NFATC1/NFAT2 Antibody (JA81-03)

Images

 
Western Blot: NFATC1/NFAT2 Antibody (JA81-03) [NBP2-66973] - Analysis of NFAT2 on K562 cell lysates. Proteins were transferred to a PVDF membrane and blocked with 5% BSA in PBS for 1 hour at room temperature. The ...read more
Immunocytochemistry/ Immunofluorescence: NFATC1/NFAT2 Antibody (JA81-03) [NBP2-66973] - Staining NFAT2 in MCF-7 cells (green). The nuclear counter stain is DAPI (blue). Cells were fixed in paraformaldehyde, ...read more
Immunohistochemistry-Paraffin: NFATC1/NFAT2 Antibody (JA81-03) [NBP2-66973] - Analysis of paraffin-embedded human tonsil tissue using anti-NFAT2 antibody. Counter stained with hematoxylin.
Flow Cytometry: NFATC1/NFAT2 Antibody (JA81-03) [NBP2-66973] - Analysis of Jurkat cells with NFAT2 antibody at 1/100 dilution (red) compared with an unlabelled control (cells without incubation with primary antibody; ...read more
Immunocytochemistry/ Immunofluorescence: NFATC1/NFAT2 Antibody (JA81-03) [NBP2-66973] - Staining NFAT2 in 293T cells (green). The nuclear counter stain is DAPI (blue). Cells were fixed in paraformaldehyde, permeabilised ...read more
Immunocytochemistry/ Immunofluorescence: NFATC1/NFAT2 Antibody (JA81-03) [NBP2-66973] - Staining NFAT2 in Hela cells (green). The nuclear counter stain is DAPI (blue). Cells were fixed in paraformaldehyde, permeabilised ...read more
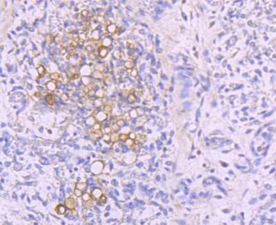
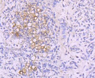
Immunohistochemistry-Paraffin: NFATC1/NFAT2 Antibody (JA81-03) [NBP2-66973] - Analysis of paraffin-embedded human skeleton muscle tissue using anti-NFAT2 antibody. Counter stained with hematoxylin.
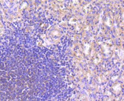
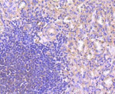
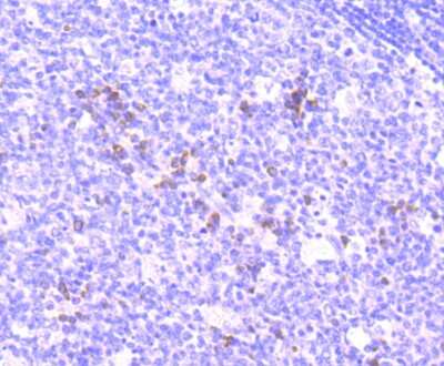
Immunohistochemistry-Paraffin: NFATC1/NFAT2 Antibody (JA81-03) [NBP2-66973] - Analysis of paraffin-embedded human spleen tissue using anti-NFAT2 antibody. Counter stained with hematoxylin.
Immunohistochemistry-Paraffin: NFATC1/NFAT2 Antibody (JA81-03) [NBP2-66973] - Analysis of paraffin-embedded human thymus tissue using anti-NFAT2 antibody. Counter stained with hematoxylin.

Product Details

Summary
Product Discontinued
View other related NFATC1/NFAT2 Primary Antibodies

Order Details


    • Catalog Number
      NBP2-66973
    • Availability
      Product Discontinued

    Can't find what you are looking for? Use our Antibody Concierge Service & we will help you locate your antibody!

    Or feel free to contact us for alternative products.

NFATC1/NFAT2 Antibody (JA81-03) Summary

Additional Information
Recombinant Monoclonal Antibody.
Immunogen
Synthetic peptide within Human NFATC1/NFAT2 aa 894-943 / 943. (SwissProt: O95644 Human)
Localization
Cytoplasm. Nucleus.
Isotype
IgG
Clonality
Monoclonal
Host
Rabbit
Gene
NFATC1
Purity
Protein A purified
Innovator's Reward
Test in a species/application not listed above to receive a full credit towards a future purchase.

Applications/Dilutions

Dilutions
  • Flow Cytometry 1:50-1:100
  • Immunocytochemistry/ Immunofluorescence 1:50-1:200
  • Immunohistochemistry
  • Immunohistochemistry-Paraffin 1:50-1:200
  • Western Blot 1:500-1:1000

Packaging, Storage & Formulations

Storage
Store at 4C short term. Aliquot and store at -20C long term. Avoid freeze-thaw cycles.
Buffer
TBS (pH7.4), 0.05% BSA, 40% Glycerol
Preservative
0.05% Sodium Azide
Concentration
1 mg/ml
Purity
Protein A purified

Alternate Names for NFATC1/NFAT2 Antibody (JA81-03)

  • MGC138448
  • NFAT transcription complex cytosolic component
  • NFAT2
  • NFAT2cytoplasmic 1
  • NFATC
  • NF-ATC
  • NFATC1
  • NF-ATc1
  • nuclear factor of activated T-cells, cytoplasmic, calcineurin-dependent 1

Background

The nuclear factor of activated T-cells (NFAT) transcription complex is required for the expression of a group of proteins that coordinate the immune response. NFAT2 is the cytosolic component of NFAT and is encoded by a separate gene. Expression of NFAT2 activates the interleukin (IL-2) promoter in non-T lymphocytes and is required for IL-2 gene expression.

Limitations

This product is for research use only and is not approved for use in humans or in clinical diagnosis. Primary Antibodies are guaranteed for 1 year from date of receipt.

Customers Who Viewed This Item Also Viewed...

462-TEC
Species: Mu
Applications: BA
NB100-56508
Species: Av, Hu, Mu, Rt
Applications: CyTOF-ready, Flow-IC, Flow, IHC,  IHC-P, WB
NBP2-50037
Species: Hu, Mu, Rt
Applications: ICC/IF, IHC, KO, WB
NB300-504
Species: Hu, Mu, Rt
Applications: ChIP, GS, ICC/IF, IHC, IHC-Fr,  IHC-P, IP, S-ELISA, WB
202-IL
Species: Hu
Applications: BA
NBP2-67471
Species: Hu, Mu, Rt
Applications: ICC/IF, IHC,  IHC-P, WB
AF1230
Species: Hu, Mu, Rt
Applications: IHC, KO, WB
6507-IL/CF
Species: Hu
Applications: BA
H00001513-M01
Species: Hu
Applications: ELISA, ICC/IF, IHC,  IHC-P, WB
DCDL40
Species: Hu
Applications: ELISA
MAB3277
Species: Hu, Mu, Rt
Applications: ICC, KO, WB
H00000054-D01P
Species: Hu, Mu
Applications: IHC,  IHC-P, WB
NB100-56583
Species: Hu, Rb, Rt
Applications: Flow, IHC,  IHC-P, KO, Simple Western, WB
NBP1-87315
Species: Hu
Applications: IHC,  IHC-P
H00057410-M02
Species: Hu, Mu, Rt
Applications: ELISA, S-ELISA, WB
NBP1-48284
Species: Hu, Mu, Rt
Applications: ICC/IF, IHC,  IHC-P, WB
AF5834
Species: Hu
Applications: WB
DY805
Species: Hu
Applications: ELISA
NBP2-66973
Species: Hu
Applications: WB, Flow, ICC/IF, IHC

Publications for NFATC1/NFAT2 Antibody (NBP2-66973) (0)

There are no publications for NFATC1/NFAT2 Antibody (NBP2-66973).
By submitting your publication information earn gift cards and discounts for future purchases.

Reviews for NFATC1/NFAT2 Antibody (NBP2-66973) (0)

There are no reviews for NFATC1/NFAT2 Antibody (NBP2-66973). By submitting a review you will receive an Amazon e-Gift Card or Novus Product Discount.
  • Review with no image -- $10/€7/£6/$10 CAD/¥70 Yuan/¥1110 Yen
  • Review with an image -- $25/€18/£15/$25 CAD/¥150 Yuan/¥2500 Yen

Product General Protocols

Find general support by application which include: protocols, troubleshooting, illustrated assays, videos and webinars.

Video Protocols

WB Video Protocol
ICC/IF Video Protocol

FAQs for NFATC1/NFAT2 Antibody (NBP2-66973) (0)

There are no specific FAQs related to this product. Read our general customer & technical service FAQs.

Secondary Antibodies

 

Isotype Controls

Additional NFATC1/NFAT2 Products

Research Areas for NFATC1/NFAT2 Antibody (NBP2-66973)

Find related products by research area.

Blogs on NFATC1/NFAT2

There are no specific blogs for NFATC1/NFAT2, but you can read our latest blog posts.

Contact Information

Product PDFs

Calculators

Concentration Calculator

The concentration calculator allows you to quickly calculate the volume, mass or concentration of your vial. Simply enter your mass, volume, or concentration values for your reagent and the calculator will determine the rest.

=
÷

Review this Product

Be the first to review our NFATC1/NFAT2 Antibody (JA81-03) and receive a gift card or discount.

Bioinformatics

Gene Symbol NFATC1