NONO Antibody (JG87-38)

Images

 
Western Blot: NONO Antibody (JG87-38) [NBP2-75596] - Analysis of p54nrb on 293 (1) and SH-SY-5Y (2) cell lysate using anti-p54nrb antibody at 1/500 dilution.
Immunocytochemistry/ Immunofluorescence: NONO Antibody (JG87-38) [NBP2-75596] - Staining p54nrb in SiHa cells (green). The nuclear counter stain is DAPI (blue). Cells were fixed in paraformaldehyde, permeabilised with ...read more
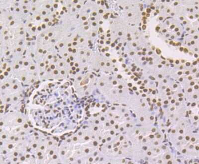
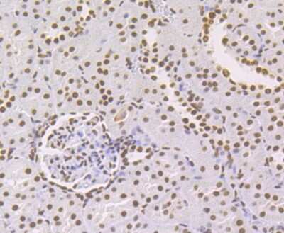
Immunohistochemistry-Paraffin: NONO Antibody (JG87-38) [NBP2-75596] - Analysis of paraffin-embedded rat kidney tissue using anti- p54nrb antibody. Counter stained with hematoxylin.
Immunohistochemistry-Paraffin: NONO Antibody (JG87-38) [NBP2-75596] - Analysis of paraffin-embedded human liver tissue using anti- p54nrb antibody. Counter stained with hematoxylin.
Immunohistochemistry-Paraffin: NONO Antibody (JG87-38) [NBP2-75596] - Analysis of paraffin-embedded human colon tissue using anti- p54nrb antibody. Counter stained with hematoxylin.
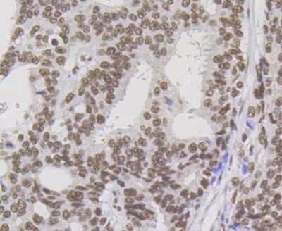
Immunohistochemistry-Paraffin: NONO Antibody (JG87-38) [NBP2-75596] - Analysis of paraffin-embedded human prostate cancer tissue using anti-p54nrb antibody. Counter stained with hematoxylin.
Immunohistochemistry-Paraffin: NONO Antibody (JG87-38) [NBP2-75596] - Analysis of paraffin-embedded mouse testis tissue using anti- p54nrb antibody. Counter stained with hematoxylin.

Product Details

Summary
Product Discontinued
View other related NONO Primary Antibodies

Order Details


    • Catalog Number
      NBP2-75596
    • Availability
      Product Discontinued

    Can't find what you are looking for? Use our Antibody Concierge Service & we will help you locate your antibody!

    Or feel free to contact us for alternative products.

NONO Antibody (JG87-38) Summary

Additional Information
Recombinant Monoclonal Antibody.
Immunogen
Synthetic peptide within Human NONO aa 365-471 / 471. (SwissProt: Q15233 Human; SwissProt: Q99K48 Mouse; SwissProt: Q5FVM4 Rat)
Localization
Nucleus.
Isotype
IgG
Clonality
Monoclonal
Host
Rabbit
Gene
NONO
Purity
Protein A purified
Innovator's Reward
Test in a species/application not listed above to receive a full credit towards a future purchase.

Applications/Dilutions

Dilutions
  • Immunocytochemistry/ Immunofluorescence 1:50
  • Immunohistochemistry
  • Immunohistochemistry-Paraffin 1:50-1:200
  • Western Blot 1:500-1:2000
Theoretical MW
54 kDa.
Disclaimer note: The observed molecular weight of the protein may vary from the listed predicted molecular weight due to post translational modifications, post translation cleavages, relative charges, and other experimental factors.

Packaging, Storage & Formulations

Storage
Store at 4C short term. Aliquot and store at -20C long term. Avoid freeze-thaw cycles.
Buffer
TBS (pH7.4), 0.05% BSA, 40% Glycerol
Preservative
0.05% Sodium Azide
Concentration
1 mg/ml
Purity
Protein A purified

Alternate Names for NONO Antibody (JG87-38)

  • NMT5552 kDa subunit
  • non-POU domain containing, octamer-binding
  • NRB54non-POU-domain-containing, octamer-binding
  • p54(nrb)

Background

Non-POU-domain-containing octamer binding protein (NONO) is a member of the DBHS (drosophila behavior, human splicing) domain-containing family and is an RNA- and DNA- binding protein. NONO and other DBHS domain-containing proteins are multifunctional and are reported to be involved in transcriptional regulation, mRNA processing, and DNA non-homologous end joining (NHEJ). NONO functions as a coregulator of the androgen receptor (AR) and also regulates cAMP transcriptional activity by interacting with gene promoter elements. NONO is also involved in pre-mRNA splicing through an interaction with U5 snRNA and can stimulate DNA nonhomologous end joining (NHEJ) through the interaction with ku70/G22p and ku80/XRCC5 dimers. Alternate names for NONO include 54 kDa nuclear RNA- and DNA-binding protein, p54 (nrb), 55 kDa nuclear protein, NMT55, DNA-binding p52/p100 complex, NRB54, P54, and P54NRB.

Limitations

This product is for research use only and is not approved for use in humans or in clinical diagnosis. Primary Antibodies are guaranteed for 1 year from date of receipt.

Customers Who Viewed This Item Also Viewed...

NBP2-20329
Species: Hu, Mu
Applications: ICC/IF, IHC,  IHC-P, IP, WB
NB100-74360
Species: Hu, Mu
Applications: ChIP, ICC/IF, IHC, IHC-Fr,  IHC-P, IP, WB
MAB17761
Species: Hu, Mu, Rt
Applications: ICC, WB
AF1230
Species: Hu, Mu, Rt
Applications: IHC, KO, WB
NB200-191
Species: Ha, Hu, Mu
Applications: ICC/IF, IHC,  IHC-P, IP, WB
NBP2-67471
Species: Hu, Mu, Rt
Applications: ICC/IF, IHC,  IHC-P, WB
NBP1-83801
Species: Hu, Mu, Rt
Applications: ICC/IF, IHC, IHC-Fr,  IHC-P, WB
DYC1825-2
Species: Hu, Mu, Rt
Applications: ELISA
H00080122-M01
Species: Hu
Applications: ELISA, ICC/IF
NBP1-92392
Species: Hu, Mu, Rt
Applications: ICC/IF, IHC,  IHC-P, WB
MAB1846
Species: Hu, Mu, Rt
Applications: ICC, KO, WB
H00005706-M02
Species: Hu, Mu, Rt
Applications: ELISA, ICC/IF, KD, WB
AF8691
Species: Hu, Mu, Rt
Applications: IHC, KO, Simple Western, WB
AF467
Species: Hu, Mu
Applications: CyTOF-ready, Flow, ICC, IHC, Simple Western, WB
NBP2-88921
Species: Hu
Applications: ICC/IF, IHC,  IHC-P, WB
NBP1-68874
Species: Hu, Mu, Rt
Applications: PEP-ELISA, WB
NBP2-37568
Species: Hu
Applications: ELISA, Flow, ICC/IF, IHC,  IHC-P, WB
NBP2-00764
Species: Hu, Mu, Rt
Applications: Flow, IHC,  IHC-P, WB

Publications for NONO Antibody (NBP2-75596) (0)

There are no publications for NONO Antibody (NBP2-75596).
By submitting your publication information earn gift cards and discounts for future purchases.

Reviews for NONO Antibody (NBP2-75596) (0)

There are no reviews for NONO Antibody (NBP2-75596). By submitting a review you will receive an Amazon e-Gift Card or Novus Product Discount.
  • Review with no image -- $10/€7/£6/$10 CAD/¥70 Yuan/¥1110 Yen
  • Review with an image -- $25/€18/£15/$25 CAD/¥150 Yuan/¥2500 Yen

Product General Protocols

Find general support by application which include: protocols, troubleshooting, illustrated assays, videos and webinars.

Video Protocols

WB Video Protocol
ICC/IF Video Protocol

FAQs for NONO Antibody (NBP2-75596) (0)

There are no specific FAQs related to this product. Read our general customer & technical service FAQs.

Secondary Antibodies

 

Isotype Controls

Additional NONO Products

Research Areas for NONO Antibody (NBP2-75596)

Find related products by research area.

Blogs on NONO

There are no specific blogs for NONO, but you can read our latest blog posts.

Contact Information

Product PDFs

Calculators

Concentration Calculator

The concentration calculator allows you to quickly calculate the volume, mass or concentration of your vial. Simply enter your mass, volume, or concentration values for your reagent and the calculator will determine the rest.

=
÷

Review this Product

Be the first to review our NONO Antibody (JG87-38) and receive a gift card or discount.

Bioinformatics

Gene Symbol NONO