Nogo Antibody (JM02-34)

Images

 
Western Blot: Nogo Antibody (JM02-34) [NBP2-75595] - Western blot analysis of Nogo on mouse skeletal muscle tissue lysates. Proteins were transferred to a PVDF membrane and blocked with 5% BSA in PBS for 1 hour at room ...read more
Immunocytochemistry/ Immunofluorescence: Nogo Antibody (JM02-34) [NBP2-75595] - Staining Nogo in SH-SY5Y cells (green). The nuclear counter stain is DAPI (blue). Cells were fixed in paraformaldehyde, permeabilised with ...read more
Immunohistochemistry-Paraffin: Nogo Antibody (JM02-34) [NBP2-75595] - Immunohistochemical analysis of paraffin-embedded mouse brain tissue using anti-Nogo antibody. The section was pre-treated using heat mediated ...read more
Flow Cytometry: Nogo Antibody (JM02-34) [NBP2-75595] - Flow cytometric analysis of Nogo was done on HeLa cells. The cells were fixed, permeabilized and stained with the primary antibody at 1:50 (red). After incubation ...read more
Western Blot: Nogo Antibody (JM02-34) [NBP2-75595] - Western blot analysis of Nogo on HeLa cell lysates. Proteins were transferred to a PVDF membrane and blocked with 5% BSA in PBS for 1 hour at room temperature. The ...read more
Immunocytochemistry/ Immunofluorescence: Nogo Antibody (JM02-34) [NBP2-75595] - Staining Nogo in A549 cells (green). The nuclear counter stain is DAPI (blue). Cells were fixed in paraformaldehyde, permeabilised with ...read more
Immunocytochemistry/ Immunofluorescence: Nogo Antibody (JM02-34) [NBP2-75595] - Staining Nogo in HepG2 cells (green). The nuclear counter stain is DAPI (blue). Cells were fixed in paraformaldehyde, permeabilised with ...read more
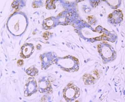
Immunohistochemistry-Paraffin: Nogo Antibody (JM02-34) [NBP2-75595] - Immunohistochemical analysis of paraffin-embedded human breast tissue using anti-Nogo antibody. The section was pre-treated using heat mediated ...read more
Immunohistochemistry-Paraffin: Nogo Antibody (JM02-34) [NBP2-75595] - Immunohistochemical analysis of paraffin-embedded human fetal skeletal muscle tissue using anti-Nogo antibody. The section was pre-treated using heat ...read more
Immunohistochemistry-Paraffin: Nogo Antibody (JM02-34) [NBP2-75595] - Immunohistochemical analysis of paraffin-embedded mouse testis tissue using anti-Nogo antibody. The section was pre-treated using heat mediated ...read more

Product Details

Summary
Product Discontinued
View other related Nogo Primary Antibodies

Order Details


    • Catalog Number
      NBP2-75595
    • Availability
      Product Discontinued

    Can't find what you are looking for? Use our Antibody Concierge Service & we will help you locate your antibody!

    Or feel free to contact us for alternative products.

Nogo Antibody (JM02-34) Summary

Additional Information
Recombinant Monoclonal Antibody.
Immunogen
Synthetic peptide within Human Nogo aa 111-160 / 1192. (SwissProt: Q9NQC3 Human; SwissProt: Q99P72 Mouse)
Localization
Endoplasmic reticulum membrane.
Isotype
IgG
Clonality
Monoclonal
Host
Rabbit
Gene
RTN4
Purity
Protein A purified
Innovator's Reward
Test in a species/application not listed above to receive a full credit towards a future purchase.

Applications/Dilutions

Dilutions
  • Flow Cytometry 1:50-1:100
  • Immunocytochemistry/ Immunofluorescence 1:50-1:200
  • Immunohistochemistry
  • Immunohistochemistry-Paraffin 1:50-1:200
  • Immunoprecipitation 1:10-1:50
  • Western Blot 1:500-1:2000
Application Notes
For IHC-P, antigen retrieval with Tris-EDTA buffer (pH 9.0) for 20 minutes is recommended. For ICC/IF, it is recommended to fix and permeabilize cells with 0.1% Triton X-100 in TBS for 10 minutes at room temperature.

Packaging, Storage & Formulations

Storage
Store at 4C short term. Aliquot and store at -20C long term. Avoid freeze-thaw cycles.
Buffer
TBS (pH7.4), 0.05% BSA, 40% Glycerol
Preservative
0.05% Sodium Azide
Concentration
1 mg/ml
Purity
Protein A purified

Alternate Names for Nogo Antibody (JM02-34)

  • ASY
  • foocen
  • Human NogoA
  • KIAA0886
  • My043 protein
  • Nbla00271
  • Nbla10545
  • neurite growth inhibitor 220
  • Neurite outgrowth inhibitor
  • Neuroendocrine-specific protein C homolog
  • Neuroendocrine-specific protein
  • NI220/250
  • Nogo protein
  • NOGO-A
  • Nogo-B
  • NOGOC
  • Nogo-C
  • NOGORTN4-B1
  • NSP
  • NSP-CL
  • reticulon 4
  • reticulon 5
  • reticulon-4
  • reticulon-5
  • RTN4-A
  • RTN4-B2
  • RTN4-C
  • RTN-x

Background

Neurite Outgrowth Inhibitor (NOGO) is a myelin associated neurite growth inhibitor found in oligodendrocyte and central nervous system (CNS) myelin membranes of the adult CNS. NOGO plays a role in blocking axonal regeneration in the CNS of higher vertebrates. At least 6 isoforms have been observed arising from alternative splicing. NOGO-A (Isoform 1) is specifically expressed in brain and testes and weakly expressed in heart and skeletal muscle.

Limitations

This product is for research use only and is not approved for use in humans or in clinical diagnosis. Primary Antibodies are guaranteed for 1 year from date of receipt.

Customers Who Viewed This Item Also Viewed...

538-MG
Species: Rt
Applications: BA
AF1674
Species: Mu
Applications: WB
H00004340-B01P
Species: Hu, Rt
Applications: WB
NBP1-32870
Species: Ch, Hu
Applications: IHC,  IHC-P, IP, KD, WB
NBP1-88871
Species: Hu
Applications: ICC/IF, IHC,  IHC-P
NBP2-01264
Species: Hu, Mu, Rt
Applications: Flow, ICC/IF, IHC,  IHC-P, WB
NBP2-13943
Species: Hu
Applications: ICC/IF, IHC,  IHC-P
NBP1-97677
Species: Ha, Hu, Mu, Rt
Applications: ICC/IF, IHC, IHC-Fr,  IHC-P, WB
NBP1-84957
Species: Hu
Applications: IHC,  IHC-P, WB
H00000518-P01
Species: Hu
Applications: ELISA, AP, PA, WB
MAB4077
Species: Hu
Applications: IHC, WB
AF1157
Species: Mu
Applications: IHC, WB
NBP1-85010
Species: Hu
Applications: IHC,  IHC-P
DBD00
Species: Hu
Applications: ELISA
NB100-91273
Species: Hu, Mu, Pm, Rt
Applications: ICC/IF, IHC,  IHC-P, WB
H00001523-M01
Species: Hu, Mu, Rt
Applications: ELISA, ICC/IF, IHC,  IHC-P, IP, WB
NBP2-75595
Species: Hu, Mu
Applications: WB, Flow, ICC/IF, IHC, IP

Publications for Nogo Antibody (NBP2-75595) (0)

There are no publications for Nogo Antibody (NBP2-75595).
By submitting your publication information earn gift cards and discounts for future purchases.

Reviews for Nogo Antibody (NBP2-75595) (0)

There are no reviews for Nogo Antibody (NBP2-75595). By submitting a review you will receive an Amazon e-Gift Card or Novus Product Discount.
  • Review with no image -- $10/€7/£6/$10 CAD/¥70 Yuan/¥1110 Yen
  • Review with an image -- $25/€18/£15/$25 CAD/¥150 Yuan/¥2500 Yen

Product General Protocols

Video Protocols

WB Video Protocol
ICC/IF Video Protocol

FAQs for Nogo Antibody (NBP2-75595) (0)

There are no specific FAQs related to this product. Read our general customer & technical service FAQs.

Secondary Antibodies

 

Isotype Controls

Additional Nogo Products

Research Areas for Nogo Antibody (NBP2-75595)

Find related products by research area.

Blogs on Nogo.

Nogo: A Promising Target for New Gene Therapies
Nogo is a neurite outgrowth inhibitor protein that plays an important role during central nervous system (CNS) development as well as in endoplasmic reticulum signaling regulation. Studies using Nogo antibodies have revealed Nogo proteins regulate ...  Read full blog post.

Contact Information

Product PDFs

Calculators

Concentration Calculator

The concentration calculator allows you to quickly calculate the volume, mass or concentration of your vial. Simply enter your mass, volume, or concentration values for your reagent and the calculator will determine the rest.

=
÷

Review this Product

Be the first to review our Nogo Antibody (JM02-34) and receive a gift card or discount.

Bioinformatics

Gene Symbol RTN4