NUP50 Antibody

Images

 
Western Blot: NUP50 Antibody [H00010762-B01P] - Analysis of NUP50 expression in human liver.
Immunocytochemistry/ Immunofluorescence: NUP50 Antibody [H00010762-B01P] - Analysis of purified antibody to NUP50 on HeLa cell. (antibody concentration 10 ug/ml)
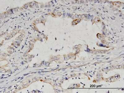
Immunohistochemistry-Paraffin: NUP50 Antibody [H00010762-B01P] - Analysis of purified antibody to NUP50 on formalin-fixed paraffin-embedded human pancreatic cancer. (antibody concentration 1.5 ug/ml)
Western Blot: NUP50 Antibody [H00010762-B01P] - Analysis of NUP50 expression in transfected 293T cell line by NUP50 polyclonal antibody. Lane 1: NUP50 transfected lysate(51.48 KDa). Lane 2: Non-transfected lysate.

Product Details

Summary
Product Discontinued
View other related NUP50 Primary Antibodies

Order Details


    • Catalog Number
      H00010762-B01P
    • Availability
      Product Discontinued

    Can't find what you are looking for? Use our Antibody Concierge Service & we will help you locate your antibody!

    Or feel free to contact us for alternative products.

NUP50 Antibody Summary

Immunogen
NUP50 (NP_009103.2, 1 a.a. - 468 a.a.) full-length human protein. MAKRNAEKELTDRNWDQEDEAEEVGTFSMASEEVLKNRAIKKAKRRNVGFESDTGGAFKGFKGLVVPSGGGRFSGFGSGAGGKPLEGLSNGNNITSAPPFASAKAAADPKVAFGSLAANGPTTLVDKVSNPKTNGDSQQPSSSGLASSKACVGNAYHKQLAALNCSVRDWIVKHVNTNPLCDLTPIFKDYEKYLANIEQQHGNSGRNSESESNKVAAETQSPSLFGSTKLQQESTFLFHGNKTEDTPDKKMEVASEKKTDPSSLGATSASFNFGKKVDSSVLGSLSSVPLTGFSFSPGNSSLFGKDTTQSKPVSSPFPTKPLEGQAEGDSGECKGGDEEENDEPPKVVVTEVKEEDAFYSKKCKLFYKKDNEFKEKGIGTLHLKPTANQKTQLLVRADTNLGNILLNVLIPPNMPCTRTGKNNVLIVCVPNPPIDEKNATMPVTMLIRVKTSEDADELHKILLEKKDA
Specificity
NUP50 - nucleoporin 50kDa,
Isotype
IgG
Clonality
Polyclonal
Host
Mouse
Gene
NUP50
Purity
Protein A purified
Innovator's Reward
Test in a species/application not listed above to receive a full credit towards a future purchase.

Applications/Dilutions

Dilutions
  • Immunocytochemistry/ Immunofluorescence
  • Immunohistochemistry
  • Immunohistochemistry-Paraffin
  • Western Blot 1:500
Application Notes
Antibody reactive against Recombinant Protein with GST tag on ELISA and Western Blot and also on transfected lysate in western blot. GST tag alone is used as a negative control.

Packaging, Storage & Formulations

Storage
Aliquot and store at -20C or -80C. Avoid freeze-thaw cycles.
Buffer
PBS (pH 7.4)
Preservative
No Preservative
Purity
Protein A purified

Notes

This product is produced by and distributed for Abnova, a company based in Taiwan.

Alternate Names for NUP50 Antibody

  • 50 kDa nucleoporin
  • MGC39961
  • NPAP60
  • NPAP60LNucleoporin Nup50
  • nuclear pore complex protein Nup50
  • Nuclear pore-associated protein 60 kDa-like
  • nuclear pore-associated protein 60L
  • nucleoporin 50kD
  • nucleoporin 50kDa

Background

The nuclear pore complex is a massive structure that extends across the nuclear envelope, forming a gateway that regulates the flow of macromolecules between the nucleus and the cytoplasm. Nucleoporins are the main components of the nuclear pore complex in eukaryotic cells. The protein encoded by this gene is a member of the FG-repeat containing nucleoporins that functions as a soluble cofactor in importin-alpha:beta-mediated nuclear protein import. Pseudogenes of this gene are found on chromosomes 5, 6, and 14. Two transcript variants encoding different isoforms have been found for this gene. [provided by RefSeq]

Limitations

This product is for research use only and is not approved for use in humans or in clinical diagnosis. Primary Antibodies are guaranteed for 1 year from date of receipt.

Customers Who Viewed This Item Also Viewed...

NBP1-83213
Species: Hu
Applications: IHC,  IHC-P, WB
NB400-148
Species: ChHa, Ha, Hu, Mu, Po, Pm, Rt
Applications: EM, ICC/IF, IHC,  IHC-P, IP, KD, KO, WB
NBP1-81725
Species: Hu
Applications: ICC/IF, IHC,  IHC-P, WB
H00001434-M08
Species: Hu, Mu
Applications: ELISA, ICC/IF, IHC,  IHC-P, WB
NBP2-00532
Species: Ca, Hu, Pm, Mu, Rt
Applications: Flow, ICC/IF, IHC,  IHC-P, WB
NBP2-45646
Species: Ca, Hu, Mu, Rt
Applications: IHC,  IHC-P, WB
NB100-93325
Species: Hu
Applications: ICC/IF, IP, WB
NB100-1533
Species: Hu, Mu, Po, Rt, Sh
Applications: Flow, ICC/IF, IHC,  IHC-P, PEP-ELISA, WB
AF3994
Species: Hu
Applications: WB
NBP3-47054
Species: Hu, Mu
Applications: ELISA, IHC, WB
NBP2-61832
Species: Hu, Pm, Mu, Rt
Applications: ELISA, Flow, ICC/IF, IHC,  IHC-P, WB
NBP1-84735
Species: Hu
Applications: ICC/IF, IHC,  IHC-P, WB
NBP1-81546
Species: Hu, Mu, Rt
Applications: IHC,  IHC-P, WB
NBP2-48546
Species: Hu
Applications: ICC/IF, IHC,  IHC-P, WB
NBP2-45570
Species: Hu, Mu, Rt
Applications: Flow, IHC,  IHC-P, WB
H00003836-M01
Species: Hu, Mu, Rt
Applications: ELISA, IHC,  IHC-P, IP, WB
MAB8209
Species: Hu, Mu, Rt
Applications: ICC, WB
H00010762-B01P
Species: Hu
Applications: WB, ICC/IF, IHC

Publications for NUP50 Antibody (H00010762-B01P) (0)

There are no publications for NUP50 Antibody (H00010762-B01P).
By submitting your publication information earn gift cards and discounts for future purchases.

Reviews for NUP50 Antibody (H00010762-B01P) (0)

There are no reviews for NUP50 Antibody (H00010762-B01P). By submitting a review you will receive an Amazon e-Gift Card or Novus Product Discount.
  • Review with no image -- $10/€7/£6/$10 CAD/¥70 Yuan/¥1110 Yen
  • Review with an image -- $25/€18/£15/$25 CAD/¥150 Yuan/¥2500 Yen

Product General Protocols

Find general support by application which include: protocols, troubleshooting, illustrated assays, videos and webinars.

Video Protocols

WB Video Protocol
ICC/IF Video Protocol

FAQs for NUP50 Antibody (H00010762-B01P) (0)

There are no specific FAQs related to this product. Read our general customer & technical service FAQs.

Contact Information

Product PDFs

Calculators

Concentration Calculator

The concentration calculator allows you to quickly calculate the volume, mass or concentration of your vial. Simply enter your mass, volume, or concentration values for your reagent and the calculator will determine the rest.

=
÷

Review this Product

Be the first to review our NUP50 Antibody and receive a gift card or discount.

Bioinformatics

Gene Symbol NUP50
Entrez
Uniprot