NPBWR1 Antibody

Images

 
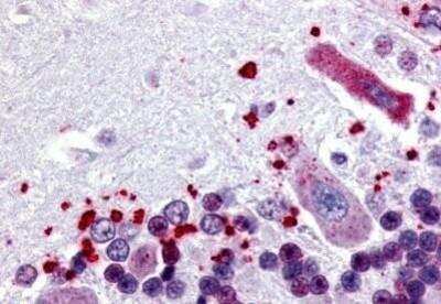
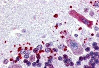
Immunohistochemistry-Paraffin: NPBWR1 Antibody [NB100-59035] - Analysis of anti-NPBWR1 antibody with human brain, cerebellum at concentration 20 ug/ml.

Product Details

Summary
Product Discontinued
View other related NPBWR1 Primary Antibodies

Order Details


    • Catalog Number
      NB100-59035
    • Availability
      Product Discontinued

    Can't find what you are looking for? Use our Antibody Concierge Service & we will help you locate your antibody!

    Or feel free to contact us for alternative products.

NPBWR1 Antibody Summary

Immunogen
Synthetic 20 amino acid peptide from 3rd cytoplasmic domain of human NPBWR1.
Specificity
Human NPBWR1. BLAST analysis of the peptide immunogen showed no homology with other human proteins.
Predicted Species
Primate (95%), Monkey (95%). Backed by our 100% Guarantee.
Isotype
IgG
Clonality
Polyclonal
Host
Rabbit
Gene
NPBWR1
Purity
Immunogen affinity purified
Innovator's Reward
Test in a species/application not listed above to receive a full credit towards a future purchase.

Applications/Dilutions

Dilutions
  • ELISA 1:100 - 1:2000
  • Immunohistochemistry
  • Immunohistochemistry-Paraffin 20 ug/ml
Control
NPBWR1 Overexpression Lysate

Reactivity Notes

Predicted cross-reactivity based on sequence identity: Gibbon (100%), Marmoset (100%), Gorilla (95%), Bovine (85%), Rabbit (85%), Opossum (85%), Mouse (80%), Rat (80%), Equine (80%).

Packaging, Storage & Formulations

Storage
Store at 4C short term. Aliquot and store at -20C long term. Avoid freeze-thaw cycles.
Buffer
PBS
Preservative
0.1% Sodium Azide
Concentration
1.0 mg/ml
Purity
Immunogen affinity purified

Alternate Names for NPBWR1 Antibody

  • G protein-coupled receptor 7
  • GPR7 neuropeptides B/W receptor type 1
  • GPR7
  • G-protein coupled receptor 7
  • MGC129755
  • neuropeptides B/W receptor 1
  • NPBWR1
  • Opioid-Somatostatin-Like Receptor 7

Background

GPR7 is a Neuropeptide Receptor GPCR. GPR7 is implicated in the regulation of feeding, neuroendorine system, memory, and learning. GPR7 has been reported in brain, mainly cerebellum and frontal cortex, and in the pituitary (O'Dowd et al., 1995). The mouse ortholog of GPR7 was shown by in situ hybridization to be expressed in discrete nuclei of brain, namely suprachiasmatic, arcuate, and ventromedial nuclei of hypothalamus.

Limitations

This product is for research use only and is not approved for use in humans or in clinical diagnosis. Primary Antibodies are guaranteed for 1 year from date of receipt.

Customers Who Viewed This Item Also Viewed...

NBP2-86659
Species: Hu
Applications: WB
NBP3-05567
Species: Hu, Mu
Applications: ICC/IF, WB
NBP2-57337
Species: Hu
Applications: IHC,  IHC-P
NB100-1533
Species: Hu, Mu, Po, Rt, Sh
Applications: Flow, ICC/IF, IHC,  IHC-P, PEP-ELISA, WB
NBP2-37447
Species: Hu
Applications: CyTOF-ready, ELISA, Flow, ICC/IF, IHC,  IHC-P
DKK300
Species: Hu
Applications: ELISA
AF1445
Species: Mu, Rt
Applications: ELISA(Cap), ELISA(Det), ELISA(Sta), IHC, Neut, Simple Western, WB
MAB1417
Species: Bv, Hu, Mu
Applications: ICC, IHC
NBP1-46535
Species: Hu, Mu, Rb, Rt, Xp
Applications: ICC/IF, IHC-FrFl, IHC, IHC-Fr,  IHC-P, WB
H00001392-M02
Species: Hu
Applications: ELISA, IHC,  IHC-P, S-ELISA, WB
AF1067
Species: Hu, Mu, Rt
Applications: ELISA, IHC, Neut, WB
H00059350-M01
Species: Hu, Pm, Mu, Rt
Applications: ELISA, Flow, Func, ICC/IF, IHC,  IHC-P, WB
DLP00
Species: Hu
Applications: ELISA
H00005706-M02
Species: Hu, Mu, Rt
Applications: ELISA, ICC/IF, KD, WB
NLS418
Species: Hu
Applications: IHC,  IHC-P
NLS2756
Species: Hu, Pm
Applications: ICC, IHC,  IHC-P
NBP2-49671
Species: Hu
Applications: ICC/IF, IHC,  IHC-P
NBP2-82026
Species: Hu, Mu, Rt
Applications: ELISA, ICC/IF, IHC,  IHC-P, WB

Publications for NPBWR1 Antibody (NB100-59035) (0)

There are no publications for NPBWR1 Antibody (NB100-59035).
By submitting your publication information earn gift cards and discounts for future purchases.

Reviews for NPBWR1 Antibody (NB100-59035) (0)

There are no reviews for NPBWR1 Antibody (NB100-59035). By submitting a review you will receive an Amazon e-Gift Card or Novus Product Discount.
  • Review with no image -- $10/€7/£6/$10 CAD/¥70 Yuan/¥1110 Yen
  • Review with an image -- $25/€18/£15/$25 CAD/¥150 Yuan/¥2500 Yen

Product General Protocols

Find general support by application which include: protocols, troubleshooting, illustrated assays, videos and webinars.

FAQs for NPBWR1 Antibody (NB100-59035) (0)

There are no specific FAQs related to this product. Read our general customer & technical service FAQs.

Control Lysate(s)

Secondary Antibodies

 

Isotype Controls

Additional NPBWR1 Products

Array NB100-59035

Research Areas for NPBWR1 Antibody (NB100-59035)

Find related products by research area.

Blogs on NPBWR1

There are no specific blogs for NPBWR1, but you can read our latest blog posts.

Contact Information

Product PDFs

Calculators

Concentration Calculator

The concentration calculator allows you to quickly calculate the volume, mass or concentration of your vial. Simply enter your mass, volume, or concentration values for your reagent and the calculator will determine the rest.

=
÷

Review this Product

Be the first to review our NPBWR1 Antibody and receive a gift card or discount.

Bioinformatics

Gene Symbol NPBWR1
Entrez