Nectin-3/PVRL3 Antibody (CL15366) - Azide and BSA Free

Images

 
Orthogonal Strategies: Analysis in human testis and skeletal muscle tissues using NBP3-44181 antibody. Corresponding Nectin-3/PVRL3 RNA-seq data are presented for the same tissues.
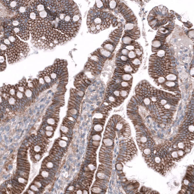
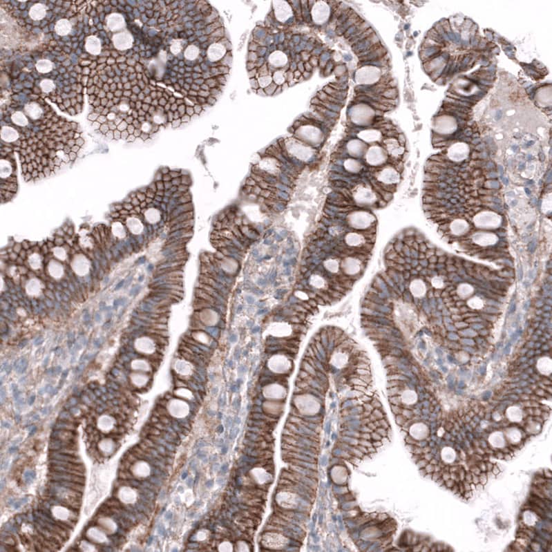
Staining of human duodenum shows strong membranous positivity in glandular cells.
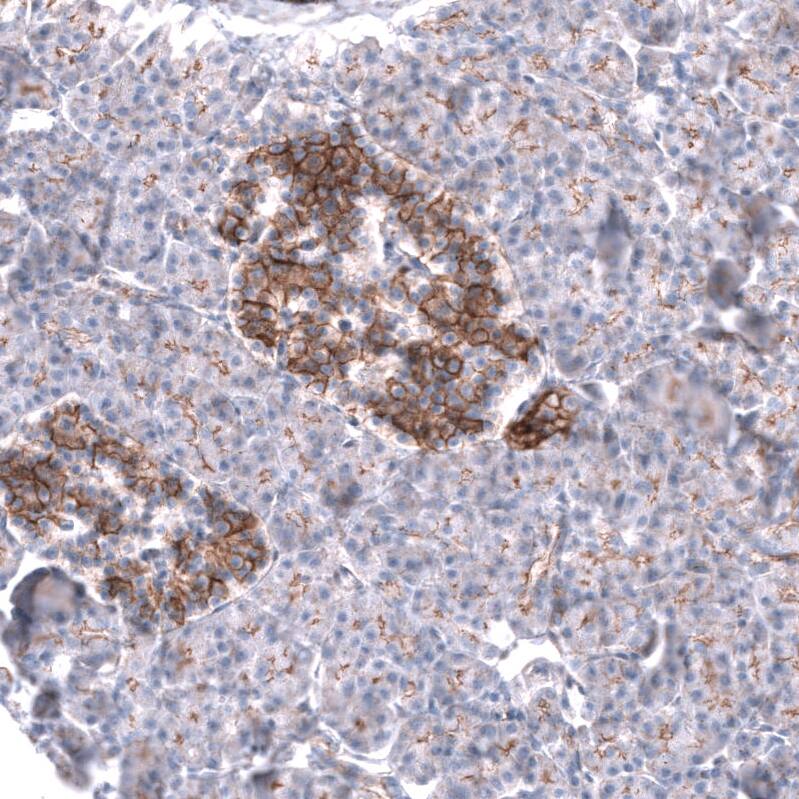
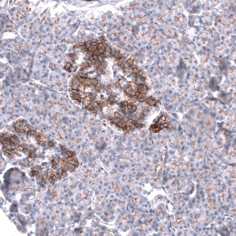
Staining of human pancreas shows moderate membranous positivity in the islets of Langerhans.
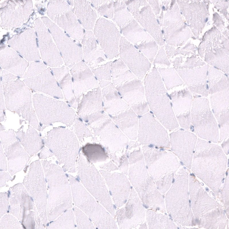
Staining of human skeletal muscle shows no positivity in myocytes as expected.
Staining of rat brain shows weak to moderate positivity in neuronal processes in the CA3 area of the hippocampus.
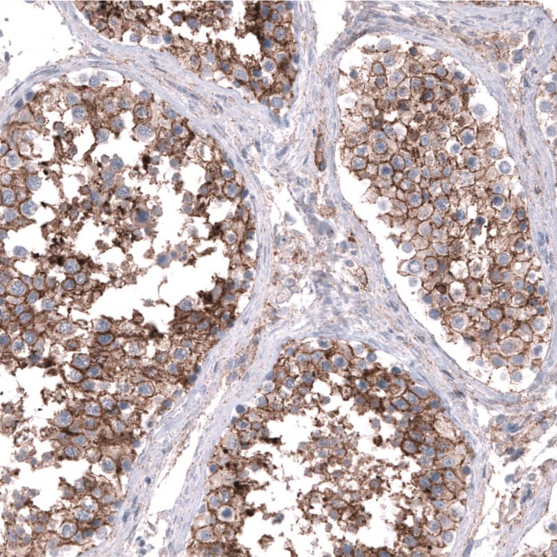
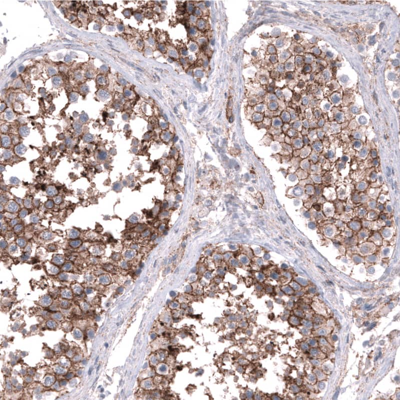
Staining of human testis shows strong membranous positivity in cells in seminiferous ducts.
Staining of mouse brain shows weak to moderate positivity in neuronal processes in the CA3 area of the hippocampus.
Orthogonal Strategies: Analysis in human cell lines U-251MG and MCF-7 using Anti-Nectin-3/PVRL3 antibody. Corresponding Nectin-3/PVRL3 RNA-seq data are presented for the same cell lines. Loading control: ...read more

Product Details

Summary
Reactivity Hu, Mu, RtSpecies Glossary
Applications WB, IHC
Clone
CL15366
Clonality
Monoclonal
Host
Mouse
Conjugate
Unconjugated
Format
Azide and BSA Free
Concentration
LYOPH
Validated by:
       

Orthogonal Strategies

 

Order Details

Nectin-3/PVRL3 Antibody (CL15366) - Azide and BSA Free Summary

Description
Novus Biologicals Mouse Nectin-3/PVRL3 Antibody (CL15366) - Azide and BSA Free (NBP3-43665) is a monoclonal antibody validated for use in IHC and WB. All Novus Biologicals antibodies are covered by our 100% guarantee.
Immunogen
This antibody was generated using a recombinant protein sequence of Q9NQS3, with the exact immunogen sequence remaining proprietary.
Isotype
IgG2b
Clonality
Monoclonal
Host
Mouse
Gene
NECTIN3
Purity
Protein A purified
Innovator's Reward
Test in a species/application not listed above to receive a full credit towards a future purchase.

Applications/Dilutions

Dilutions
  • Immunohistochemistry-Paraffin 1:500-1:1000
  • Western Blot 1 ug/ml
Application Notes
For IHC-Paraffin, HIER pH 6 retrieval is recommended.

Packaging, Storage & Formulations

Storage
Store at 4C short term. Aliquot and store at -20C long term. Avoid freeze-thaw cycles.
Buffer
Lyophilized from a 0.2 um filtered solution in PBS with Trehalose
Preservative
No Preservative
Concentration
LYOPH
Purity
Protein A purified
Reconstitution Instructions
Centrifuge the vial of lyophilized antibody at 12,000 x g for 20 seconds. Reconstitute by adding sterile, distilled water to achieve a final antibody concentration of 1mg/ml.

Alternate Names for Nectin-3/PVRL3 Antibody (CL15366) - Azide and BSA Free

  • CD113 antigen
  • CD113
  • CDw113FLJ90624
  • DKFZp566B0846
  • nectin 3
  • Nectin3
  • Nectin-3
  • poliovirus receptor-related 3
  • poliovirus receptor-related protein 3
  • PPR3
  • PRR3CD113
  • PVRL3
  • PVRR3

Background

Nectins (e.g., PVRL1; MIM 600644) are immunoglobulin-like adhesion molecules that interact with afadin (AF6; MIM 159559). Afadin is an actin filament-binding protein that connects nectins to the actin cytoskeleton. The nectin-afadin system organizes adherens junctions cooperatively with the cadherin (see MIM 192090)-catenin (see MIM 116805) system in epithelial cells.[supplied by OMIM]

Limitations

This product is for research use only and is not approved for use in humans or in clinical diagnosis. Primary Antibodies are guaranteed for 1 year from date of receipt.

Customers Who Viewed This Item Also Viewed...

MAB25301
Species: Hu
Applications: CyTOF-ready, Flow, ICC, WB
NB300-186
Species: Hu, Rt
Applications: ICC/IF, Simple Western, WB
AF2229
Species: Hu
Applications: ICC, IHC, Simple Western, WB
NBP1-48309
Species: Hu, Mu, Rt
Applications: Flow-IC, Flow, ICC/IF, IHC,  IHC-P, IP, Simple Western, WB
NBP1-76568
Species: Hu, Mu, Rt
Applications: ELISA, ICC/IF, IHC,  IHC-P, WB
NBP1-30424
Species: Hu, Mu, Rt
Applications: ICC/IF, WB
PP-H4417-00
Species: Hu
Applications: DirELISA, IP, WB
AF748
Species: Hu, Mu
Applications: CyTOF-ready, Dual ISH-IHC, Flow, ICC, IHC, Simple Western, WB
AF3678
Species: Hu
Applications: CyTOF-ready, Flow, ICC, WB
NBP1-91041
Species: Hu
Applications: IHC,  IHC-P
AF1329
Species: Hu, Mu, Rt
Applications: ChIP, CyTOF-ready, ICC, IHC, ICFlow, Simple Western, WB
AF2685
Species: Hu
Applications: IHC, Simple Western, WB
NB300-605
Species: Hu, Mu, Po, Rt
Applications: Flow, IB, ICC/IF, IHC, IHC-Fr,  IHC-P, In vitro, WB
NBP1-86589
Species: Hu, Rt
Applications: ICC/IF, IHC,  IHC-P, KD, Simple Western, WB
NBP2-15971
Species: Hu, Mu, Rt
Applications: ICC/IF, IHC,  IHC-P, KO, WB
NBP3-44181
Species: Hu, Mu, Rt
Applications: WB, IHC

Publications for Nectin-3/PVRL3 Antibody (NBP3-44181) (0)

There are no publications for Nectin-3/PVRL3 Antibody (NBP3-44181).
By submitting your publication information earn gift cards and discounts for future purchases.

Reviews for Nectin-3/PVRL3 Antibody (NBP3-44181) (0)

There are no reviews for Nectin-3/PVRL3 Antibody (NBP3-44181). By submitting a review you will receive an Amazon e-Gift Card or Novus Product Discount.
  • Review with no image -- $10/€7/£6/$10 CAD/¥70 Yuan/¥1110 Yen
  • Review with an image -- $25/€18/£15/$25 CAD/¥150 Yuan/¥2500 Yen

Product General Protocols

Find general support by application which include: protocols, troubleshooting, illustrated assays, videos and webinars.

Video Protocols

WB Video Protocol

FAQs for Nectin-3/PVRL3 Antibody (NBP3-44181) (0)

There are no specific FAQs related to this product. Read our general customer & technical service FAQs.

Secondary Antibodies

 

Isotype Controls

Additional Nectin-3/PVRL3 Products

Research Areas for Nectin-3/PVRL3 Antibody (NBP3-44181)

Find related products by research area.

Blogs on Nectin-3/PVRL3

There are no specific blogs for Nectin-3/PVRL3, but you can read our latest blog posts.

Customers Who Bought This Also Bought

Contact Information

Product PDFs

Calculators

Concentration Calculator

The concentration calculator allows you to quickly calculate the volume, mass or concentration of your vial. Simply enter your mass, volume, or concentration values for your reagent and the calculator will determine the rest.

=
÷

Review this Product

Be the first to review our Nectin-3/PVRL3 Antibody (CL15366) - Azide and BSA Free and receive a gift card or discount.

Bioinformatics

Gene Symbol NECTIN3