MSH2 Antibody (10G1)

Images

 
Western Blot: MSH2 Antibody (10G1) [NBP2-76895] - Western blot analysis of MSH2 on K562 cells lysates using anti-MSH2 antibody.Lane 1: Anti-MSH2 antibody, 1:500.Lane 2: Anti-MSH2 antibody, 1:5,000.
Immunohistochemistry-Paraffin: MSH2 Antibody (10G1) [NBP2-76895] - Immunohistochemical analysis of paraffin-embedded human kidney tissue using anti-MSH2 antibody. The section was pre-treated using heat mediated antigen ...read more
Immunohistochemistry: MSH2 Antibody (10G1) [NBP2-76895] - Immunohistochemical analysis of paraffin-embedded human breast cancer tissue using anti-MSH2 antibody. Counter stained with hematoxylin. The section was ...read more
Immunohistochemistry: MSH2 Antibody (10G1) [NBP2-76895] - Immunohistochemical analysis of paraffin-embedded human kidney tissue using anti-MSH2 antibody. Counter stained with hematoxylin. The section was pre-treated ...read more
Immunohistochemistry: MSH2 Antibody (10G1) [NBP2-76895] - Immunohistochemical analysis of paraffin-embedded rat brain tissue using anti-MSH2 antibody. Counter stained with hematoxylin. The section was pre-treated using ...read more
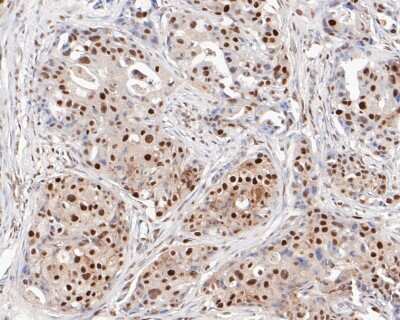
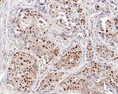
Immunohistochemistry-Paraffin: MSH2 Antibody (10G1) [NBP2-76895] - Immunohistochemical analysis of paraffin-embedded human breast carcinoma tissue using anti-MSH2 antibody. The section was pre-treated using heat ...read more

Product Details

Summary
Product Discontinued
View other related MSH2 Primary Antibodies

Order Details


    • Catalog Number
      NBP2-76895
    • Availability
      Product Discontinued

    Can't find what you are looking for? Use our Antibody Concierge Service & we will help you locate your antibody!

    Or feel free to contact us for alternative products.

MSH2 Antibody (10G1) Summary

Immunogen
Synthetic peptide within N-terminal human MSH2. (SwissProt: P43246 Human; SwissProt: P54275 Rat)
Localization
Nucleus, Chromosome.
Isotype
IgG2b
Clonality
Monoclonal
Host
Mouse
Gene
MSH2
Purity
Protein G purified
Innovator's Reward
Test in a species/application not listed above to receive a full credit towards a future purchase.

Applications/Dilutions

Dilutions
  • Immunohistochemistry
  • Immunohistochemistry-Paraffin 1:100-1:1000
  • Western Blot 1:2000-1:5000
Theoretical MW
104 kDa.
Disclaimer note: The observed molecular weight of the protein may vary from the listed predicted molecular weight due to post translational modifications, post translation cleavages, relative charges, and other experimental factors.

Packaging, Storage & Formulations

Storage
Store at 4C short term. Aliquot and store at -20C long term. Avoid freeze-thaw cycles.
Buffer
PBS (pH7.4), 0.2% BSA, 50% Glycerol
Preservative
0.05% Sodium Azide
Concentration
2 mg/ml
Purity
Protein G purified

Alternate Names for MSH2 Antibody (10G1)

  • COCA1
  • DNA mismatch repair protein Msh2
  • FCC1
  • hMSH2
  • HNPCC
  • HNPCC1
  • HNPCC1mutS (E. coli) homolog 2 (colon cancer, nonpolyposis type 1)
  • LCFS2
  • MSH2
  • mutS homolog 2, colon cancer, nonpolyposis type 1 (E. coli)
  • MutS protein homolog 2

Background

MSH2 was identified as a locus frequently mutated in hereditary nonpolyposis colon cancer (HNPCC). When cloned, it was discovered to be a human homolog of the E. coli mismatch repair gene mutS, consistent with the characteristic alterations in microsatellite sequences (RER+ phenotype) found in HNPCC.

Limitations

This product is for research use only and is not approved for use in humans or in clinical diagnosis. Primary Antibodies are guaranteed for 1 year from date of receipt.

Customers Who Viewed This Item Also Viewed...

NBP2-67381
Species: Hu, Mu, Rt
Applications: Flow, ICC/IF, IHC,  IHC-P, IP, KO, WB
NBP1-83319
Species: Hu, Mu, Rt
Applications: ICC/IF, IHC,  IHC-P, WB
AF2535
Species: Mu
Applications: CyTOF-ready, Flow, IHC, WB
NBP2-46459
Species: Hu
Applications: ICC/IF, IHC,  IHC-P, WB
NB200-103
Species: Hu, Mu, Rt, Xp(-), Ye
Applications: CyTOF-ready, ELISA, Flow-IC, Flow, ICC/IF, IHC, IHC-Fr,  IHC-P, IP, WB
NBP3-24587
Species: Hu
Applications: ICC/IF, IHC,  IHC-P, WB
NBP3-13739
Species: Hu
Applications: ELISA, Flow, ICC/IF, IP, PA
NB100-91662
Species: Hu, Mu, Rt
Applications: Flow, ICC/IF, IHC,  IHC-P, Simple Western, WB
AF4885
Species: Mu
Applications: IP, WB
NBP2-02377
Species: Hu, Mu, Rt
Applications: Flow, ICC/IF, IHC,  IHC-P, WB
NB100-404
Species: Hu
Applications: ChIP, ICC/IF, IHC,  IHC-P, IP, KD, KO, WB
MAB2476
Species: Hu
Applications: IHC, WB
NB200-106
Species: Mu, Rt
Applications: ELISA, ICC/IF, IHC, IHC-Fr,  IHC-P, WB
NB500-106
Species: Ch, Dr, Fi, Hu, Mar, Mu, Po, Pm, Rb, Rt, Ye, Ze
Applications: ChIP, ChIP, ELISA, Flow, ICC/IF, IHC-FrFl, IHC, IHC-Fr,  IHC-P, IP, Simple Western, WB
NBP2-16391
Species: Hu, Mu
Applications: ICC/IF, WB
NBP1-47668
Species: Hu, Pm, Mu, Rt
Applications: Flow, ICC/IF, IHC,  IHC-P, IP, WB
NBP2-29463
Species: Pm, Hu, Pm, Mu
Applications: Flow, ICC/IF, IHC,  IHC-P, WB
NBP2-42864
Species: Hu, Mu, Rt
Applications: ICC/IF, IHC,  IHC-P, IP, WB

Publications for MSH2 Antibody (NBP2-76895) (0)

There are no publications for MSH2 Antibody (NBP2-76895).
By submitting your publication information earn gift cards and discounts for future purchases.

Reviews for MSH2 Antibody (NBP2-76895) (0)

There are no reviews for MSH2 Antibody (NBP2-76895). By submitting a review you will receive an Amazon e-Gift Card or Novus Product Discount.
  • Review with no image -- $10/€7/£6/$10 CAD/¥70 Yuan/¥1110 Yen
  • Review with an image -- $25/€18/£15/$25 CAD/¥150 Yuan/¥2500 Yen

Product General Protocols

Find general support by application which include: protocols, troubleshooting, illustrated assays, videos and webinars.

Video Protocols

WB Video Protocol

FAQs for MSH2 Antibody (NBP2-76895) (0)

There are no specific FAQs related to this product. Read our general customer & technical service FAQs.

Contact Information

Product PDFs

Calculators

Concentration Calculator

The concentration calculator allows you to quickly calculate the volume, mass or concentration of your vial. Simply enter your mass, volume, or concentration values for your reagent and the calculator will determine the rest.

=
÷

Review this Product

Be the first to review our MSH2 Antibody (10G1) and receive a gift card or discount.

Bioinformatics

Gene Symbol MSH2