Neurotrypsin Antibody

Images

 
Western Blot: Neurotrypsin Antibody [NBP1-03232] - SK-N-SH cell lysate.
Immunocytochemistry/ Immunofluorescence: Neurotrypsin Antibody [NBP1-03232] - Human Brain cells.
Immunohistochemistry-Paraffin: Neurotrypsin Antibody [NBP1-03232] - Staining of human cortex. Immunohistochemistry of formalin-fixed, paraffin-embedded tissue after heat-induced antigen retrieval. Antibody concentration ...read more
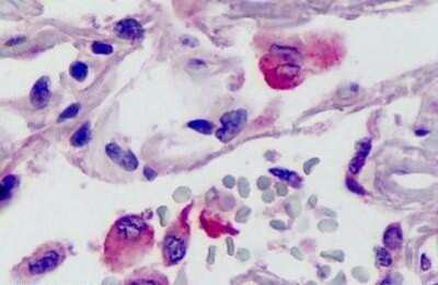
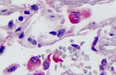
Immunohistochemistry-Paraffin: Neurotrypsin Antibody [NBP1-03232] - Staining of Formalin-Fixed Paraffin-Embedded (FFPE) human Brain, cerebellum using NBP1-03232
Immunohistochemistry-Paraffin: Neurotrypsin Antibody [NBP1-03232] - Staining of human lung. Immunohistochemistry of formalin-fixed, paraffin-embedded tissue after heat-induced antigen retrieval. Antibody concentration 5 ...read more

Product Details

Summary
Product Discontinued
View other related Neurotrypsin Primary Antibodies

Order Details


    • Catalog Number
      NBP1-03232
    • Availability
      Product Discontinued

    Can't find what you are looking for? Use our Antibody Concierge Service & we will help you locate your antibody!

    Or feel free to contact us for alternative products.

Neurotrypsin Antibody Summary

Immunogen
A 23 amino acid synthetic peptide near the N-terminus of human neurotrypsin. The immunogen is located within amino acids 110 - 160 of Neurotrypsin.
Isotype
IgG
Clonality
Polyclonal
Host
Rabbit
Gene
PRSS12
Purity
Peptide affinity purified
Innovator's Reward
Test in a species/application not listed above to receive a full credit towards a future purchase.

Applications/Dilutions

Dilutions
  • ELISA
  • Immunocytochemistry/ Immunofluorescence 1:10-1:500
  • Immunohistochemistry 1:10-1:500
  • Immunohistochemistry-Paraffin 5 ug/ml
  • Western Blot 1:100-1:2000

Packaging, Storage & Formulations

Storage
Store at 4C short term. Aliquot and store at -20C long term. Avoid freeze-thaw cycles.
Buffer
PBS
Preservative
0.02% Sodium Azide
Concentration
1 mg/ml
Purity
Peptide affinity purified

Alternate Names for Neurotrypsin Antibody

  • brain-specific serine protease 3
  • BSSP3
  • BSSP-3
  • EC 3.4.21
  • leydin
  • MGC12722
  • Motopsin
  • MRT1EC 3.4.21.-
  • neurotrypsin
  • protease, serine, 12 (neurotrypsin, motopsin)
  • Serine protease 12

Background

Neurotrypsin is a central nervous system-expressed serine protease whose truncation or absence causes nonsyndromic mental retardation. It is most prominently expressed in structures that are involved in the processing and storage of learned behavior and memory, such as the cerebral cortex, the hippocampus, and amygdala. Evidence suggests that neurotrypsin has multiple functions, including axonal outgrowth, maintaining neuronal plasticity, and arranging the perineuronal environment, partly in coordination with other proteases including tissue plasminogen activator. There are three sequences published for neurotrypsin to date; 875, 834 and 505 amino acids in length. The predicted masses are 97, 92.5 and 55.7 kDa respectively, with predicted pI of 9.14, 8.88 and 6.57. The three forms all start at the same place. The 505 residue form terminates in the last SRCR domain, before the catalytic domain, and the 834 amino acid form has a 40 amino acid deletion that starts just after the PC site, and includes the catalytic histidine, thus both species would be proteolytically inactive.

Limitations

This product is for research use only and is not approved for use in humans or in clinical diagnosis. Primary Antibodies are guaranteed for 1 year from date of receipt.

Customers Who Viewed This Item Also Viewed...

550-AG
Species: Rt
Applications: BA, BA
NBP1-91810
Species: Hu, Mu, Rt
Applications: ICC/IF, KD, KO, Simple Western, Single-Cell Western, WB
DYC2510-2
Species: Hu, Mu, Rt
Applications: ELISA
NB500-255
Species: Hu, Mu
Applications: ICC/IF, IHC,  IHC-P, IP, WB
AF3587
Species: Hu
Applications: CyTOF-ready, ICC, IHC, IP, ICFlow, WB
AF1513
Species: Mu
Applications: CyTOF-ready, Flow, IHC, IP, Simple Western, WB
NBP1-82865
Species: Hu, Mu, Rt
Applications: ICC/IF, IHC,  IHC-P, KD, WB
NBP1-82018
Species: Hu
Applications: ICC/IF, IHC,  IHC-P, WB
AF2495
Species: Hu
Applications: IHC, IP, WB
NBP1-00248
Species: Hu
Applications: IHC,  IHC-P, PEP-ELISA, WB
NBP2-14260
Species: Hu, Mu, Rt
Applications: ICC/IF, IHC,  IHC-P
NBP1-20984
Species: Hu
Applications: ICC/IF, IHC,  IHC-P, PEP-ELISA, Simple Western, WB
DBD00
Species: Hu
Applications: ELISA
AF2008
Species: Hu
Applications: IHC, IP, WB
DTPA00
Species: Hu
Applications: ELISA
NB500-191
Species: Hu, Mu
Applications: IP, WB
AF6820
Species: Mu, Rt
Applications: IHC, WB
AF3565
Species: Mu
Applications: IHC, IP, WB

Publications for Neurotrypsin Antibody (NBP1-03232) (0)

There are no publications for Neurotrypsin Antibody (NBP1-03232).
By submitting your publication information earn gift cards and discounts for future purchases.

Reviews for Neurotrypsin Antibody (NBP1-03232) (0)

There are no reviews for Neurotrypsin Antibody (NBP1-03232). By submitting a review you will receive an Amazon e-Gift Card or Novus Product Discount.
  • Review with no image -- $10/€7/£6/$10 CAD/¥70 Yuan/¥1110 Yen
  • Review with an image -- $25/€18/£15/$25 CAD/¥150 Yuan/¥2500 Yen

Product General Protocols

Find general support by application which include: protocols, troubleshooting, illustrated assays, videos and webinars.

Video Protocols

WB Video Protocol
ICC/IF Video Protocol

FAQs for Neurotrypsin Antibody (NBP1-03232) (0)

There are no specific FAQs related to this product. Read our general customer & technical service FAQs.

Secondary Antibodies

 

Isotype Controls

Additional Neurotrypsin Products

Research Areas for Neurotrypsin Antibody (NBP1-03232)

Find related products by research area.

Blogs on Neurotrypsin

There are no specific blogs for Neurotrypsin, but you can read our latest blog posts.

Contact Information

Product PDFs

Calculators

Concentration Calculator

The concentration calculator allows you to quickly calculate the volume, mass or concentration of your vial. Simply enter your mass, volume, or concentration values for your reagent and the calculator will determine the rest.

=
÷

Review this Product

Be the first to review our Neurotrypsin Antibody and receive a gift card or discount.

Bioinformatics

Gene Symbol PRSS12
Entrez
Uniprot