MVP Antibody (r1032) - Azide and BSA Free

Images

 
Western Blot: MVP Antibody (r1032) - Azide and BSA Free [NBP3-23976] - Western blot analysis of U-87, A549 & SK-BR3 cell lysate using MVP Antibody (r1032)
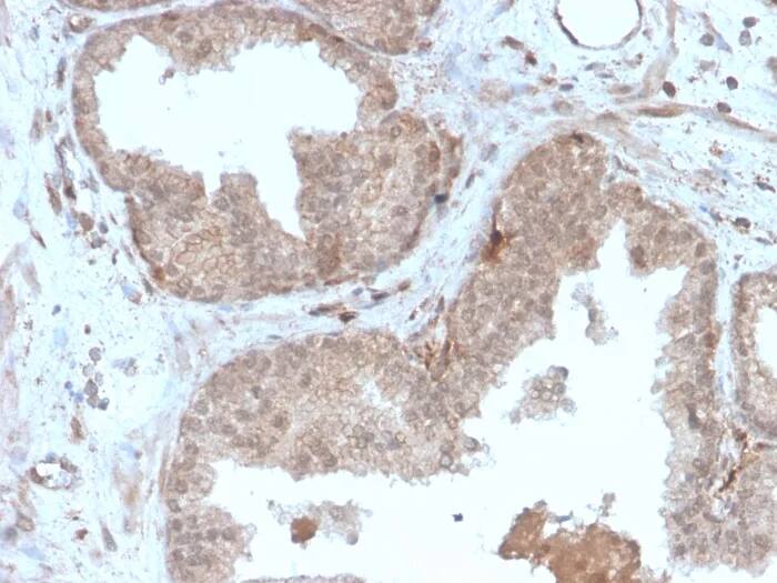
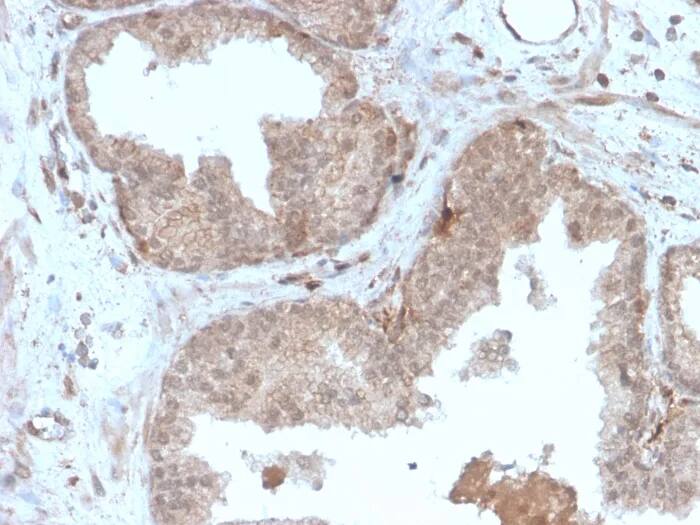
Immunohistochemistry-Paraffin: MVP Antibody (r1032) - Azide and BSA Free [NBP3-23976] - Formalin-fixed, paraffin-embedded human prostate stained with MVP Antibody (r1032)

Product Details

Summary
Reactivity HuSpecies Glossary
Applications WB, IHC
Clone
r1032
Clonality
Monoclonal
Host
Mouse
Conjugate
Unconjugated
Format
Azide and BSA Free
Concentration
1 mg/ml

Order Details

MVP Antibody (r1032) - Azide and BSA Free Summary

Description
Antibody without azide - store at -20 to -80C.
Additional Information
Recombinant Monoclonal Antibody
Immunogen
Proteins precipitated from human breast cancer MCF-7 cells
Localization
Cytoplasm.
Isotype
IgG1 Kappa
Clonality
Monoclonal
Host
Mouse
Gene
MVP
Purity
Protein A or G purified
Innovator's Reward
Test in a species/application not listed above to receive a full credit towards a future purchase.

Applications/Dilutions

Dilutions
  • Immunohistochemistry-Paraffin 1-2ug/ml
  • Western Blot 1-2ug/ml
Application Notes
Immunohistochemistry-Paraffin: 1-2ug/ml for 30 minutes at RT. Staining of formalin-fixed tissues requires heating tissue sections in 10mM Tris with 1mM EDTA, pH 9.0, for 45 min at 95C followed by cooling at RT for 20 minutes. Optimal dilution for a specific application should be determined.

Packaging, Storage & Formulations

Storage
Store at -20 to -80C. Avoid freeze-thaw cycles.
Buffer
10mM PBS
Preservative
No Preservative
Concentration
1 mg/ml
Purity
Protein A or G purified

Alternate Names for MVP Antibody (r1032) - Azide and BSA Free

  • LRPVAULT1
  • Lung resistance-related protein
  • major vault protein

Background

MVP encodes the major vault protein which is a lung resistance-related protein. Vaults are multi-subunit structures that may be involved in nucleo-cytoplasmic transport. This protein mediates drug resistance, perhaps via a transport process. It is widely distributed in normal tissues, and overexpressed in multidrug-resistant cancer cells. The protein overexpression is a potentially useful marker of clinical drug resistance. This gene produces two transcripts by using two alternative exon 2 sequences; however, the open reading frames are the same in both transcripts.

Limitations

This product is for research use only and is not approved for use in humans or in clinical diagnosis. Primary Antibodies are guaranteed for 1 year from date of receipt.

Customers Who Viewed This Item Also Viewed...

NB400-156
Species: Hu, Mu, Rt
Applications: CyTOF-ready, Dual ISH-IHC, ELISA, Flow, ICC/IF, IHC, IP, Simple Western, WB
NBP2-67667
Species: Hu, Mu, Rt
Applications: ICC/IF, IHC, IHC-Fr,  IHC-P, WB
NBP3-46186
Species: Hu, Mu, Rt
Applications: ELISA, IHC, IP, WB
NBP2-38160
Species: Hu
Applications: ICC/IF, IHC,  IHC-P
NBP2-22124
Species: Hu, Mu, Pm
Applications: ELISA, Flow, ICC/IF, IHC,  IHC-P, WB
NBP3-24587
Species: Hu
Applications: ICC/IF, IHC,  IHC-P, WB
AF2255
Species: Mu
Applications: Block, CyTOF-ready, Flow, IHC, WB
NB100-556
Species: Hu
Applications: IP, WB
NBP2-13415
Species: Hu
Applications: ICC/IF, IHC,  IHC-P
AF6278
Species: Hu, Mu
Applications: WB
NBP1-89334
Species: Hu, Mu, Rt
Applications: ICC/IF, IHC,  IHC-P, WB
NB110-60531
Species: Hu, Mu, Rt(-)
Applications: CyTOF-ready, ELISA, Flow-IC, Flow, ICC/IF, IHC,  IHC-P, IP, WB
DTPA00
Species: Hu
Applications: ELISA
1310-SE
Species: Hu
Applications: EnzAct
NBP2-13075
Species: Ba, Hu, Pm, Mu, Rt
Applications: DB, ELISA, IB, ICC/IF, IHC-FrFl, IHC, IHC-Fr,  IHC-P, IP, WB
AF7197
Species: Hu, Mu
Applications: ICC, IHC, WB
DKK300
Species: Hu
Applications: ELISA
NBP1-69023
Species: Mu
Applications: WB

Publications for MVP Antibody (NBP3-23976) (0)

There are no publications for MVP Antibody (NBP3-23976).
By submitting your publication information earn gift cards and discounts for future purchases.

Reviews for MVP Antibody (NBP3-23976) (0)

There are no reviews for MVP Antibody (NBP3-23976). By submitting a review you will receive an Amazon e-Gift Card or Novus Product Discount.
  • Review with no image -- $10/€7/£6/$10 CAD/¥70 Yuan/¥1110 Yen
  • Review with an image -- $25/€18/£15/$25 CAD/¥150 Yuan/¥2500 Yen

Product General Protocols

Find general support by application which include: protocols, troubleshooting, illustrated assays, videos and webinars.

Video Protocols

WB Video Protocol

FAQs for MVP Antibody (NBP3-23976). (Showing 1 - 1 of 1 FAQ).

  1. Are there any MVP antibodies that will recognize mouse and can be used for immunofluorescence?
    • At this time we do not have an MVP antibody that will recognize mouse and has been used for immunofluorescence. If you would like to try an antibody in an untested species or application you would qualify for our Innovator's Reward program. Through this program if you complete an online review with image, detailing your positive or negative results we will send you a discount voucher for 100% of the purchase price of the reviewed product.

Secondary Antibodies

 

Isotype Controls

Additional MVP Products

Research Areas for MVP Antibody (NBP3-23976)

Find related products by research area.

Blogs on MVP

There are no specific blogs for MVP, but you can read our latest blog posts.

Customers Who Bought This Also Bought

Contact Information

Product PDFs

Calculators

Concentration Calculator

The concentration calculator allows you to quickly calculate the volume, mass or concentration of your vial. Simply enter your mass, volume, or concentration values for your reagent and the calculator will determine the rest.

=
÷

Review this Product

Be the first to review our MVP Antibody (r1032) - Azide and BSA Free and receive a gift card or discount.

Bioinformatics

Gene Symbol MVP