ORC3L Antibody

Images

 
Western Blot: ORC3L Antibody [NBP2-19632] - Sample (30 ug of whole cell lysate) A: H1299 7. 5% SDS PAGE gel, diluted at 1:1000.
Immunocytochemistry/ Immunofluorescence: ORC3L Antibody [NBP2-19632] - SK-N-SH cells were fixed in 4% paraformaldehyde at RT for 15 min. Green: ORC3L protein stained by ORC3L antibody [N1N3] diluted at 1:1000. Blue: ...read more
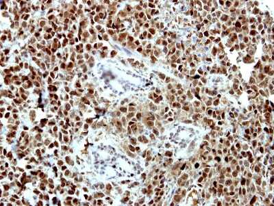
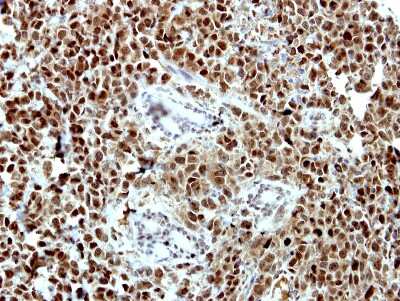
Immunohistochemistry-Paraffin: ORC3L Antibody [NBP2-19632] - Immunohistochemical analysis of paraffin-embedded HBL435 xenograft, using antibody at 1:100 dilution.

Product Details

Summary
Product Discontinued
View other related ORC3L Primary Antibodies

Order Details


    • Catalog Number
      NBP2-19632
    • Availability
      Product Discontinued

    Can't find what you are looking for? Use our Antibody Concierge Service & we will help you locate your antibody!

    Or feel free to contact us for alternative products.

ORC3L Antibody Summary

Immunogen
Recombinant protein encompassing a sequence within the center region of human ORC3L. The exact sequence is proprietary.
Isotype
IgG
Clonality
Polyclonal
Host
Rabbit
Gene
ORC3
Purity
Immunogen affinity purified
Innovator's Reward
Test in a species/application not listed above to receive a full credit towards a future purchase.

Applications/Dilutions

Dilutions
  • Immunocytochemistry/ Immunofluorescence 1:100-1:1000
  • Immunohistochemistry 1:100-1:1000
  • Immunohistochemistry-Paraffin 1:100-1:1000
  • Western Blot 1:500-1:3000
Theoretical MW
82 kDa.
Disclaimer note: The observed molecular weight of the protein may vary from the listed predicted molecular weight due to post translational modifications, post translation cleavages, relative charges, and other experimental factors.

Reactivity Notes

Rat (82%), Bovine (88%).

Packaging, Storage & Formulations

Storage
Aliquot and store at -20C or -80C. Avoid freeze-thaw cycles.
Buffer
0.1M Tris (pH 7), 0.1M Glycine, 20% Glycerol
Preservative
0.01% Thimerosal
Purity
Immunogen affinity purified

Alternate Names for ORC3L Antibody

  • IMAGE50150
  • LAT
  • LATHEOorigin recognition complex, subunit 3-like (yeast)
  • ORC3Lhomolog of latheo, Drosophila
  • origin recognition complex subunit 3
  • Origin recognition complex subunit Latheo
  • origin recognition complex, subunit 3 (yeast homolog)-like
  • origin recognition complex, subunit 3 honolog (yeast)
  • origin recognition complex, subunit 3 honolog
  • origin recognition complex, subunit 3
  • origin recognition complex, subunit 3-like

Background

The origin recognition complex (ORC) is a highly conserved six subunits protein complex essential for the initiation of the DNA replication in eukaryotic cells. Studies in yeast demonstrated that ORC binds specifically to origins of replication and serves as a platform for the assembly of additional initiation factors such as Cdc6 and Mcm proteins. The protein encoded by this gene is a subunit of the ORC complex. Studies of a similar gene in Drosophila suggested a possible role of this protein in neuronal proliferation and olfactory memory. Alternatively spliced transcript variants encoding distinct isoforms have been reported for this gene. [provided by RefSeq]

Limitations

This product is for research use only and is not approved for use in humans or in clinical diagnosis. Primary Antibodies are guaranteed for 1 year from date of receipt.

Customers Who Viewed This Item Also Viewed...

AF3709
Species: Hu
Applications: IHC, Simple Western, WB
MAB7474
Species: Hu
Applications: ICC, Simple Western, WB
NBP2-00764
Species: Hu, Mu, Rt
Applications: Flow, IHC,  IHC-P, WB
AF1230
Species: Hu, Mu, Rt
Applications: IHC, KO, WB
NBP1-32945
Species: Hu, Mu, Rt
Applications: ICC/IF, IHC,  IHC-P, IP, WB
MAB7500
Species: Hu
Applications: ICC, WB
202-IL
Species: Hu
Applications: BA
AF4066
Species: Hu
Applications: CyTOF-ready, ICFlow, WB
NB600-1441
Species: Ca, Hu, Mu, Po
Applications: Flow, ICC/IF, IHC, IHC-Fr,  IHC-P, KD
AF2685
Species: Hu
Applications: IHC, Simple Western, WB
AF3846
Species: Hu, Mu, Rt
Applications: IHC, WB
MAB37861
Species: Hu
Applications: ICC, Simple Western, WB
NBP1-19371
Species: Ca, Hu, Mu, Po, Rb, Rt
Applications: Dual ISH-IHC, Flow, ICC/IF, IHC, IHC-Fr,  IHC-P, Simple Western, WB
AF467
Species: Hu, Mu
Applications: CyTOF-ready, Flow, ICC, IHC, Simple Western, WB
DYC1825-2
Species: Hu, Mu, Rt
Applications: ELISA
7268-CT
Species: Hu
Applications: BA
NBP1-49045
Species: Mu, Rt
Applications: Cell Depl, CyTOF-ready, Flow, ICC/IF, IHC, IHC-Fr,  IHC-P, IP, InhibTFunc
NBP2-34294
Species: Hu, Mu, Rt
Applications: Flow, IHC,  IHC-P
⚠ WARNING: This product can expose you to chemicals including mercury, which is known to the State of California to cause reproductive toxicity with developmental effects.  For more information go to www.P65Warnings.ca.gov.

Publications for ORC3L Antibody (NBP2-19632) (0)

There are no publications for ORC3L Antibody (NBP2-19632).
By submitting your publication information earn gift cards and discounts for future purchases.

Reviews for ORC3L Antibody (NBP2-19632) (0)

There are no reviews for ORC3L Antibody (NBP2-19632). By submitting a review you will receive an Amazon e-Gift Card or Novus Product Discount.
  • Review with no image -- $10/€7/£6/$10 CAD/¥70 Yuan/¥1110 Yen
  • Review with an image -- $25/€18/£15/$25 CAD/¥150 Yuan/¥2500 Yen

Product General Protocols

Find general support by application which include: protocols, troubleshooting, illustrated assays, videos and webinars.

Video Protocols

WB Video Protocol
ICC/IF Video Protocol

FAQs for ORC3L Antibody (NBP2-19632) (0)

There are no specific FAQs related to this product. Read our general customer & technical service FAQs.

Contact Information

Product PDFs

Calculators

Concentration Calculator

The concentration calculator allows you to quickly calculate the volume, mass or concentration of your vial. Simply enter your mass, volume, or concentration values for your reagent and the calculator will determine the rest.

=
÷

Review this Product

Be the first to review our ORC3L Antibody and receive a gift card or discount.

Bioinformatics

Gene Symbol ORC3
Uniprot