NFkB p105/p50 Antibody (SZ20-01)

Images

 
Western Blot: NFkB p105/p50 Antibody (SZ20-01) [NBP2-67356] - Western blot analysis of NFkB p105/p50 on different lysates. Proteins were transferred to a PVDF membrane and blocked with 5% BSA in PBS for 1 hour at room ...read more
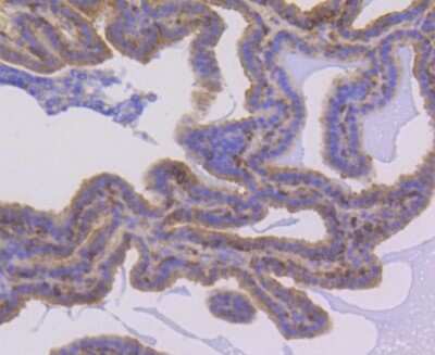
Immunohistochemistry-Paraffin: NFkB p105/p50 Antibody (SZ20-01) [NBP2-67356] - Immunohistochemical analysis of paraffin-embedded mouse bladder tissue using anti-NFkB p105/p50 antibody. The section was pre-treated using ...read more
Western Blot: NFkB p105/p50 Antibody (SZ20-01) [NBP2-67356] - Analysis of NFkB p105/p50 on different lysates using anti-NFkB p105/p50 antibody at 1/1,000 dilution. Positive control: Lane 1: PC-12 Lane 2: NIH/3T3 Lane 3: ...read more
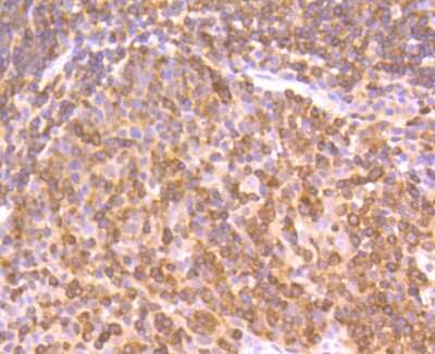
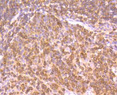
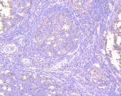
Immunohistochemistry-Paraffin: NFkB p105/p50 Antibody (SZ20-01) [NBP2-67356] - Analysis of paraffin-embedded human tonsil tissue using anti-NFkB p105/p50 antibody. Counter stained with hematoxylin.
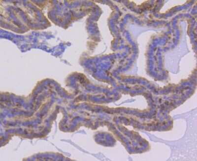
Immunohistochemistry-Paraffin: NFkB p105/p50 Antibody (SZ20-01) [NBP2-67356] - Analysis of paraffin-embedded mouse prostate tissue using anti-NFkB p105/p50 antibody. Counter stained with hematoxylin.
Immunohistochemistry-Paraffin: NFkB p105/p50 Antibody (SZ20-01) [NBP2-67356] - Immunohistochemical analysis of paraffin-embedded human breast carcinoma tissue using anti-NFkB p105/p50 antibody. The section was ...read more
Immunohistochemistry-Paraffin: NFkB p105/p50 Antibody (SZ20-01) [NBP2-67356] - Immunohistochemical analysis of paraffin-embedded human spleen tissue using anti-NFkB p105/p50 antibody. The section was pre-treated using ...read more
Immunohistochemistry-Paraffin: NFkB p105/p50 Antibody (SZ20-01) [NBP2-67356] - Immunohistochemical analysis of paraffin-embedded human tonsil tissue using anti-NFkB p105/p50 antibody. The section was pre-treated using ...read more

Product Details

Summary
Product Discontinued
View other related NFkB p105/p50 Primary Antibodies

Order Details


    • Catalog Number
      NBP2-67356
    • Availability
      Product Discontinued

    Can't find what you are looking for? Use our Antibody Concierge Service & we will help you locate your antibody!

    Or feel free to contact us for alternative products.

NFkB p105/p50 Antibody (SZ20-01) Summary

Additional Information
Recombinant Monoclonal Antibody.
Immunogen
Synthetic peptide within human NFkB p105/p50 aa 330-370. (SwissProt: P19838 Human; SwissProt: P25799 Mouse; SwissProt: Q63369 Rat)
Localization
Cytoplasm, Nucleus.
Isotype
IgG
Clonality
Monoclonal
Host
Rabbit
Gene
NFKB1
Purity
Protein A purified
Innovator's Reward
Test in a species/application not listed above to receive a full credit towards a future purchase.

Applications/Dilutions

Dilutions
  • Immunohistochemistry
  • Immunohistochemistry-Paraffin 1:50-1:200
  • Western Blot 1:1000-1:5000

Packaging, Storage & Formulations

Storage
Store at 4C short term. Aliquot and store at -20C long term. Avoid freeze-thaw cycles.
Buffer
TBS (pH7.4), 0.05% BSA, 40% Glycerol
Preservative
0.05% Sodium Azide
Concentration
1 mg/ml
Purity
Protein A purified

Alternate Names for NFkB p105/p50 Antibody (SZ20-01)

  • DKFZp686C01211
  • DNA binding factor KBF1
  • DNA-binding factor KBF1
  • EBP-1
  • KBF1
  • NF-kappaB
  • NF-kappa-B
  • NF-kappabeta
  • NFKB-p105
  • NFKB-p50
  • nuclear factor kappa-B DNA binding subunit
  • nuclear factor NF-kappa-B p105 subunit
  • nuclear factor NF-kappa-B p50 subunit
  • nuclear factor of kappa light polypeptide gene enhancer in B-cells 1MGC54151
  • p105
  • p50

Background

NFkB is a transcription regulator that is activated by various intra and extra cellular stimuli such as cytokines, oxidant free radicals, ultraviolet irradiation, and bacterial or viral products. NFkB is a family of transcription factors that consists of homo and heterodimers of NFkB1/p50 and RelA/p65 subunits, and controls a variety of cellular events including development and immune responses. All members share a conserved amino terminus domain that includes dimerization, nuclear localization, and DNA binding regions, and a carboxy terminal transactivation domain. Serines 529 and 536 in the transactivation domain of RelA/p65 are phosphorylated in response to several stimuli including phorbol ester, IL1 alpha and TNF alpha as mediated by IkB kinase and p38 MAPK. Serine 529 is located in a negatively charged region (amino acids 422-540) that is phosphorylated in response to phorbol myristate acetate plus calcium ionophore activation. Phosphorylation of serines 529 and 536 is critical for RelA/p65 transcriptional activity. Activated NFkB translocates into the nucleus and stimulates the expression of genes involved in a wide variety of biological functions. Inappropriate activation of NFkB has been associated with a number of inflammatory diseases while persistent inhibition of NFkB leads to inappropriate immune cell development or delayed cell growth.

Limitations

This product is for research use only and is not approved for use in humans or in clinical diagnosis. Primary Antibodies are guaranteed for 1 year from date of receipt.

Customers Who Viewed This Item Also Viewed...

NB100-2176
Species: Hu, Mu, Rt
Applications: ChIP, ICC/IF, IHC,  IHC-P, IP, WB
MAB4364
Species: Rt
Applications: ICC, IHC, IP, KO, WB
AF2849
Species: Mu, Rt
Applications: WB
NBP2-02665
Species: Ca, Hu, Pm, Po, Pm, Rt
Applications: Flow, ICC/IF, IHC,  IHC-P, WB
NBP2-67471
Species: Hu, Mu, Rt
Applications: ICC/IF, IHC,  IHC-P, WB
M6000B
Species: Mu
Applications: ELISA
AF1230
Species: Hu, Mu, Rt
Applications: IHC, KO, WB
NBP2-50037
Species: Hu, Mu, Rt
Applications: ICC/IF, IHC, KO, WB
NB100-56507
Species: Hu, Mu, Rt
Applications: CyTOF-ready, Flow, ICC/IF, IHC,  IHC-P, IP, KO, Simple Western, WB
NB300-605
Species: Hu, Mu, Po, Rt
Applications: Flow, IB, ICC/IF, IHC, IHC-Fr,  IHC-P, In vitro, WB
AF2214
Species: Hu
Applications: ICC, IHC, WB
NBP1-89544
Species: Hu
Applications: ChIP-EXO-SEQ, ICC/IF, IHC,  IHC-P, WB
NBP3-16602
Species: Hu, Mu, Rt
Applications: IHC,  IHC-P, IP, WB
NB100-56566
Species: Bv, Hu, Ma, Mu, Po, Rt
Applications: B/N, ChIP, CyTOF-ready, DB, Dual ISH-IHC, ELISA(Cap), ELISA, Flow-CS, Flow-IC, Flow, ICC/IF, IHC, IHC-Fr,  IHC-P, In vitro, KD, KO, PAGE, Simple Western, WB
MAB17761
Species: Hu, Mu, Rt
Applications: ICC, WB
NB100-689
Species: Hu, Rt
Applications: IHC, IHC-Fr,  IHC-P, Simple Western, WB
DYC1825-2
Species: Hu, Mu, Rt
Applications: ELISA
AF2699
Species: Mu
Applications: Simple Western, WB
NBP2-67356
Species: Hu, Mu, Rt
Applications: WB, IHC

Publications for NFkB p105/p50 Antibody (NBP2-67356) (0)

There are no publications for NFkB p105/p50 Antibody (NBP2-67356).
By submitting your publication information earn gift cards and discounts for future purchases.

Reviews for NFkB p105/p50 Antibody (NBP2-67356) (0)

There are no reviews for NFkB p105/p50 Antibody (NBP2-67356). By submitting a review you will receive an Amazon e-Gift Card or Novus Product Discount.
  • Review with no image -- $10/€7/£6/$10 CAD/¥70 Yuan/¥1110 Yen
  • Review with an image -- $25/€18/£15/$25 CAD/¥150 Yuan/¥2500 Yen

Product General Protocols

Find general support by application which include: protocols, troubleshooting, illustrated assays, videos and webinars.

Video Protocols

WB Video Protocol

FAQs for NFkB p105/p50 Antibody (NBP2-67356) (0)

There are no specific FAQs related to this product. Read our general customer & technical service FAQs.

Secondary Antibodies

 

Isotype Controls

Additional NFkB p105/p50 Products

Research Areas for NFkB p105/p50 Antibody (NBP2-67356)

Find related products by research area.

Blogs on NFkB p105/p50.

Nuclear Factor kappa B Signaling in the Immune System
Nuclear Factor kappa B (NFkB) binds to the kappa-beta site of the immunoglobulin kappa light chain gene enhancer. Thus NFkB has become one of the widely studied transcription factors in innate and adaptive immune responses. The NFkB family is composed...  Read full blog post.

Contact Information

Product PDFs

Calculators

Concentration Calculator

The concentration calculator allows you to quickly calculate the volume, mass or concentration of your vial. Simply enter your mass, volume, or concentration values for your reagent and the calculator will determine the rest.

=
÷

Review this Product

Be the first to review our NFkB p105/p50 Antibody (SZ20-01) and receive a gift card or discount.

Bioinformatics

Gene Symbol NFKB1