

Applications/Dilutions

Dilutions
  • Immunohistochemistry 4.0-8.0 ug/ml
  • Immunohistochemistry-Paraffin 4.0-8.0 ug/ml
  • Western Blot 1.0 ug/ml
Application Notes
This is a rabbit polyclonal antibody against PCK1 and was validated on Western Blot and immunohistochemistry-P
Theoretical MW
69 kDa.
Disclaimer note: The observed molecular weight of the protein may vary from the listed predicted molecular weight due to post translational modifications, post translation cleavages, relative charges, and other experimental factors.
Publications
Read Publications using NBP1-54825.

Packaging, Storage & Formulations

Storage
Store at -20C. Avoid freeze-thaw cycles.
Buffer
PBS and 2% Sucrose
Preservative
0.09% Sodium Azide
Purity
Protein A purified

Notes

The addition of 50% glycerol is optional for those storing this antibody at -20C and not aliquoting smaller units. However, please note that glycerol may interrupt some downstream antibody applications and should be added with caution.

Alternate Names for PCK1 Antibody

  • EC 4.1.1.32
  • MGC22652
  • PCK1
  • PEPCK1
  • PEPCKC
  • PEPCK-C
  • PEPCK-CPEP carboxykinase
  • phosphoenolpyruvate carboxykinase 1 (soluble)
  • phosphoenolpyruvate carboxykinase, cytosolic [GTP]
  • phosphoenolpyruvate carboxykinase, cytosolic
  • Phosphoenolpyruvate carboxylase
  • phosphopyruvate carboxylase

Background

PCK1 is a main control point for the regulation of gluconeogenesis. The cytosolic enzyme encoded by this gene, along with GTP, catalyzes the formation of phosphoenolpyruvate from oxaloacetate, with the release of carbon dioxide and GDP. The expression of PCK1 can be regulated by insulin, glucocorticoids, glucagon, cAMP, and diet.

Limitations

This product is for research use only and is not approved for use in humans or in clinical diagnosis. Primary Antibodies are guaranteed for 1 year from date of receipt.

Customers Who Viewed This Item Also Viewed...

NBP1-91011
Species: Hu
Applications: IHC, IHC-Fr,  IHC-P, WB
NBP2-34234
Species: Hu
Applications: ELISA, ICC/IF, IHC,  IHC-P
NBP1-32398
Species: Hu, Mu, Rt
Applications: ICC/IF, IHC,  IHC-P, IP, KD, WB
NBP3-05078
Species: Hu, Mu, Rt
Applications: ICC/IF, IHC,  IHC-P, WB
NBP1-89559
Species: Hu
Applications: IHC,  IHC-P, WB
NBP2-33606
Species: Hu
Applications: ICC/IF, IHC,  IHC-P, WB
NBP1-49536
Species: Hu, Mu, Rt
Applications: ICC/IF, IHC,  IHC-P, KD, WB
NBP1-89782
Species: Hu
Applications: IHC,  IHC-P, WB
AF1936
Species: Hu
Applications: IP, WB
AF3428
Species: Hu
Applications: ICC, Simple Western, WB
NBP2-33950
Species: Hu, Mu
Applications: ICC/IF, IHC,  IHC-P, WB
664-LI
Species: Hu
Applications: BA
NBP1-81838
Species: Hu
Applications: IHC,  IHC-P, WB
NBP2-14871
Species: Mu, Rt
Applications: ICC/IF, WB
NB120-2860
Species: Ba, Bv, Ch, Hu, Mu, Rt
Applications: ELISA, Flow, ICC/IF, IHC,  IHC-P, WB
NBP2-15669
Species: Mu, Rt, Ze
Applications: IHC-WhMt, IHC, WB
NB200-540
Species: Ec, Mu
Applications: CyTOF-ready, Flow-IC, Flow, IA, ICC/IF, IHC, IHC-Fr,  IHC-P, IP
NBP2-47405
Species: Hu
Applications: IHC,  IHC-P
NBP2-57496
Species: Hu
Applications: ICC/IF
NBP1-54825
Species: Hu
Applications: WB, IHC

Publications for PCK1 Antibody (NBP1-54825)(2)

Reviews for PCK1 Antibody (NBP1-54825) (0)

There are no reviews for PCK1 Antibody (NBP1-54825). By submitting a review you will receive an Amazon e-Gift Card or Novus Product Discount.
  • Review with no image -- $10/€7/£6/$10 CAD/¥70 Yuan/¥1110 Yen
  • Review with an image -- $25/€18/£15/$25 CAD/¥150 Yuan/¥2500 Yen

Product General Protocols

Find general support by application which include: protocols, troubleshooting, illustrated assays, videos and webinars.

Video Protocols

WB Video Protocol

FAQs for PCK1 Antibody (NBP1-54825) (0)

There are no specific FAQs related to this product. Read our general customer & technical service FAQs.

Secondary Antibodies

 

Isotype Controls

Additional PCK1 Products

Research Areas for PCK1 Antibody (NBP1-54825)

Find related products by research area.

Blogs on PCK1

There are no specific blogs for PCK1, but you can read our latest blog posts.

Contact Information

Product PDFs

Calculators

Concentration Calculator

The concentration calculator allows you to quickly calculate the volume, mass or concentration of your vial. Simply enter your mass, volume, or concentration values for your reagent and the calculator will determine the rest.

=
÷

Review this Product

Be the first to review our PCK1 Antibody and receive a gift card or discount.

Bioinformatics

Gene Symbol PCK1
Uniprot