NUDT6 Antibody (OTI9D12)

Images

 
Western Blot: NUDT6 Antibody (9D12) [NBP2-03554] - HEK293T cells were transfected with the pCMV6-ENTRY control (Left lane) or pCMV6-ENTRY NUDT6 (Right lane) cDNA for 48 hrs and lysed. Equivalent amounts of cell lysates ...read more
Immunocytochemistry/ Immunofluorescence: NUDT6 Antibody (9D12) [NBP2-03554] Staining of COS7 cells transiently transfected by pCMV6-ENTRY NUDT6.
Immunohistochemistry-Paraffin: NUDT6 Antibody (9D12) [NBP2-03554] - Staining of paraffin-embedded Human thyroid tissue using anti-NUDT6 mouse monoclonal antibody.
Flow Cytometry: NUDT6 Antibody (9D12) [NBP2-03554] - HEK293T cells transfected with either overexpression plasmid (Red) or empty vector control plasmid (Blue) were immunostained by anti-NUDT6 antibody, and then analyzed ...read more
Immunohistochemistry-Paraffin: NUDT6 Antibody (9D12) [NBP2-03554] - Staining of paraffin-embedded Adenocarcinoma of Human ovary tissue using anti-NUDT6 mouse monoclonal antibody.
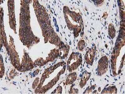
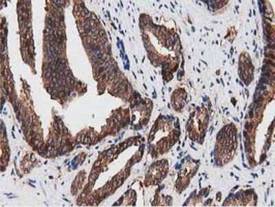
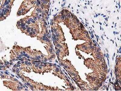
Immunohistochemistry-Paraffin: NUDT6 Antibody (9D12) [NBP2-03554] - Staining of paraffin-embedded Carcinoma of Human prostate tissue using anti-NUDT6 mouse monoclonal antibody.
Immunohistochemistry-Paraffin: NUDT6 Antibody (9D12) [NBP2-03554] - Staining of paraffin-embedded Human Kidney tissue using anti-NUDT6 mouse monoclonal antibody.
Immunohistochemistry-Paraffin: NUDT6 Antibody (9D12) [NBP2-03554] - Staining of paraffin-embedded Human liver tissue using anti-NUDT6 mouse monoclonal antibody.
Immunohistochemistry-Paraffin: NUDT6 Antibody (9D12) [NBP2-03554] - Staining of paraffin-embedded Human lung tissue using anti-NUDT6 mouse monoclonal antibody.
Immunohistochemistry-Paraffin: NUDT6 Antibody (9D12) [NBP2-03554] - Staining of paraffin-embedded Human lymphoma tissue using anti-NUDT6 mouse monoclonal antibody.
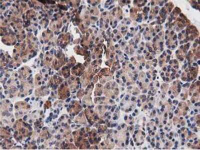
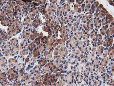
Immunohistochemistry-Paraffin: NUDT6 Antibody (9D12) [NBP2-03554] - Staining of paraffin-embedded Human pancreas tissue using anti-NUDT6 mouse monoclonal antibody.
Immunohistochemistry-Paraffin: NUDT6 Antibody (9D12) [NBP2-03554] - Staining of paraffin-embedded Human prostate tissue using anti-NUDT6 mouse monoclonal antibody.

Product Details

Summary
Reactivity HuSpecies Glossary
Applications WB, Flow, ICC/IF, IHC
Clone
OTI9D12
Clonality
Monoclonal
Host
Mouse
Conjugate
Unconjugated
Concentration
0.37 mg/ml

Order Details

NUDT6 Antibody (OTI9D12) Summary

Description
Novus Biologicals Mouse NUDT6 Antibody (OTI9D12) (NBP2-03554) is a monoclonal antibody validated for use in IHC, WB, Flow and ICC/IF. All Novus Biologicals antibodies are covered by our 100% guarantee.
Immunogen
Full length human recombinant protein of human NUDT6 (NP_009014) produced in HEK293T cell.
Isotype
IgG1
Clonality
Monoclonal
Host
Mouse
Gene
NUDT6
Purity
Immunogen affinity purified
Innovator's Reward
Test in a species/application not listed above to receive a full credit towards a future purchase.

Applications/Dilutions

Dilutions
  • Flow Cytometry 1:100
  • Immunocytochemistry/ Immunofluorescence 1:100
  • Immunohistochemistry 1:150
  • Immunohistochemistry-Paraffin 1:150
  • Western Blot 1:2000
Theoretical MW
35.5 kDa.
Disclaimer note: The observed molecular weight of the protein may vary from the listed predicted molecular weight due to post translational modifications, post translation cleavages, relative charges, and other experimental factors.

Packaging, Storage & Formulations

Storage
Store at -20C. Avoid freeze-thaw cycles.
Buffer
PBS (pH 7.3), 1.0% BSA and 50% Glycerol
Preservative
0.02% Sodium Azide
Concentration
0.37 mg/ml
Purity
Immunogen affinity purified

Alternate Names for NUDT6 Antibody (OTI9D12)

  • Antisense basic fibroblast growth factor
  • ASFGF2
  • bFGF
  • FGF2ASFGF-2
  • FGF-AS
  • gfg
  • gfg-1
  • nucleoside diphosphate-linked moiety X motif 6
  • nudix (nucleoside diphosphate linked moiety X)-type motif 6
  • Nudix motif 6
  • nudix-type motif 6
  • Protein GFG

Background

FGF2 (MIM 134920) is a highly conserved, multifunctional heparin-binding growth factor involved in neuroectoderm development, angiogenesis, and wound healing. Elevated levels of FGF2 are associated with proliferation of smooth muscle in atherosclerosis and with proliferation of tumors. The FGF2 antisense gene, NUDT6, may regulate FGF2 expression.[supplied by OMIM].

Limitations

This product is for research use only and is not approved for use in humans or in clinical diagnosis. Primary Antibodies are guaranteed for 1 year from date of receipt.

Customers Who Viewed This Item Also Viewed...

233-FB
Species: Hu
Applications: BA
NBP2-16471
Species: Hu, Mu, Rt
Applications: IHC,  IHC-P, WB
H00005688-M01
Species: Hu
Applications: ELISA, ICC/IF, IHC,  IHC-P, IP, S-ELISA, WB
H00001678-M01
Species: Hu
Applications: ELISA, IHC,  IHC-P, S-ELISA, WB
NBP1-91803
Species: Hu
Applications: IHC,  IHC-P, WB
DVE00
Species: Hu
Applications: ELISA
MAB1904
Species: Hu
Applications: ICC, IHC, WB
H00002263-M01
Species: Bv, Hu
Applications: ELISA, ICC/IF, IHC,  IHC-P, S-ELISA, WB
255-SC
Species: Hu
Applications: BA
QET00B
Species: Hu
Applications: ELISA
AF2200
Species: Hu
Applications: IP, WB
NBP1-31702
Species: Hu, Mu, Rt
Applications: ICC/IF, IHC,  IHC-P, WB
NB100-56080
Species: Hu
Applications: ICC/IF, IHC,  IHC-P, IP, WB
NBP2-45731
Species: Ca, Hu, Pm
Applications: IHC,  IHC-P, WB
NBP1-58919
Species: Hu
Applications: IHC,  IHC-P, WB
AF7548
Species: Hu
Applications: IHC
NBP2-20237
Species: Hu, Mu, Rt
Applications: IHC,  IHC-P, WB
AF1230
Species: Hu, Mu, Rt
Applications: IHC, KO, WB

Publications for NUDT6 Antibody (NBP2-03554) (0)

There are no publications for NUDT6 Antibody (NBP2-03554).
By submitting your publication information earn gift cards and discounts for future purchases.

Reviews for NUDT6 Antibody (NBP2-03554) (0)

There are no reviews for NUDT6 Antibody (NBP2-03554). By submitting a review you will receive an Amazon e-Gift Card or Novus Product Discount.
  • Review with no image -- $10/€7/£6/$10 CAD/¥70 Yuan/¥1110 Yen
  • Review with an image -- $25/€18/£15/$25 CAD/¥150 Yuan/¥2500 Yen

Product General Protocols

Find general support by application which include: protocols, troubleshooting, illustrated assays, videos and webinars.

Video Protocols

WB Video Protocol
ICC/IF Video Protocol

FAQs for NUDT6 Antibody (NBP2-03554) (0)

There are no specific FAQs related to this product. Read our general customer & technical service FAQs.

Customers Who Bought This Also Bought

Contact Information

Product PDFs

Calculators

Concentration Calculator

The concentration calculator allows you to quickly calculate the volume, mass or concentration of your vial. Simply enter your mass, volume, or concentration values for your reagent and the calculator will determine the rest.

=
÷

Review this Product

Be the first to review our NUDT6 Antibody (OTI9D12) and receive a gift card or discount.

Bioinformatics

Gene Symbol NUDT6
Entrez