MYH7 Antibody (MYH7/13050R) - Azide and BSA Free

Images

 
Western Blot Analysis of human heart and human skeletal muscle tissue lysates using MYH7 Antibody (MYH7/13050R) - Azide and BSA Free.
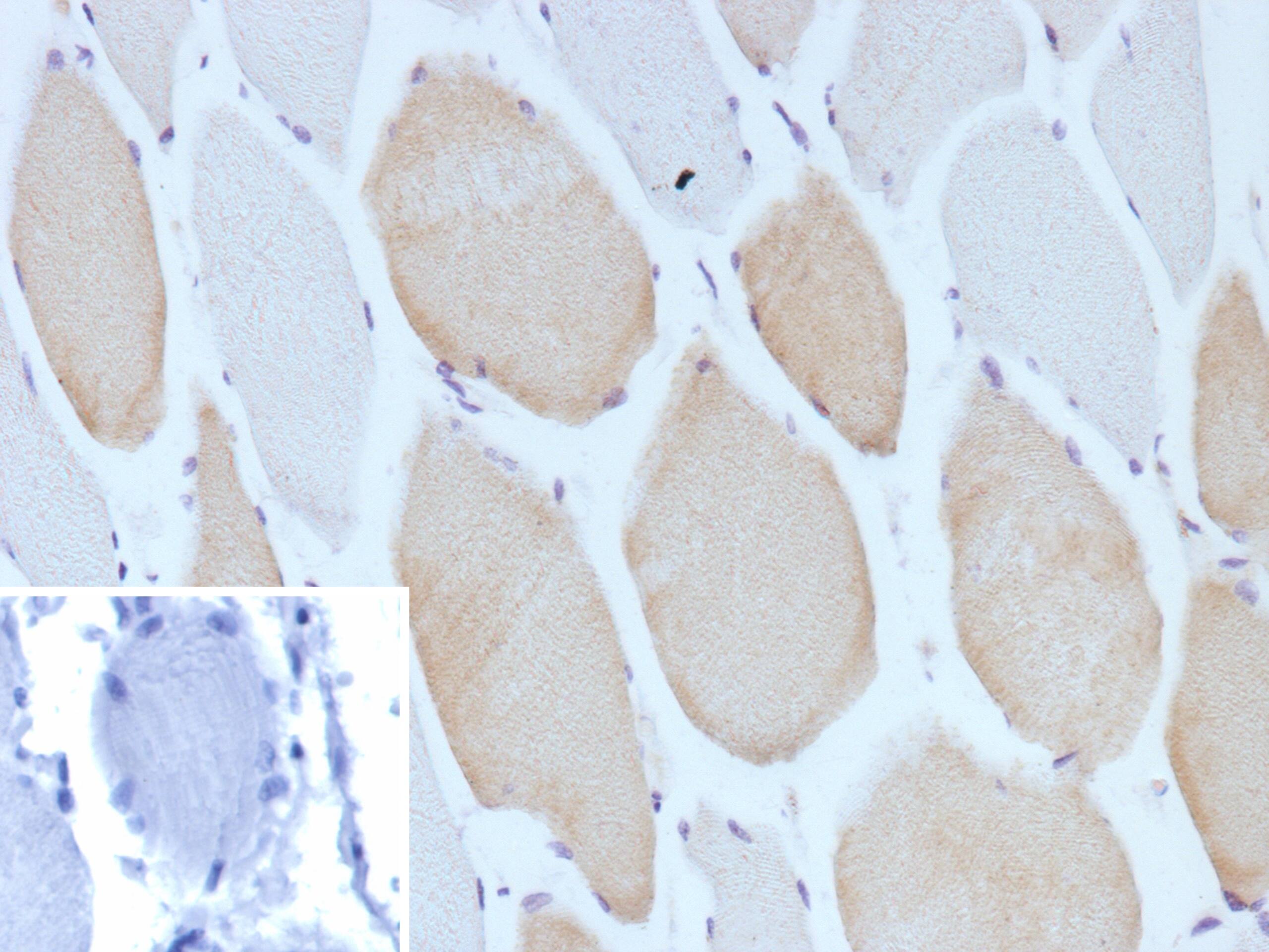
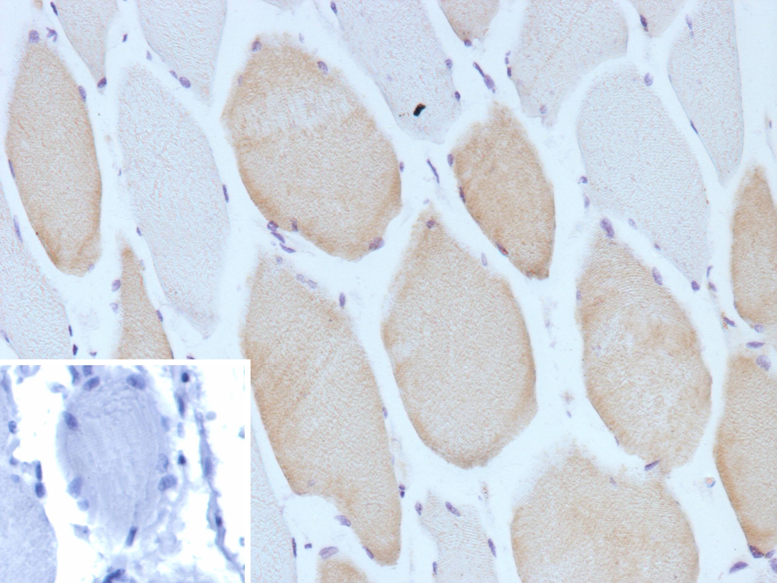
Formalin-fixed, paraffin-embedded human skeletal muscle stained with MYH7 Antibody (MYH7/13050R) - Azide and BSA Free. Inset: PBS instead of primary antibody; secondary only negative control.

Product Details

Summary
Reactivity HuSpecies Glossary
Applications IHC
Clone
MYH7/13050R
Clonality
Monoclonal
Host
Rabbit
Conjugate
Unconjugated
Format
Azide and BSA Free
Concentration
1 mg/ml

Order Details

View Available Formulations
Catalog# & Formulation Size Price

MYH7 Antibody (MYH7/13050R) - Azide and BSA Free Summary

Description
1.0 mg/ml of Ab produced in CHO cell mammalian-based expression system.. Prepared in 10 mM PBS WITHOUT BSA & azide. Also availabl at 200 ug/ml with BSA & azide.

Antibody with azide - store at 2 to 8C. Antibody without azide - store at -20 to -80C. Non-hazardous. No MSDS required.
Additional Information
Recombinant Monoclonal Antibody
Immunogen
Recombinant fragment (around aa1150-1350) of human MYH7 protein (Uniprot: P12883). Exact sequence is proprietary.
Localization
Cytoplasm, cytoplasm myofibril. Thick filaments of the myofibrils.
Isotype
IgG Kappa
Clonality
Monoclonal
Host
Rabbit
Gene
MYH7
Purity
Protein A or G purified
Innovator's Reward
Test in a species/application not listed above to receive a full credit towards a future purchase.

Applications/Dilutions

Dilutions
  • Immunohistochemistry : 1-2ug/ml
Application Notes
Immunohistochemistry: 30 min at RT. Staining of formalin-fixed tissues requires heating tissue sections in 10mM Tris with 1mM EDTA, pH 9.0, for 45 min at 95C followed by cooling at RT for 20 minutes.
Theoretical MW
223 kDa.
Disclaimer note: The observed molecular weight of the protein may vary from the listed predicted molecular weight due to post translational modifications, post translation cleavages, relative charges, and other experimental factors.

Packaging, Storage & Formulations

Storage
Store at -20 to -80C. Avoid freeze-thaw cycles.
Buffer
10 mM PBS
Preservative
No Preservative
Concentration
1 mg/ml
Purity
Protein A or G purified

Alternate Names for MYH7 Antibody (MYH7/13050R) - Azide and BSA Free

  • cardiac muscle beta isoform
  • CMD1S
  • CMD1SMGC138376
  • CMH1
  • DKFZp451F047
  • MGC138378
  • MPD1
  • MYH7
  • MYHCB
  • MyHC-beta
  • myhc-slow
  • myopathy, distal 1
  • myosin heavy chain (AA 1-96)
  • myosin, heavy chain 7, cardiac muscle, beta
  • myosin, heavy polypeptide 7, cardiac muscle, beta
  • Myosin-7
  • rhabdomyosarcoma antigen MU-RMS-40.7A
  • SPMD
  • SPMM

Background

MYH7, also known as Myosin-7, is a 1,935 amino acid protein that is 223 kDa, found predominantly in myocytes and mediates plus-ended movement along microfilaments, it is involved in muscle contraction through cyclic interactions with actin-rich thin filaments, creating a contractile force. It is regulated by phosphorylation via myosin light chain kinase (MLCK) and by intracellular Ca2+ concentrations. Disease research is currently being studied with relation to this protein and myopathy, hypertrophic cardiomyopathy, familial hypertrophic cardiomyopathy, dilated cardiomyopathy, wolff-parkinson-white syndrome, left ventricular noncompaction, left ventricular noncompaction 5, long qt syndrome, endocardial fibroelastosis, scapuloperoneal syndrome, laing distal myopathy, rhabdomyosarcoma oculopharyngeal muscular dystrophy, ebstein anomaly, acute myocardial infarction, muscular dystrophy, myotonic dystrophy, and myocardial infarction. Its involvement has been observed with relation to YWHAQ, MYH13, MYL3, YWHAZ, MYH9, ACTB, NTHL1, and over 100 other proteins in cell adhesion integrin-mediated cell adhesion and migration, cell adhesion tight junctions, cytoskeleton remodeling regulation of actin cytoskeleton by Rho GTPases, immune response CCR3 signaling in eosinophils, development MAG-dependent inhibition of neurite outgrowth, RhoA pathway, factors promoting cardiogenesis in vertebrates, antioxidant action of vitamin-C, transendothelial migration of leukocytes, actin nucleation by ARP-WASP complex, cardiac muscle contraction, hypertrophic cardiomyopathy (HCM), dilated cardiomyopathy, and viral myocarditis pathways.

Limitations

This product is for research use only and is not approved for use in humans or in clinical diagnosis. Primary Antibodies are guaranteed for 1 year from date of receipt.

Customers Who Viewed This Item Also Viewed...

NB120-6405
Species: Rt
Applications: B/N, CyTOF-ready, EM, ELISA, Flow-IC, Flow, ICC/IF, IHC, IHC-Fr,  IHC-P, IP
NBP2-13632
Species: Hu
Applications: IHC,  IHC-P
MAB1874
Species: Hu
Applications: ICC, IHC
NBP1-33716
Species: Hu, Mu, Po, Rt
Applications: ICC/IF, IHC,  IHC-P, WB
NB110-2546
Species: Hu, Mu
Applications: Flow, AP, IA, IHC,  IHC-P, IP, S-ELISA, WB
AF3366
Species: Hu
Applications: ICC, IHC, Simple Western, WB
NBP1-30027
Species: Hu, Mu, Rt
Applications: ICC/IF, IHC,  IHC-P, WB
H00005555-P01
Species: Hu
Applications: ELISA, AP, PA, PAGE, WB
NBP2-19807
Species: Hu, Mu, Po, Rt
Applications: ICC/IF, IHC,  IHC-P, WB
NBP1-89090
Species: Hu
Applications: IHC,  IHC-P
MAB4470
Species: All-Multi
Applications: Flow, ICC, IHC, WB
NBP2-50037
Species: Hu, Mu, Rt
Applications: ICC/IF, IHC, KO, WB
NBP1-30249
Species: Hu, Mu, Xp
Applications: ELISA, Flow, ICC/IF, IHC, WB
NBP1-97725
Species: Bv, Gt, Hu, Mu, Po, Rb, Rt, Ze
Applications: ELISA, ICC/IF, IHC, IHC-Fr,  IHC-P, WB
MAB8979
Species: Hu
Applications: ICC, IHC, WB
NBP2-67471
Species: Hu, Mu, Rt
Applications: ICC/IF, IHC,  IHC-P, WB

Publications for MYH7 Antibody (NBP3-45088) (0)

There are no publications for MYH7 Antibody (NBP3-45088).
By submitting your publication information earn gift cards and discounts for future purchases.

Reviews for MYH7 Antibody (NBP3-45088) (0)

There are no reviews for MYH7 Antibody (NBP3-45088). By submitting a review you will receive an Amazon e-Gift Card or Novus Product Discount.
  • Review with no image -- $10/€7/£6/$10 CAD/¥70 Yuan/¥1110 Yen
  • Review with an image -- $25/€18/£15/$25 CAD/¥150 Yuan/¥2500 Yen

FAQs for MYH7 Antibody (NBP3-45088) (0)

There are no specific FAQs related to this product. Read our general customer & technical service FAQs.

Secondary Antibodies

 

Isotype Controls

Additional MYH7 Products

Research Areas for MYH7 Antibody (NBP3-45088)

Find related products by research area.

Blogs on MYH7

There are no specific blogs for MYH7, but you can read our latest blog posts.

Customers Who Bought This Also Bought

Contact Information

Product PDFs

Calculators

Concentration Calculator

The concentration calculator allows you to quickly calculate the volume, mass or concentration of your vial. Simply enter your mass, volume, or concentration values for your reagent and the calculator will determine the rest.

=
÷

Review this Product

Be the first to review our MYH7 Antibody (MYH7/13050R) - Azide and BSA Free and receive a gift card or discount.

Bioinformatics

Gene Symbol MYH7