Pancreatic Lipase Antibody (PNLIP/9042) - Azide and BSA Free

Images

 
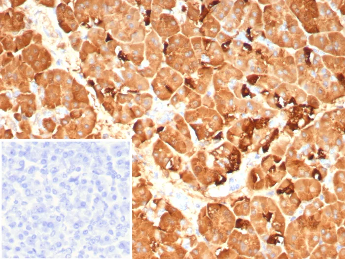
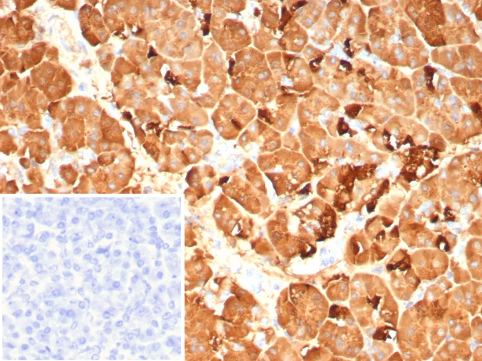
Formalin-fixed, paraffin-embedded human pancreas stained with Pancreatic Lipase Antibody (PNLIP/9042) - Azide and BSA Free. Inset: PBS instead of primary antibody; secondary only negative control.

Product Details

Summary
Reactivity HuSpecies Glossary
Applications ELISA, IHC
Clone
PNLIP/9042
Clonality
Monoclonal
Host
Mouse
Conjugate
Unconjugated
Format
Azide and BSA Free
Concentration
1 mg/ml

Order Details

Pancreatic Lipase Antibody (PNLIP/9042) - Azide and BSA Free Summary

Description
Antibody without azide - store at -20 to -80C. Non-hazardous. No MSDS required.
Immunogen
Recombinant fragment (around aa 1-200) of human Pancreatic Lipase protein (exact sequence is proprietary)
Localization
Secreted
Isotype
IgG1 Kappa
Clonality
Monoclonal
Host
Mouse
Gene
PNLIP
Purity
Protein A or G purified
Innovator's Reward
Test in a species/application not listed above to receive a full credit towards a future purchase.

Applications/Dilutions

Dilutions
  • ELISA
  • Immunohistochemistry-Paraffin 1-2ug/ml for 30 minutes at RT
Application Notes
ELISA: For coating, order antibody without BSA. Immunohistochemistry-Paraffin 1-2ug/ml for 30 minutes at RT. Optimal dilution for a specific application should be determined.. Staining of formalin-fixed tissues requires heating tissue sections in 10mM Tris with 1mM EDTA, pH 9.0, for 45 min at 95C followed by cooling at RT for 20 minutes

Packaging, Storage & Formulations

Storage
Store at -20 to -80C. Avoid freeze-thaw cycles.
Buffer
10mM PBS
Preservative
No Preservative
Concentration
1 mg/ml
Purity
Protein A or G purified

Alternate Names for Pancreatic Lipase Antibody (PNLIP/9042) - Azide and BSA Free

  • EC 3.1.1.21
  • EC 3.1.1.3
  • Pancreatic Lipase
  • pancreatic lipasepancreatic triacylglycerol lipase
  • PL
  • PNLIP
  • PTL
  • triacylglycerol acylhydrolase

Background

Pancreatic Lipase is a member of the lipase gene family. It encodes a carboxyl esterase that hydrolyzes insoluble, emulsified triglycerides, and is essential for the efficient digestion of dietary fats. This gene is expressed specifically in the pancreas.

Limitations

This product is for research use only and is not approved for use in humans or in clinical diagnosis. Primary Antibodies are guaranteed for 1 year from date of receipt.

Customers Who Viewed This Item Also Viewed...

NBP2-34294
Species: Hu, Mu, Rt
Applications: Flow, IHC,  IHC-P
NBP1-86109
Species: Hu
Applications: IHC,  IHC-P, WB
AF7197
Species: Hu, Mu
Applications: ICC, IHC, WB
NBP2-46376
Species: Hu
Applications: IHC,  IHC-P, WB
NBP2-16019
Species: Hu
Applications: IHC,  IHC-P, WB
AF1445
Species: Mu, Rt
Applications: ELISA(Cap), ELISA(Det), ELISA(Sta), IHC, Neut, Simple Western, WB
NBP2-33950
Species: Hu, Mu
Applications: ICC/IF, IHC,  IHC-P, WB
NBP3-38363
Species: Hu, Mu, Rt
Applications: ELISA, IHC,  IHC-P, WB
NB100-2564
Species: Hu
Applications: WB
NBP2-01743
Species: Hu
Applications: Flow, ICC/IF, IHC,  IHC-P, WB
MAB1417
Species: Bv, Hu, Mu
Applications: ICC, IHC
H00005555-P01
Species: Hu
Applications: ELISA, AP, PA, PAGE, WB
MAB5018
Species: Hu
Applications: IP, WB
MAB1455
Species: Hu
Applications: CyTOF-ready, Dual ISH-IHC, ICC, IHC, ICFlow, Simple Western, WB
NBP3-46020
Species: Hu, Mu, Rt
Applications: ELISA, IHC, WB
NB600-717
Species: Bv
Applications: ELISA, ICC/IF, IHC, IHC-Fr,  IHC-P, RIA, RI, WB
AF2009
Species: Hu
Applications: ICC, IHC
NBP1-91928
Species: Hu
Applications: IHC,  IHC-P, WB
NBP3-26991
Species: Hu
Applications: ELISA, IHC

Publications for Pancreatic Lipase Antibody (NBP3-26991) (0)

There are no publications for Pancreatic Lipase Antibody (NBP3-26991).
By submitting your publication information earn gift cards and discounts for future purchases.

Reviews for Pancreatic Lipase Antibody (NBP3-26991) (0)

There are no reviews for Pancreatic Lipase Antibody (NBP3-26991). By submitting a review you will receive an Amazon e-Gift Card or Novus Product Discount.
  • Review with no image -- $10/€7/£6/$10 CAD/¥70 Yuan/¥1110 Yen
  • Review with an image -- $25/€18/£15/$25 CAD/¥150 Yuan/¥2500 Yen

Product General Protocols

Find general support by application which include: protocols, troubleshooting, illustrated assays, videos and webinars.

FAQs for Pancreatic Lipase Antibody (NBP3-26991) (0)

There are no specific FAQs related to this product. Read our general customer & technical service FAQs.

Customers Who Bought This Also Bought

Contact Information

Product PDFs

Calculators

Concentration Calculator

The concentration calculator allows you to quickly calculate the volume, mass or concentration of your vial. Simply enter your mass, volume, or concentration values for your reagent and the calculator will determine the rest.

=
÷

Review this Product

Be the first to review our Pancreatic Lipase Antibody (PNLIP/9042) - Azide and BSA Free and receive a gift card or discount.

Bioinformatics

Gene Symbol PNLIP