p21/CIP1/CDKN1A Antibody (HJ21) - IHC-Prediluted

Images

 
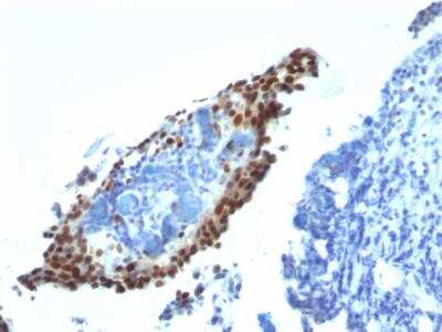
Immunohistochemistry-Paraffin: p21/CIP1/CDKN1A Antibody (HJ21) - IHC-Prediluted [NBP2-48383] - Formalin-fixed, paraffin-embedded Bladder Carcinoma stained with p21 Monoclonal Antibody (HJ21).

Product Details

Summary
Reactivity Hu, Mu, Pm, PmSpecies Glossary
Applications IHC
Clone
HJ21
Clonality
Monoclonal
Host
Mouse
Conjugate
Unconjugated
Format
IHC-Prediluted

Order Details

p21/CIP1/CDKN1A Antibody (HJ21) - IHC-Prediluted Summary

Description
The prediluted antibody does not require any mixing, dilution, reconstitution, or titration; the antibody is ready-to-use and optimized for staining.
Immunogen
Human recombinant p21/CIP1/CDKN1A protein (Uniprot: P38936)
Localization
Nuclear
Specificity
This monoclonal antibody recognizes a 21kDa protein, identified as the p21WAF1 tumor suppressor protein. It is highly specific to p21 and shows no cross-reaction with other closely related mitotic inhibitors. p21WAF1 is a specific inhibitor of cdks and a tumor suppressor involved in the pathogenesis of a variety of malignancies. The expression of this gene acts as an inhibitor of the cell cycle during G1 phase and is tightly controlled by the tumor suppressor protein p53. Its expression is induced by the wild type, but not mutant, p53 suppressor protein. Normal cells generally display a rather intense nuclear p21 expression. Loss of p21 expression has been reported in many carcinomas (gastric carcinoma, non-small cell lung carcinoma, thyroid carcinoma).
Isotype
IgG1 Kappa
Clonality
Monoclonal
Host
Mouse
Gene
CDKN1A
Purity
Protein A or G purified
Innovator's Reward
Test in a species/application not listed above to receive a full credit towards a future purchase.

Applications/Dilutions

Dilutions
  • Immunohistochemistry
  • Immunohistochemistry-Paraffin
Application Notes
Immunohistochemistry (Formalin-fixed): 1-2ug/ml for 30 minutes at RT. Staining of formalin-fixed tissues requires heating tissue sections in 10mM Tris with 1mM EDTA, pH 9.0, for 45 min at 95C followed by cooling at RT for 20 minutes.
Optimal dilution for a specific application should be determined.
Theoretical MW
21 kDa.
Disclaimer note: The observed molecular weight of the protein may vary from the listed predicted molecular weight due to post translational modifications, post translation cleavages, relative charges, and other experimental factors.

Packaging, Storage & Formulations

Storage
Store at 4C.
Buffer
10 mM PBS with 0.05% BSA
Preservative
0.05% Sodium Azide
Purity
Protein A or G purified

Alternate Names for p21/CIP1/CDKN1A Antibody (HJ21) - IHC-Prediluted

  • CAP20cyclin-dependent kinase inhibitor 1
  • CDK-interacting protein 1
  • CDKN1A
  • CDKN1melanoma differentiation associated protein 6
  • CIP1
  • CIP1WAF1CDK-interaction protein 1
  • cyclin-dependent kinase inhibitor 1A (p21, Cip1)
  • MDA6
  • MDA-6
  • Melanoma differentiation-associated protein 6
  • p21
  • p21CIP1
  • p21Cip1/Waf1
  • PIC1
  • SDI1DNA synthesis inhibitor
  • wild-type p53-activated fragment 1

Background

Cell cycle progression is regulated by cyclins and their cognate Cdks. p21 (WAF1/CIP1) inhibits the activity of each member of the cyclin/Cdk family, and over expression of this protein inhibits the proliferation of mammalian cells. The expression of p21 is inducible by a wide range of stress stimuli. p21 is tightly regulated at the transcriptional level by p53, and probably serves as the effector of p53 cell cycle control.

Limitations

This product is for research use only and is not approved for use in humans or in clinical diagnosis. Primary Antibodies are guaranteed for 1 year from date of receipt.

Customers Who Viewed This Item Also Viewed...

NB200-103
Species: Hu, Mu, Rt, Xp(-), Ye
Applications: CyTOF-ready, ELISA, Flow-IC, Flow, ICC/IF, IHC, IHC-Fr,  IHC-P, IP, WB
NB200-106
Species: Mu, Rt
Applications: ELISA, ICC/IF, IHC, IHC-Fr,  IHC-P, WB
AF1555
Species: Hu
Applications: WB
NBP2-00776
Species: Ca, Hu, Pm, Mu, Rt
Applications: Flow, ICC/IF, IHC,  IHC-P, WB
NBP3-26876
Species: Hu
Applications: IHC,  IHC-P
NBP2-47561
Species: Hu
Applications: ICC/IF, IHC,  IHC-P, WB
NBP1-80616
Species: Hu, Mu, Rt
Applications: IHC,  IHC-P, WB
NBP2-03198
Species: Hu
Applications: Flow, ICC/IF, IHC,  IHC-P, WB
NBP1-90949
Species: Hu
Applications: IHC,  IHC-P, WB
NB500-106
Species: Ch, Dr, Fi, Hu, Mar, Mu, Po, Pm, Rb, Rt, Ye, Ze
Applications: ChIP, ChIP, ELISA, Flow, ICC/IF, IHC-FrFl, IHC, IHC-Fr,  IHC-P, IP, Simple Western, WB
NBP2-32840
Species: Hu, Pm, Mu, Rt
Applications: Flow, ICC/IF, IHC,  IHC-P, WB
MAB7557
Species: Hu
Applications: IHC, WB
NBP1-31308
Species: Bv, Hu, Mu, Rt
Applications: ICC/IF, IHC,  IHC-P, Simple Western, WB
MAB6495
Species: Hu
Applications: ICC, Simple Western, WB
NB100-56098
Species: Ca, Hu, Mu, Rt
Applications: IHC,  IHC-P, IP, WB
AF820
Species: Hu, Mu
Applications: ICC, IHC, KO, Simple Western, WB
AF1230
Species: Hu, Mu, Rt
Applications: IHC, KO, WB

Publications for p21/CIP1/CDKN1A Antibody (NBP2-48383) (0)

There are no publications for p21/CIP1/CDKN1A Antibody (NBP2-48383).
By submitting your publication information earn gift cards and discounts for future purchases.

Reviews for p21/CIP1/CDKN1A Antibody (NBP2-48383) (0)

There are no reviews for p21/CIP1/CDKN1A Antibody (NBP2-48383). By submitting a review you will receive an Amazon e-Gift Card or Novus Product Discount.
  • Review with no image -- $10/€7/£6/$10 CAD/¥70 Yuan/¥1110 Yen
  • Review with an image -- $25/€18/£15/$25 CAD/¥150 Yuan/¥2500 Yen

Product General Protocols

Find general support by application which include: protocols, troubleshooting, illustrated assays, videos and webinars.

FAQs for p21/CIP1/CDKN1A Antibody (NBP2-48383) (0)

There are no specific FAQs related to this product. Read our general customer & technical service FAQs.

Secondary Antibodies

 

Isotype Controls

Additional p21/CIP1/CDKN1A Products

Research Areas for p21/CIP1/CDKN1A Antibody (NBP2-48383)

Find related products by research area.

Blogs on p21/CIP1/CDKN1A

There are no specific blogs for p21/CIP1/CDKN1A, but you can read our latest blog posts.

Customers Who Bought This Also Bought

Contact Information

Product PDFs

Calculators

Concentration Calculator

The concentration calculator allows you to quickly calculate the volume, mass or concentration of your vial. Simply enter your mass, volume, or concentration values for your reagent and the calculator will determine the rest.

=
÷

Review this Product

Be the first to review our p21/CIP1/CDKN1A Antibody (HJ21) - IHC-Prediluted and receive a gift card or discount.

Bioinformatics

Gene Symbol CDKN1A