NFkB p105/p50 Antibody (5D10)

Images

 
Western Blot: NFkB p105/p50 Antibody (5D10) [NBP2-22202] - Western blot analysis using NFkB p105/p50 mouse mAb against K562 (1), Jurkat (2), A431 (3), Hela (4), THP-1 (5) and MCF-7 (6) cell lysate.
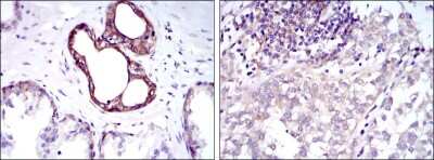
Immunohistochemistry-Paraffin: NFkB p105/p50 Antibody (5D10) [NBP2-22202] - Immunohistochemical analysis of paraffin-embedded prostate tissues (left) and bladder cancer tissues (right) using NFkB p105/p50 mouse mAb with ...read more
Flow Cytometry: NFkB p105/p50 Antibody (5D10) [NBP2-22202] - Flow cytometric analysis of MCF-7 cells using NFkB p105/p50 mouse mAb (green) and negative control (purple).
ELISA: NFkB p105/p50 Antibody (5D10) [NBP2-22202] - Red: Control Antigen (100ng); Purple: Antigen (10ng); Green: Antigen (50ng); Blue: Antigen (100ng)

Product Details

Summary
Product Discontinued
View other related NFkB p105/p50 Primary Antibodies

Order Details


    • Catalog Number
      NBP2-22202
    • Availability
      Product Discontinued

    Can't find what you are looking for? Use our Antibody Concierge Service & we will help you locate your antibody!

    Or feel free to contact us for alternative products.

NFkB p105/p50 Antibody (5D10) Summary

Immunogen
Purified recombinant fragment of human NFKB1 expressed in E. Coli.
Localization
Cytoplasm
Isotype
IgG2a
Clonality
Monoclonal
Host
Mouse
Gene
NFKB1
Purity
Unpurified
Innovator's Reward
Test in a species/application not listed above to receive a full credit towards a future purchase.

Applications/Dilutions

Dilutions
  • ELISA 1:10000
  • Flow Cytometry 1:200-1:400
  • Immunohistochemistry 1:200-1:1000
  • Immunohistochemistry-Paraffin 1:200-1:1000
  • Immunoprecipitation 1:10-1:500
  • Western Blot 1:500-1:2000
Theoretical MW
50/105 kDa.
Disclaimer note: The observed molecular weight of the protein may vary from the listed predicted molecular weight due to post translational modifications, post translation cleavages, relative charges, and other experimental factors.
Publications
Read Publication using NBP2-22202.

Packaging, Storage & Formulations

Storage
Store at 4C short term. Aliquot and store at -20C long term. Avoid freeze-thaw cycles.
Buffer
Ascites
Preservative
0.03% Sodium Azide
Purity
Unpurified

Alternate Names for NFkB p105/p50 Antibody (5D10)

  • DKFZp686C01211
  • DNA binding factor KBF1
  • DNA-binding factor KBF1
  • EBP-1
  • KBF1
  • NF-kappaB
  • NF-kappa-B
  • NF-kappabeta
  • NFKB-p105
  • NFKB-p50
  • nuclear factor kappa-B DNA binding subunit
  • nuclear factor NF-kappa-B p105 subunit
  • nuclear factor NF-kappa-B p50 subunit
  • nuclear factor of kappa light polypeptide gene enhancer in B-cells 1MGC54151
  • p105
  • p50

Background

This gene encodes a 105 kD protein which can undergo cotranslational processing by the 26S proteasome to produce a 50 kD protein. The 105 kD protein is a Rel protein-specific transcription inhibitor and the 50 kD protein is a DNA binding subunit of the NF-kappa-B (NFKB) protein complex. NFKB is a transcription regulator that is activated by various intra- and extra-cellular stimuli such as cytokines, oxidant-free radicals, ultraviolet irradiation, and bacterial or viral products. Activated NFKB translocates into the nucleus and stimulates the expression of genes involved in a wide variety of biological functions. Inappropriate activation of NFKB has been associated with a number of inflammatory diseases while persistent inhibition of NFKB leads to inappropriate immune cell development or delayed cell growth. Two transcript variants encoding different isoforms have been found for this gene.

Limitations

This product is for research use only and is not approved for use in humans or in clinical diagnosis. Primary Antibodies are guaranteed for 1 year from date of receipt.

Customers Who Viewed This Item Also Viewed...

NB100-2176
Species: Hu, Mu, Rt
Applications: ChIP, ICC/IF, IHC,  IHC-P, IP, WB
MAB4364
Species: Rt
Applications: ICC, IHC, IP, KO, WB
AF2849
Species: Mu, Rt
Applications: WB
NBP2-02665
Species: Ca, Hu, Pm, Po, Pm, Rt
Applications: Flow, ICC/IF, IHC,  IHC-P, WB
MAB8930
Species: Hu
Applications: ICC, Simple Western, WB
M6000B
Species: Mu
Applications: ELISA
AF1230
Species: Hu, Mu, Rt
Applications: IHC, KO, WB
NBP2-50037
Species: Hu, Mu, Rt
Applications: ICC/IF, IHC, KO, WB
NB100-56507
Species: Hu, Mu, Rt
Applications: CyTOF-ready, Flow, ICC/IF, IHC,  IHC-P, IP, KO, Simple Western, WB
NB300-605
Species: Hu, Mu, Po, Rt
Applications: Flow, IB, ICC/IF, IHC, IHC-Fr,  IHC-P, In vitro, WB
AF2214
Species: Hu
Applications: ICC, IHC, WB
NBP1-89544
Species: Hu
Applications: ChIP-EXO-SEQ, ICC/IF, IHC,  IHC-P, WB
NBP3-16602
Species: Hu, Mu, Rt
Applications: IHC,  IHC-P, IP, WB
NB100-56566
Species: Bv, Hu, Ma, Mu, Po, Rt
Applications: B/N, ChIP, CyTOF-ready, DB, Dual ISH-IHC, ELISA(Cap), ELISA, Flow-CS, Flow-IC, Flow, ICC/IF, IHC, IHC-Fr,  IHC-P, In vitro, KD, KO, PAGE, Simple Western, WB
MAB17761
Species: Hu, Mu, Rt
Applications: ICC, WB
NB100-689
Species: Hu, Rt
Applications: IHC, IHC-Fr,  IHC-P, Simple Western, WB
NBP2-22203
Species: Hu, Pm, Mu, Rt
Applications: ELISA, Flow, ICC/IF, IHC,  IHC-P, WB
AF2699
Species: Mu
Applications: Simple Western, WB
NBP2-22202
Species: Hu
Applications: WB, ELISA, Flow, IHC, IP

Publications for NFkB p105/p50 Antibody (NBP2-22202)(1)

We have publications tested in 1 confirmed species: Human.


Filter By Application
All Applications
Filter By Species
Human
(1)
All Species

Reviews for NFkB p105/p50 Antibody (NBP2-22202) (0)

There are no reviews for NFkB p105/p50 Antibody (NBP2-22202). By submitting a review you will receive an Amazon e-Gift Card or Novus Product Discount.
  • Review with no image -- $10/€7/£6/$10 CAD/¥70 Yuan/¥1110 Yen
  • Review with an image -- $25/€18/£15/$25 CAD/¥150 Yuan/¥2500 Yen

Product General Protocols

Find general support by application which include: protocols, troubleshooting, illustrated assays, videos and webinars.

Video Protocols

WB Video Protocol

FAQs for NFkB p105/p50 Antibody (NBP2-22202) (0)

There are no specific FAQs related to this product. Read our general customer & technical service FAQs.

Secondary Antibodies

 

Isotype Controls

Additional NFkB p105/p50 Products

Research Areas for NFkB p105/p50 Antibody (NBP2-22202)

Find related products by research area.

Blogs on NFkB p105/p50.

Nuclear Factor kappa B Signaling in the Immune System
Nuclear Factor kappa B (NFkB) binds to the kappa-beta site of the immunoglobulin kappa light chain gene enhancer. Thus NFkB has become one of the widely studied transcription factors in innate and adaptive immune responses. The NFkB family is composed...  Read full blog post.

Contact Information

Product PDFs

Calculators

Concentration Calculator

The concentration calculator allows you to quickly calculate the volume, mass or concentration of your vial. Simply enter your mass, volume, or concentration values for your reagent and the calculator will determine the rest.

=
÷

Review this Product

Be the first to review our NFkB p105/p50 Antibody (5D10) and receive a gift card or discount.

Bioinformatics

Gene Symbol NFKB1