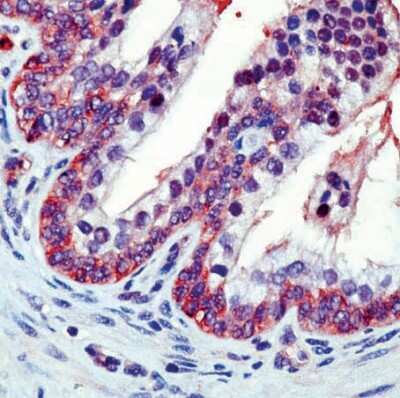
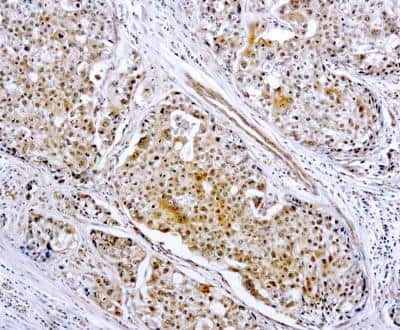
| Immunogen | A synthetic peptide from the middle region of human MMP-9. |
| Localization | Cytoplasmic |
| Specificity | This reacts with the 92 kDa pro form and 86 kDa active form of MMP-9. |
| Isotype | IgG |
| Clonality | Polyclonal |
| Host | Rabbit |
| Gene | MMP9 |
| Purity | Affinity purified |
| Innovator's Reward | Test in a species/application not listed above to receive a full credit towards a future purchase. |
| Dilutions |
|
|
| Application Notes | IHC-P: recommended incubation time of 30 min at RT. |
|
| Publications |
|
| Storage | Store at 4C. |
| Buffer | PBS (pH 7.4), 0.2% BSA, Tween-20 |
| Preservative | 0.05% Sodium Azide |
| Purity | Affinity purified |
Secondary Antibodies |
Isotype Controls |
Research Areas for MMP-9 Antibody (NB600-1217)Find related products by research area.
|
|
Cytokeratin 18 - A Intermediate Filament Cyotskeletal Component Keratins, also called cytokeratins, are a family of filamentous structural proteins that form the intermediate filaments within epithelial cells. Keratins are differentially expressed depending on both the epithelial cell origin and degree of differen... Read full blog post. |
The concentration calculator allows you to quickly calculate the volume, mass or concentration of your vial. Simply enter your mass, volume, or concentration values for your reagent and the calculator will determine the rest.