NEDD8 Antibody (JF69-09)

Images

 
Immunocytochemistry/ Immunofluorescence: NEDD8 Antibody (JF69-09) [NBP2-66970] - Staining NEDD8 in HepG2 cells (red). The nuclear counter stain is DAPI (blue). Cells were fixed in paraformaldehyde, permeabilised with ...read more
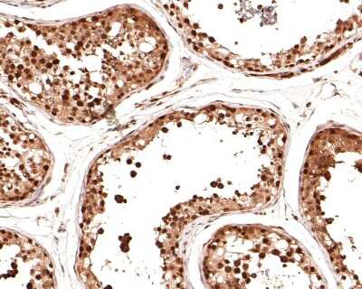
Immunohistochemistry-Paraffin: NEDD8 Antibody (JF69-09) [NBP2-66970] - Analysis of paraffin-embedded human testis tissue with Rabbit anti-NEDD8 antibody washed with ddH2O and PBS, and then probed with the primary ...read more
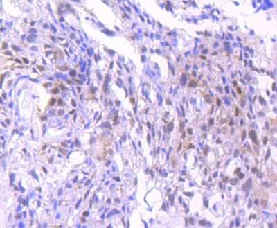
Immunohistochemistry-Paraffin: NEDD8 Antibody (JF69-09) [NBP2-66970] - Analysis of paraffin-embedded human breast carcinoma tissue using anti-NEDD8 antibody. Counter stained with hematoxylin.
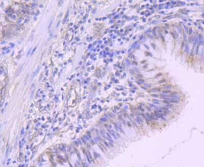
Immunohistochemistry-Paraffin: NEDD8 Antibody (JF69-09) [NBP2-66970] - Analysis of paraffin-embedded human lung cancer tissue using anti-NEDD8 antibody. Counter stained with hematoxylin.
Immunohistochemistry-Paraffin: NEDD8 Antibody (JF69-09) [NBP2-66970] - Analysis of paraffin-embedded rat bladder tissue with Rabbit anti-NEDD8 antibody washed with ddH2O and PBS, and then probed with the primary ...read more

Product Details

Summary
Product Discontinued
View other related NEDD8 Primary Antibodies

Order Details


    • Catalog Number
      NBP2-66970
    • Availability
      Product Discontinued

    Can't find what you are looking for? Use our Antibody Concierge Service & we will help you locate your antibody!

    Or feel free to contact us for alternative products.

NEDD8 Antibody (JF69-09) Summary

Additional Information
Recombinant Monoclonal Antibody.
Immunogen
Synthetic peptide within Human NEDD8 aa 12-57 / 81. (SwissProt: Q15843 Human; SwissProt: P29595 Mouse; SwissProt: Q71UE8 Rat)
Localization
Nucleus.
Isotype
IgG
Clonality
Monoclonal
Host
Rabbit
Gene
NEDD8
Purity
Protein A purified
Innovator's Reward
Test in a species/application not listed above to receive a full credit towards a future purchase.

Applications/Dilutions

Dilutions
  • Immunocytochemistry/ Immunofluorescence 1:50-1:200
  • Immunohistochemistry
  • Immunohistochemistry-Paraffin 1:50-1:100
  • Immunoprecipitation 1:50
  • Western Blot 1:500-1:1000

Packaging, Storage & Formulations

Storage
Store at 4C short term. Aliquot and store at -20C long term. Avoid freeze-thaw cycles.
Buffer
TBS (pH7.4), 0.05% BSA, 40% Glycerol
Preservative
0.05% Sodium Azide
Concentration
1 mg/ml
Purity
Protein A purified

Alternate Names for NEDD8 Antibody (JF69-09)

  • FLJ43224
  • MGC104393
  • MGC125896
  • MGC125897
  • NEDD8
  • NEDD-8
  • Neddylin
  • Neural precursor cell expressed developmentally down-regulated protein 8
  • neural precursor cell expressed, developmentally down-regulated 8
  • Rub1
  • Ubiquitin-like protein Nedd8

Background

NEDD8 (Neural precursor cell-Expressed Developmentally Down-regulated genes) is an ubiquitin-like protein which plays an important role in cell cycle control and embryogenesis (1). NEDD8 has been shown to conjugate to nuclear proteins in a manner analogous to ubiquination and sentrinization. The conjugation process is though to be catalyzed by thee enzymes; E1 (NEDD8-activation), E2 (NEDD8-conjugation) and E3 (NEDD8-ligation). NEDD8 is known to conjugate to Cul-4A and other cullins proteins via the carboxy-terminal Gly residue for ubiquitinylation (3) while NUB1 will negatively regulate its expression (4).

Limitations

This product is for research use only and is not approved for use in humans or in clinical diagnosis. Primary Antibodies are guaranteed for 1 year from date of receipt.

Customers Who Viewed This Item Also Viewed...

NBP3-16092
Species: Hu, Mu, Rt
Applications: ELISA, ICC/IF, IHC,  IHC-P, WB
H00143384-P01
Species: Hu
Applications: ELISA, AP, PA, PAGE, WB
NBP1-89150
Species: Hu
Applications: IHC,  IHC-P, WB
H00011026-M01
Species: Hu
Applications: ELISA, WB
NBP1-31302
Species: Hu, Mu, Rt
Applications: ICC/IF, IHC,  IHC-P, KO, WB
255-SC
Species: Hu
Applications: BA
NBP3-35268
Species: Hu, Mu, Rt
Applications: ELISA, ICC/IF, WB
NBP1-89522
Species: Hu, Mu, Rt
Applications: ICC/IF, IHC,  IHC-P, WB
AF9024
Species: Mu, Rt
Applications: IHC, WB
NBP2-13961
Species: Hu
Applications: ICC/IF, IHC,  IHC-P, WB
NBP2-54301
Species: Hu, Mu, Rt
Applications: CyTOF-ready, ELISA, IHC,  IHC-P, WB
E2-656
Species: Hu, Mu, Rt
Applications: EnzAct
NBP2-20113
Species: Hu, Mu
Applications: ICC/IF, WB
NB120-495
Species: Dr, Hu, Mu, Rt
Applications: ICC/IF, IHC,  IHC-P, IP, WB
NBP2-48628
Species: Hu
Applications: IHC,  IHC-P, WB
NB200-103
Species: Hu, Mu, Rt, Xp(-), Ye
Applications: CyTOF-ready, ELISA, Flow-IC, Flow, ICC/IF, IHC, IHC-Fr,  IHC-P, IP, WB
AF2769
Species: Hu
Applications: CyTOF-ready, Flow, ICC, WB
H00055832-M01
Species: Hu
Applications: ELISA, ICC/IF, IHC,  IHC-P, S-ELISA, WB

Publications for NEDD8 Antibody (NBP2-66970) (0)

There are no publications for NEDD8 Antibody (NBP2-66970).
By submitting your publication information earn gift cards and discounts for future purchases.

Reviews for NEDD8 Antibody (NBP2-66970) (0)

There are no reviews for NEDD8 Antibody (NBP2-66970). By submitting a review you will receive an Amazon e-Gift Card or Novus Product Discount.
  • Review with no image -- $10/€7/£6/$10 CAD/¥70 Yuan/¥1110 Yen
  • Review with an image -- $25/€18/£15/$25 CAD/¥150 Yuan/¥2500 Yen

Product General Protocols

Find general support by application which include: protocols, troubleshooting, illustrated assays, videos and webinars.

Video Protocols

WB Video Protocol
ICC/IF Video Protocol

FAQs for NEDD8 Antibody (NBP2-66970) (0)

There are no specific FAQs related to this product. Read our general customer & technical service FAQs.

Secondary Antibodies

 

Isotype Controls

Additional NEDD8 Products

Research Areas for NEDD8 Antibody (NBP2-66970)

Find related products by research area.

Blogs on NEDD8.

PINK1: All work and no fun
The protein PINK1 is a mitochondrial-located serine/threonine kinase (PTK) that maintains organelle function and integrity. It not only protects organelles from cellular stress, but it also uses the selective auto-phagocytosis process for cleaning and...  Read full blog post.

Contact Information

Product PDFs

Calculators

Concentration Calculator

The concentration calculator allows you to quickly calculate the volume, mass or concentration of your vial. Simply enter your mass, volume, or concentration values for your reagent and the calculator will determine the rest.

=
÷

Review this Product

Be the first to review our NEDD8 Antibody (JF69-09) and receive a gift card or discount.

Bioinformatics

Gene Symbol NEDD8