NONO Antibody (78-1 C)

Images

 
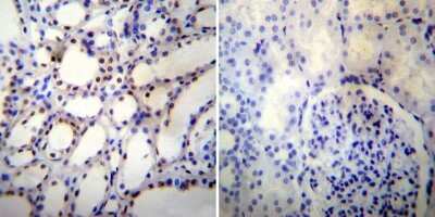
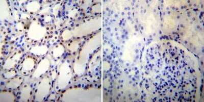
Immunohistochemistry-Paraffin: NONO Antibody (78-1 C) [NB100-74478] - Both normal and cancer biopsies of deparaffinized human Kidney tissue.
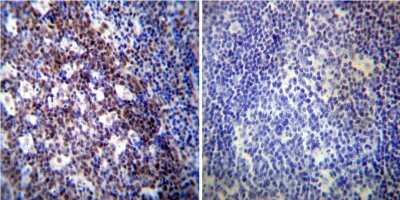
Immunohistochemistry-Paraffin: NONO Antibody (78-1 C) [NB100-74478] - Both normal and cancer biopsies of deparaffinized human Tonsil tissue.
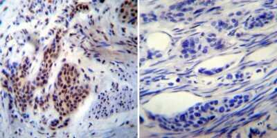
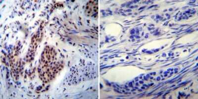
Immunohistochemistry-Paraffin: NONO Antibody (78-1 C) [NB100-74478] - Both normal and cancer biopsies of deparaffinized human Bladder carcinoma tissue.

Product Details

Summary
Product Discontinued
View other related NONO Primary Antibodies

Order Details


    • Catalog Number
      NB100-74478
    • Availability
      Product Discontinued

    Can't find what you are looking for? Use our Antibody Concierge Service & we will help you locate your antibody!

    Or feel free to contact us for alternative products.

NONO Antibody (78-1 C) Summary

Immunogen
Synthetic peptide corresponding to residues T(140) V R E A G P P A F Y R P N S(154) of human ER alpha.
Localization
Nuclear
Specificity
nmt55 / p54nrb (78-1 C)
Isotype
IgG1
Clonality
Monoclonal
Host
Mouse
Gene
NONO
Purity
Unpurified
Innovator's Reward
Test in a species/application not listed above to receive a full credit towards a future purchase.

Applications/Dilutions

Dilutions
  • Immunocytochemistry/ Immunofluorescence 1:10-1:500
  • Immunohistochemistry 1:200
  • Immunohistochemistry-Paraffin 1:10 - 1:500
  • Immunoprecipitation 1:10 - 1:500
  • Western Blot 1:1000
Control
NONO Overexpression Lysate

Packaging, Storage & Formulations

Storage
Store at -20C. Avoid freeze-thaw cycles.
Buffer
Ascites
Preservative
0.05% Sodium Azide
Purity
Unpurified

Alternate Names for NONO Antibody (78-1 C)

  • NMT5552 kDa subunit
  • non-POU domain containing, octamer-binding
  • NRB54non-POU-domain-containing, octamer-binding
  • p54(nrb)

Background

Nmt55/p54nrb is an RNA binding protein that has been implicated in multiple cellular functions such as regulation of cell division as well as cancer biology. Expression of this protein has been found to be decreased in some human breast tumors, and has been studied as a relevant tumor marker. It has been found, that decreased nmt55/p54nrb expression in Estrogen Receptor (ER) negative human breast tumors or the expression of nmt55/p54nrb variants in ER positive tumors may indicate the loss of normal growth. It is possible that nmt55/p54nrb acts as a pre-mRNA splicing factor affecting the structure and function of hERalpha.

Limitations

This product is for research use only and is not approved for use in humans or in clinical diagnosis. Primary Antibodies are guaranteed for 1 year from date of receipt.

Customers Who Viewed This Item Also Viewed...

NBP2-20329
Species: Hu, Mu
Applications: ICC/IF, IHC,  IHC-P, IP, WB
NB100-74360
Species: Hu, Mu
Applications: ChIP, ICC/IF, IHC, IHC-Fr,  IHC-P, IP, WB
MAB17761
Species: Hu, Mu, Rt
Applications: ICC, WB
AF1230
Species: Hu, Mu, Rt
Applications: IHC, KO, WB
NB200-191
Species: Ha, Hu, Mu
Applications: ICC/IF, IHC,  IHC-P, IP, WB
NBP2-67471
Species: Hu, Mu, Rt
Applications: ICC/IF, IHC,  IHC-P, WB
NBP1-83801
Species: Hu, Mu, Rt
Applications: ICC/IF, IHC, IHC-Fr,  IHC-P, WB
DYC1825-2
Species: Hu, Mu, Rt
Applications: ELISA
H00080122-M01
Species: Hu
Applications: ELISA, ICC/IF
NBP1-92392
Species: Hu, Mu, Rt
Applications: ICC/IF, IHC,  IHC-P, WB
MAB1846
Species: Hu, Mu, Rt
Applications: ICC, KO, WB
H00005706-M02
Species: Hu, Mu, Rt
Applications: ELISA, ICC/IF, KD, WB
AF8691
Species: Hu, Mu, Rt
Applications: IHC, KO, Simple Western, WB
AF467
Species: Hu, Mu
Applications: CyTOF-ready, Flow, ICC, IHC, Simple Western, WB
NBP2-88921
Species: Hu
Applications: ICC/IF, IHC,  IHC-P, WB
NBP1-68874
Species: Hu, Mu, Rt
Applications: PEP-ELISA, WB
NBP2-37568
Species: Hu
Applications: ELISA, Flow, ICC/IF, IHC,  IHC-P, WB
NBP2-00764
Species: Hu, Mu, Rt
Applications: Flow, IHC,  IHC-P, WB

Publications for NONO Antibody (NB100-74478) (0)

There are no publications for NONO Antibody (NB100-74478).
By submitting your publication information earn gift cards and discounts for future purchases.

Reviews for NONO Antibody (NB100-74478) (0)

There are no reviews for NONO Antibody (NB100-74478). By submitting a review you will receive an Amazon e-Gift Card or Novus Product Discount.
  • Review with no image -- $10/€7/£6/$10 CAD/¥70 Yuan/¥1110 Yen
  • Review with an image -- $25/€18/£15/$25 CAD/¥150 Yuan/¥2500 Yen

Product General Protocols

Find general support by application which include: protocols, troubleshooting, illustrated assays, videos and webinars.

Video Protocols

WB Video Protocol
ICC/IF Video Protocol

FAQs for NONO Antibody (NB100-74478) (0)

There are no specific FAQs related to this product. Read our general customer & technical service FAQs.

Control Lysate(s)

Secondary Antibodies

 

Isotype Controls

Additional NONO Products

Research Areas for NONO Antibody (NB100-74478)

Find related products by research area.

Blogs on NONO

There are no specific blogs for NONO, but you can read our latest blog posts.

Contact Information

Product PDFs

Calculators

Concentration Calculator

The concentration calculator allows you to quickly calculate the volume, mass or concentration of your vial. Simply enter your mass, volume, or concentration values for your reagent and the calculator will determine the rest.

=
÷

Review this Product

Be the first to review our NONO Antibody (78-1 C) and receive a gift card or discount.

Bioinformatics

Gene Symbol NONO
Entrez