MxA/Mx1 Antibody (MX1/7530) - Azide and BSA Free

Images

 
IHC analysis of formalin-fixed, paraffin-embedded human ovarian cancer. MxA/Mx1 Antibody (MX1/7530) - Azide and BSA Free. Inset: PBS instead of primary antibody; secondary only negative control.
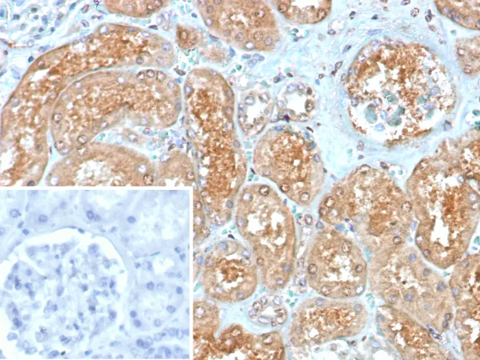
IHC analysis of formalin-fixed, paraffin-embedded human kidney. MxA/Mx1 Antibody (MX1/7530) - Azide and BSA Free. Inset: PBS instead of primary antibody; secondary only negative control.

Product Details

Summary
Reactivity HuSpecies Glossary
Applications IHC
Clone
MX1/7530
Clonality
Monoclonal
Host
Mouse
Conjugate
Unconjugated
Format
Azide and BSA Free
Concentration
1 mg/ml

Order Details

MxA/Mx1 Antibody (MX1/7530) - Azide and BSA Free Summary

Description
Antibody without azide - store at -20 to -80C. Non-hazardous. No MSDS required.
Immunogen
Recombinant fragment (around aa400-592) of human MxA/Mx1 protein (exact sequence is proprietary)
Localization
Cytoplasm
Isotype
IgG2 Kappa
Clonality
Monoclonal
Host
Mouse
Gene
MX1
Purity
Protein A or G purified
Innovator's Reward
Test in a species/application not listed above to receive a full credit towards a future purchase.

Applications/Dilutions

Dilutions
  • Immunohistochemistry-Paraffin 1-2ug/ml for 30 minutes at RT
Application Notes
Immunohistochemistry-Paraffin 1-2ug/ml for 30 minutes at RT. Optimal dilution for a specific application should be determined.. Staining of formalin-fixed tissues requires heating tissue sections in 10mM Tris with 1mM EDTA, pH 9.0, for 45 min at 95C followed by cooling at RT for 20 minutes

Packaging, Storage & Formulations

Storage
Store at -20 to -80C. Avoid freeze-thaw cycles.
Buffer
10mM PBS
Preservative
No Preservative
Concentration
1 mg/ml
Purity
Protein A or G purified

Alternate Names for MxA/Mx1 Antibody (MX1/7530) - Azide and BSA Free

  • human interferon-regulated resistance GTP-binding protein MXA10IFI-78Khomolog of murine (interferon-inducibleprotein p78)
  • IFI78
  • IFI-78K
  • Mx1
  • MxA
  • myxovirus (influenza virus) resistance 1, interferon-inducible protein p78(mouse)

Background

In mouse, the interferon-inducible Mx protein is responsible for a specific antiviral state against influenza virus infection. The protein encoded by this gene is similar to the mouse protein as determined by its antigenic relatedness, induction conditions, physicochemical properties, and amino acid analysis. This cytoplasmic protein is a member of both the dynamin family and the family of large GTPases. [provided by RefSeq]

Limitations

This product is for research use only and is not approved for use in humans or in clinical diagnosis. Primary Antibodies are guaranteed for 1 year from date of receipt.

Customers Who Viewed This Item Also Viewed...

NBP2-75930
Species: Hu, Mu, Rt
Applications: Flow, ICC/IF, IHC,  IHC-P, WB
NBP1-77266
Species: Hu, Mu, Rt
Applications: ELISA, ICC/IF, IHC,  IHC-P, WB
AF8519
Species: Hu, Mu, Rt
Applications: Simple Western, WB
8499-IF
Species: Hu
Applications: BA
485-MI
Species: Mu
Applications: BA
NBP1-81018
Species: Hu
Applications: IHC,  IHC-P
AF2894
Species: Hu, Mu
Applications: CyTOF-ready, ICFlow, Simple Western, WB
UL-553
Species: Hu
Applications: EnzAct
NBP2-22124
Species: Hu, Mu, Pm
Applications: ELISA, Flow, ICC/IF, IHC,  IHC-P, WB
M6000B
Species: Mu
Applications: ELISA
MAB1233
Species: Hu
Applications: CyTOF-ready, Flow, ICC, IP
NBP2-24875
Species: Ca, Hu, Mu
Applications: BA, B/N, Flow-IC, Flow, ICC/IF, IHC,  IHC-P, WB
AF5550
Species: Mu, Rt
Applications: WB
NBP2-67634
Species: Hu, Mu, Rt, Ze
Applications: Flow, ICC/IF, IHC,  IHC-P, IP, WB
NBP2-02340
Species: Hu, Pm, Mu, Rt
Applications: Flow, ICC/IF, IHC,  IHC-P, WB
NBP2-24906
Species: Hu, Mu, Rt
Applications: BA, DB, Flow-IC, Flow, ICC/IF, IHC, IHC-Fr,  IHC-P, IP, PLA, Simple Western, WB
NBP2-16991
Species: Hu
Applications: ELISA, ICC/IF, IHC,  IHC-P, WB
DIP100
Species: Hu
Applications: ELISA

Publications for MxA/Mx1 Antibody (NBP3-26971) (0)

There are no publications for MxA/Mx1 Antibody (NBP3-26971).
By submitting your publication information earn gift cards and discounts for future purchases.

Reviews for MxA/Mx1 Antibody (NBP3-26971) (0)

There are no reviews for MxA/Mx1 Antibody (NBP3-26971). By submitting a review you will receive an Amazon e-Gift Card or Novus Product Discount.
  • Review with no image -- $10/€7/£6/$10 CAD/¥70 Yuan/¥1110 Yen
  • Review with an image -- $25/€18/£15/$25 CAD/¥150 Yuan/¥2500 Yen

Product General Protocols

Find general support by application which include: protocols, troubleshooting, illustrated assays, videos and webinars.

FAQs for MxA/Mx1 Antibody (NBP3-26971) (0)

There are no specific FAQs related to this product. Read our general customer & technical service FAQs.

Secondary Antibodies

 

Isotype Controls

Additional MxA/Mx1 Products

Research Areas for MxA/Mx1 Antibody (NBP3-26971)

Find related products by research area.

Blogs on MxA/Mx1

There are no specific blogs for MxA/Mx1, but you can read our latest blog posts.

Customers Who Bought This Also Bought

Contact Information

Product PDFs

Calculators

Concentration Calculator

The concentration calculator allows you to quickly calculate the volume, mass or concentration of your vial. Simply enter your mass, volume, or concentration values for your reagent and the calculator will determine the rest.

=
÷

Review this Product

Be the first to review our MxA/Mx1 Antibody (MX1/7530) - Azide and BSA Free and receive a gift card or discount.

Bioinformatics

Gene Symbol MX1