NLRC3 Antibody

Images

 
Immunocytochemistry/ Immunofluorescence: NLRC3 Antibody [NBP2-75594] - Staining NLRC3 in MCF-7 cells (green). The nuclear counter stain is DAPI (blue). Cells were fixed in paraformaldehyde, permeabilised with 0.25% ...read more
Immunohistochemistry-Paraffin: NLRC3 Antibody [NBP2-75594] - Analysis of paraffin-embedded mouse colon tissue using anti-NLRC3 antibody. Counter stained with hematoxylin.
Flow Cytometry: NLRC3 Antibody [NBP2-75594] - Analysis of MCF-7 cells with NLRC3 antibody at 1/100 dilution (red) compared with an unlabelled control (cells without incubation with primary antibody; black).
Immunocytochemistry/ Immunofluorescence: NLRC3 Antibody [NBP2-75594] - Staining NLRC3 in SH-SY5Y cells (green). The nuclear counter stain is DAPI (blue). Cells were fixed in paraformaldehyde, permeabilised with 0.25% ...read more
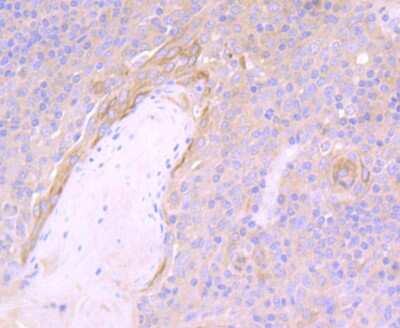
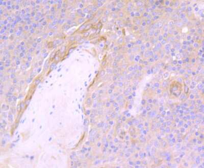
Immunohistochemistry-Paraffin: NLRC3 Antibody [NBP2-75594] - Analysis of paraffin-embedded human tonsil tissue using anti-NLRC3 antibody. Counter stained with hematoxylin.
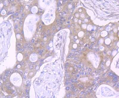
Immunohistochemistry-Paraffin: NLRC3 Antibody [NBP2-75594] - Analysis of paraffin-embedded human colon cancer tissue using anti-NLRC3 antibody. Counter stained with hematoxylin.
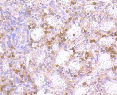
Immunohistochemistry-Paraffin: NLRC3 Antibody [NBP2-75594] - Analysis of paraffin-embedded human spleen tissue using anti-NLRC3 antibody. Counter stained with hematoxylin.

Product Details

Summary
Product Discontinued
View other related NLRC3 Primary Antibodies

Order Details


    • Catalog Number
      NBP2-75594
    • Availability
      Product Discontinued

    Can't find what you are looking for? Use our Antibody Concierge Service & we will help you locate your antibody!

    Or feel free to contact us for alternative products.

NLRC3 Antibody Summary

Immunogen
Synthetic peptide within Human NLRC3 aa 985-1,034 / 1,065. (SwissProt: Q7RTR2 Human; SwissProt: Q5DU56 Mouse)
Localization
Cytoplasm.
Isotype
IgG
Clonality
Polyclonal
Host
Rabbit
Gene
NLRC3
Purity
Immunogen affinity purified
Innovator's Reward
Test in a species/application not listed above to receive a full credit towards a future purchase.

Applications/Dilutions

Dilutions
  • Flow Cytometry 1:50-1:100
  • Immunocytochemistry/ Immunofluorescence 1:50-1:200
  • Immunohistochemistry
  • Immunohistochemistry-Paraffin 1:50-1:200
Theoretical MW
114 kDa.
Disclaimer note: The observed molecular weight of the protein may vary from the listed predicted molecular weight due to post translational modifications, post translation cleavages, relative charges, and other experimental factors.

Packaging, Storage & Formulations

Storage
Store at 4C short term. Aliquot and store at -20C long term. Avoid freeze-thaw cycles.
Buffer
PBS (pH7.4), 0.2% BSA, 50% Glycerol
Preservative
0.05% Sodium Azide
Concentration
1 mg/ml
Purity
Immunogen affinity purified

Alternate Names for NLRC3 Antibody

  • CARD15-Like Protein
  • Caterpiller Protein 16.2
  • CLR16.2
  • Leucine Rich Repeat And CARD Domain Containing 3
  • NLR Family, CARD Domain Containing 3
  • NOD3
  • NOD-Like Receptor C3
  • Nucleotide-Binding Oligomerization Domain Protein 3
  • Nucleotide-Binding Oligomerization Domain, Leucine Rich Repeat And CARD Domain Containing 3
  • Protein NLRC3

Limitations

This product is for research use only and is not approved for use in humans or in clinical diagnosis. Primary Antibodies are guaranteed for 1 year from date of receipt.

Customers Who Viewed This Item Also Viewed...

NBP1-76293
Species: Hu, Mu, Rt, V-Vi
Applications: ELISA, ICC/IF, IHC,  IHC-P, WB
NB100-56155
Species: Hu
Applications: IHC,  IHC-P, IP, WB
NBP1-90044
Species: Hu
Applications: ICC/IF, IHC,  IHC-P, WB
NB100-524
Species: Hu, Mu
Applications: Flow-IC, Flow, ICC/IF, IHC, IHC-Fr,  IHC-P, IP, WB
NBP2-27198
Species: Eq, Hu, Pm, Mu, Rt
Applications: IHC,  IHC-P, WB
NB100-56152
Species: Hu
Applications: ICC/IF, IHC,  IHC-P, IP, WB
NBP1-77129
Species: Hu, Mu
Applications: ELISA, ICC/IF, IHC,  IHC-P, WB
DR2A00
Species: Hu
Applications: ELISA
202-IL
Species: Hu
Applications: BA
H00003669-M01
Species: Hu
Applications: ELISA, ICC/IF, S-ELISA, WB
NBP2-50037
Species: Hu, Mu, Rt
Applications: ICC/IF, IHC, KO, WB
AF2214
Species: Hu
Applications: ICC, IHC, WB
NB100-56507
Species: Hu, Mu, Rt
Applications: CyTOF-ready, Flow, ICC/IF, IHC,  IHC-P, IP, KO, Simple Western, WB
NB100-56583
Species: Hu, Rb, Rt
Applications: Flow, IHC,  IHC-P, KO, Simple Western, WB
NBP1-92204
Species: Hu
Applications: IHC,  IHC-P, KD, WB
NBP1-84533
Species: Hu
Applications: ICC/IF, IHC,  IHC-P, WB
NBP1-88016
Species: Hu, Rt
Applications: IHC,  IHC-P, WB
NBP2-75594
Species: Hu, Mu
Applications: Flow, ICC/IF, IHC

Publications for NLRC3 Antibody (NBP2-75594) (0)

There are no publications for NLRC3 Antibody (NBP2-75594).
By submitting your publication information earn gift cards and discounts for future purchases.

Reviews for NLRC3 Antibody (NBP2-75594) (0)

There are no reviews for NLRC3 Antibody (NBP2-75594). By submitting a review you will receive an Amazon e-Gift Card or Novus Product Discount.
  • Review with no image -- $10/€7/£6/$10 CAD/¥70 Yuan/¥1110 Yen
  • Review with an image -- $25/€18/£15/$25 CAD/¥150 Yuan/¥2500 Yen

Product General Protocols

Find general support by application which include: protocols, troubleshooting, illustrated assays, videos and webinars.

Video Protocols

ICC/IF Video Protocol

FAQs for NLRC3 Antibody (NBP2-75594) (0)

There are no specific FAQs related to this product. Read our general customer & technical service FAQs.

Contact Information

Product PDFs

Calculators

Concentration Calculator

The concentration calculator allows you to quickly calculate the volume, mass or concentration of your vial. Simply enter your mass, volume, or concentration values for your reagent and the calculator will determine the rest.

=
÷

Review this Product

Be the first to review our NLRC3 Antibody and receive a gift card or discount.

Bioinformatics

Gene Symbol NLRC3