Myosin IXA Antibody - BSA Free

Images

 
Immunocytochemistry/ Immunofluorescence: Myosin IXA Antibody [NBP1-92160] - Immunofluorescent staining of human cell line U-2 OS shows localization to plasma membrane.
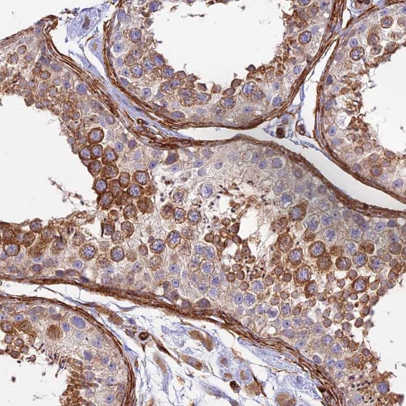
Immunohistochemistry-Paraffin: Myosin IXA Antibody [NBP1-92160] - Staining of human testis shows strong cytoplasmic positivity in cells in seminiferus ducts.
Immunohistochemistry-Paraffin: Myosin IXA Antibody [NBP1-92160] -Staining of human skeletal muscle shows moderate cytoplasmic positivity in myocytes.
Immunohistochemistry-Paraffin: Myosin IXA Antibody [NBP1-92160] -Staining of human liver shows no positivity in hepatocytes as expected.
Staining of human testis shows strong cytoplasmic positivity in cells in seminiferous ducts.
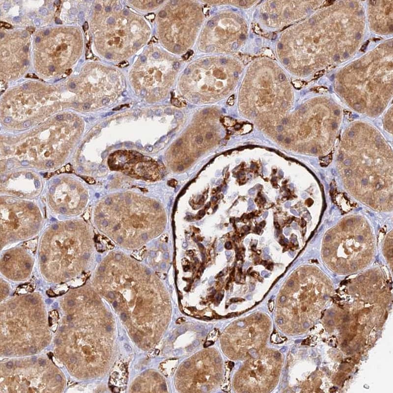
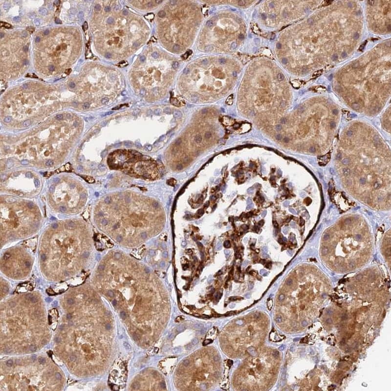
Staining of human kidney shows strong cytoplasmic positivity in cells in glomeruli.
Staining of human skeletal muscle shows moderate cytoplasmic positivity in myocytes.

Product Details

Summary
Reactivity HuSpecies Glossary
Applications Func, ICC/IF, IHC
Clonality
Polyclonal
Host
Rabbit
Conjugate
Unconjugated
Format
BSA Free

Order Details

View Available Formulations
Catalog# & Formulation Size Price

Myosin IXA Antibody - BSA Free Summary

Description
Novus Biologicals Rabbit Myosin IXA Antibody - BSA Free (NBP1-92160) is a polyclonal antibody validated for use in IHC and ICC/IF. Anti-Myosin IXA Antibody: Cited in 1 publication. All Novus Biologicals antibodies are covered by our 100% guarantee.
Immunogen
This antibody was developed against Recombinant Protein corresponding to amino acids: TSQRFSSVDEQAKLHKTMSQGEITKLAVRQKASDSDIRPQRAKMRFWAKGKQGEKKTTRVKPTTQSEVSPLFAGTDVIPAHQFPDELAA
Isotype
IgG
Clonality
Polyclonal
Host
Rabbit
Gene
MYO9A
Purity
Immunogen affinity purified
Innovator's Reward
Test in a species/application not listed above to receive a full credit towards a future purchase.

Applications/Dilutions

Dilutions
  • Immunocytochemistry/ Immunofluorescence 0.25-2 ug/ml
  • Immunohistochemistry 1:50 - 1:200
  • Immunohistochemistry-Paraffin 1:50 - 1:200
  • Proximity Ligation Assay Reported in scientific literature (PMID:34336885)
Application Notes
For IHC-Paraffin, HIER pH 6 retrieval is recommended. ICC/IF,Fixation Permeabilization: Use PFA/Triton X-100.
Control Peptide
Myosin IXA Protein (NBP1-92160PEP)
Publications
Read Publication using NBP1-92160.

Reactivity Notes

Immunogen displays the following percentage of sequence identity for non-tested species: Mouse (84%), Rat (83%)

Packaging, Storage & Formulations

Storage
Store at 4C short term. Aliquot and store at -20C long term. Avoid freeze-thaw cycles.
Buffer
PBS (pH 7.2) and 40% Glycerol
Preservative
0.02% Sodium Azide
Purity
Immunogen affinity purified

Alternate Names for Myosin IXA Antibody - BSA Free

  • FLJ11061
  • FLJ13244
  • MGC71859
  • MYO9A variant protein
  • myosin IXA
  • myosin-IXa
  • MYR7
  • Unconventional myosin-9a

Background

Myosins are actin-based motor molecules with ATPase activity. Unconventional myosins serve in intracellular movements. Regulates Rho activity in neurons, has a role in the regulation of neuronal morphology and function (By similarity)

Limitations

This product is for research use only and is not approved for use in humans or in clinical diagnosis. Primary Antibodies are guaranteed for 1 year from date of receipt.

Customers Who Viewed This Item Also Viewed...

NBP1-85724
Species: Hu, Mu, Rt
Applications: ICC/IF, IHC,  IHC-P, WB
NB100-91273
Species: Hu, Mu, Pm, Rt
Applications: ICC/IF, IHC,  IHC-P, WB
NBP1-58359
Species: Hu
Applications: IHC,  IHC-P, WB
NBP2-25160
Species: Bv, Ca, Eq, Hu, Mu, Po, Rt
Applications: ICC/IF, IHC, WB
NB110-40773
Species: Hu, Mu, Rt
Applications: ICC/IF, IHC, IHC-Fr,  IHC-P
NBP3-21878
Species: Hu, Mu, Rt
Applications: Flow, ICC/IF, WB
NB100-41092
Species: Hu, Mu
Applications: ICC/IF, PEP-ELISA, WB
NBP1-32740
Species: Hu
Applications: IHC,  IHC-P, WB
NBP1-86240
Species: Hu
Applications: ICC/IF, IHC,  IHC-P
NBP2-14274
Species: Hu
Applications: IHC,  IHC-P
NBP1-81351
Species: Hu
Applications: IHC,  IHC-P, WB
AF3820
Species: Mu
Applications: IHC, WB
H00004646-M02
Species: Hu, Mu
Applications: ELISA, IHC, S-ELISA, WB
NBP1-86248
Species: Hu
Applications: IHC,  IHC-P, WB
PP-H7223-00
Species: Hu
Applications: DirELISA, IHC, WB
NB600-279
Species: Hu
Applications: IHC,  IHC-P, IP, WB

Publications for Myosin IXA Antibody (NBP1-92160)(1)

We have publications tested in 2 applications: ICC/IF, PLA.


Filter By Application
ICC/IF
(1)
PLA
(1)
All Applications
Filter By Species
All Species

Reviews for Myosin IXA Antibody (NBP1-92160) (0)

There are no reviews for Myosin IXA Antibody (NBP1-92160). By submitting a review you will receive an Amazon e-Gift Card or Novus Product Discount.
  • Review with no image -- $10/€7/£6/$10 CAD/¥70 Yuan/¥1110 Yen
  • Review with an image -- $25/€18/£15/$25 CAD/¥150 Yuan/¥2500 Yen

Product General Protocols

Find general support by application which include: protocols, troubleshooting, illustrated assays, videos and webinars.

Video Protocols

ICC/IF Video Protocol

FAQs for Myosin IXA Antibody (NBP1-92160) (0)

There are no specific FAQs related to this product. Read our general customer & technical service FAQs.

Secondary Antibodies

 

Isotype Controls

Additional Myosin IXA Products

Research Areas for Myosin IXA Antibody (NBP1-92160)

Find related products by research area.

Blogs on Myosin IXA

There are no specific blogs for Myosin IXA, but you can read our latest blog posts.

Customers Who Bought This Also Bought

Contact Information

Product PDFs

Calculators

Concentration Calculator

The concentration calculator allows you to quickly calculate the volume, mass or concentration of your vial. Simply enter your mass, volume, or concentration values for your reagent and the calculator will determine the rest.

=
÷

Review this Product

Be the first to review our Myosin IXA Antibody - BSA Free and receive a gift card or discount.

Bioinformatics

Gene Symbol MYO9A