Myosin 1E Antibody - BSA Free

Images

 
Western Blot: Myosin 1E Antibody [NBP1-92158] - Analysis in human cell line A-549.
Immunohistochemistry-Paraffin: Myosin 1E Antibody [NBP1-92158] - Staining of human small intestine shows strong cytoplasmic positivity in glandular cells and moderate cytoplasmic positivity in goblet cells.
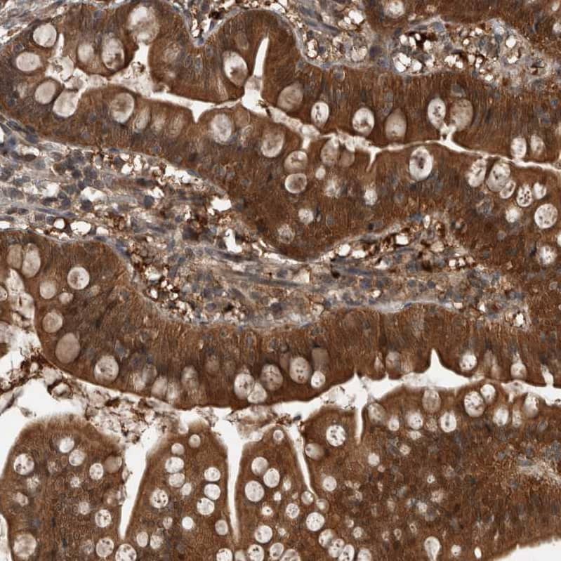
Immunohistochemistry-Paraffin: Myosin 1E Antibody [NBP1-92158] -Staining of human stomach shows moderate cytoplasmic positivity in glandular cells.
Immunohistochemistry-Paraffin: Myosin 1E Antibody [NBP1-92158] - Staining of human lymph node shows moderate cytoplasmic positivity in germinal center cells.
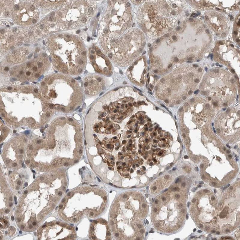
Staining of human kidney shows moderate cytoplasmic positivity in cells in glomeruli cells in tubules.
Staining of human small intestine shows strong cytoplasmic positivity in glandular cells and moderate cytoplasmic positivity in goblet cells.
Staining of human stomach shows moderate cytoplasmic positivity in glandular cells.
Staining of human lymph node shows moderate cytoplasmic positivity in germinal center cells.
Analysis in human cell line A-549.

Product Details

Summary
Reactivity Hu, Mu, RtSpecies Glossary
Applications WB, IHC
Clonality
Polyclonal
Host
Rabbit
Conjugate
Unconjugated
Format
BSA Free

Order Details

View Available Formulations
Catalog# & Formulation Size Price

Myosin 1E Antibody - BSA Free Summary

Description
Novus Biologicals Rabbit Myosin 1E Antibody - BSA Free (NBP1-92158) is a polyclonal antibody validated for use in IHC and WB. All Novus Biologicals antibodies are covered by our 100% guarantee.
Immunogen
This antibody was developed against Recombinant Protein corresponding to amino acids: VIRNQYVPYPHAPGSQRSNQKSLYTSMARPPLPRQQSTSSDRVSQTPESLDFLKVPDQGAAGVRRQTTSRPPPAGGRPKPQPKPKPQVPQCKALYAYDAQDTDELSFNANDIIDIIKEDPSGWWTGRLRGKQG
Predicted Species
Mouse (94%), Rat (92%). Backed by our 100% Guarantee.
Isotype
IgG
Clonality
Polyclonal
Host
Rabbit
Gene
MYO1E
Purity
Immunogen affinity purified
Innovator's Reward
Test in a species/application not listed above to receive a full credit towards a future purchase.

Applications/Dilutions

Dilutions
  • Immunohistochemistry 1:200 - 1:500
  • Immunohistochemistry-Paraffin 1:200 - 1:500
  • Western Blot 0.04-0.4 ug/ml
Application Notes
For IHC-Paraffin, HIER pH 6 retrieval is recommended.
Control Peptide
Myosin 1E Protein (NBP1-92158PEP)

Packaging, Storage & Formulations

Storage
Store at 4C short term. Aliquot and store at -20C long term. Avoid freeze-thaw cycles.
Buffer
PBS (pH 7.2) and 40% Glycerol
Preservative
0.02% Sodium Azide
Purity
Immunogen affinity purified

Alternate Names for Myosin 1E Antibody - BSA Free

  • HuncM-IC
  • MGC104638
  • MYO1Cmyosin-IC
  • MYO1E variant protein
  • myosin IE
  • Myosin-Ic
  • myosin-Ie

Background

Myosins are actin-based motor molecules with ATPase activity. Unconventional myosins serve in intracellular movements. Their highly divergent tails are presumed to bind to membranous compartments, which would be moved relative to actin filaments

Limitations

This product is for research use only and is not approved for use in humans or in clinical diagnosis. Primary Antibodies are guaranteed for 1 year from date of receipt.

Customers Who Viewed This Item Also Viewed...

NBP2-14871
Species: Mu, Rt
Applications: ICC/IF, WB
NB120-2860
Species: Ba, Bv, Ch, Hu, Mu, Rt
Applications: ELISA, Flow, ICC/IF, IHC,  IHC-P, WB
NBP2-15669
Species: Mu, Rt, Ze
Applications: IHC-WhMt, IHC, WB
MAB4470
Species: All-Multi
Applications: Flow, ICC, IHC, WB
NBP1-49533
Species: Hu, Mu, Pl, Rt
Applications: Flow-IC, Flow, ICC/IF, IHC,  IHC-P, KD, WB
NBP1-87739
Species: Ch, Hu, Mu, Rt
Applications: ICC/IF, IHC,  IHC-P, WB
MAB1417
Species: Bv, Hu, Mu
Applications: ICC, IHC
NBP1-87745
Species: Hu, Rt
Applications: IHC,  IHC-P, WB
NB100-41092
Species: Hu, Mu
Applications: ICC/IF, PEP-ELISA, WB
NB100-1343
Species: Hu
Applications: Flow, ICC/IF, IHC,  IHC-P, PEP-ELISA, WB
H00004646-M02
Species: Hu, Mu
Applications: ELISA, IHC, S-ELISA, WB
NBP3-46968
Species: Hu, Mu
Applications: ELISA, IP, WB
NBP3-46969
Species: Hu, Mu, Rt
Applications: ELISA, ICC/IF, IHC, WB
NBP2-31598
Species: Hu
Applications: IHC,  IHC-P
NB600-279
Species: Hu
Applications: IHC,  IHC-P, IP, WB
NB100-2331
Species: Am, Ca, Fi, Hu, Mu, Pl, Rt, Ze
Applications: ChIP, ChIP, ELISA, Flow, IB, ICC/IF, IHC-WhMt, IHC, IHC-Fr,  IHC-P, IP, Simple Western, SB, WB

Publications for Myosin 1E Antibody (NBP1-92158) (0)

There are no publications for Myosin 1E Antibody (NBP1-92158).
By submitting your publication information earn gift cards and discounts for future purchases.

Reviews for Myosin 1E Antibody (NBP1-92158) (0)

There are no reviews for Myosin 1E Antibody (NBP1-92158). By submitting a review you will receive an Amazon e-Gift Card or Novus Product Discount.
  • Review with no image -- $10/€7/£6/$10 CAD/¥70 Yuan/¥1110 Yen
  • Review with an image -- $25/€18/£15/$25 CAD/¥150 Yuan/¥2500 Yen

Product General Protocols

Find general support by application which include: protocols, troubleshooting, illustrated assays, videos and webinars.

Video Protocols

WB Video Protocol

FAQs for Myosin 1E Antibody (NBP1-92158) (0)

There are no specific FAQs related to this product. Read our general customer & technical service FAQs.

Secondary Antibodies

 

Isotype Controls

Additional Myosin 1E Products

Research Areas for Myosin 1E Antibody (NBP1-92158)

Find related products by research area.

Blogs on Myosin 1E

There are no specific blogs for Myosin 1E, but you can read our latest blog posts.

Customers Who Bought This Also Bought

Contact Information

Product PDFs

Calculators

Concentration Calculator

The concentration calculator allows you to quickly calculate the volume, mass or concentration of your vial. Simply enter your mass, volume, or concentration values for your reagent and the calculator will determine the rest.

=
÷

Review this Product

Be the first to review our Myosin 1E Antibody - BSA Free and receive a gift card or discount.

Bioinformatics

Gene Symbol MYO1E