MGST3 Antibody (JB40-79)

Images

 
Western Blot: MGST3 Antibody (JB40-79) [NBP2-75573] - Analysis of MGST3 on different lysates. Proteins were transferred to a PVDF membrane and blocked with 5% BSA in PBS for 1 hour at room temperature. The primary ...read more
Immunocytochemistry/ Immunofluorescence: MGST3 Antibody (JB40-79) [NBP2-75573] - Staining GST3 in LOVO cells (green). The nuclear counter stain is DAPI (blue). Cells were fixed in paraformaldehyde, permeabilised with ...read more
Immunohistochemistry-Paraffin: MGST3 Antibody (JB40-79) [NBP2-75573] - Analysis of paraffin-embedded human lung squamous carcinoma tissue with Rabbit anti-MGST3 antibody washed with ddH2O and PBS, and then probed with ...read more
Western Blot: MGST3 Antibody (JB40-79) [NBP2-75573] - Analysis of GST3 on mouse liver tissue (1) and A549 cell (2) lysate using anti-GST3 antibody at 1/500 dilution.
Immunocytochemistry/ Immunofluorescence: MGST3 Antibody (JB40-79) [NBP2-75573] - Staining GST3 in A431 cells (green). The nuclear counter stain is DAPI (blue). Cells were fixed in paraformaldehyde, permeabilised with ...read more
Immunocytochemistry/ Immunofluorescence: MGST3 Antibody (JB40-79) [NBP2-75573] - Staining GST3 in A549 cells (green). The nuclear counter stain is DAPI (blue). Cells were fixed in paraformaldehyde, permeabilised with ...read more
Immunohistochemistry-Paraffin: MGST3 Antibody (JB40-79) [NBP2-75573] - Analysis of paraffin-embedded human liver tissue using anti-GST3 antibody. Counter stained with hematoxylin.
Immunohistochemistry-Paraffin: MGST3 Antibody (JB40-79) [NBP2-75573] - Analysis of paraffin-embedded human placenta tissue using anti-GST3 antibody. Counter stained with hematoxylin.
Immunohistochemistry-Paraffin: MGST3 Antibody (JB40-79) [NBP2-75573] - Analysis of paraffin-embedded mouse fallopian tube tissue using anti-GST3 antibody. Counter stained with hematoxylin.
Immunohistochemistry-Paraffin: MGST3 Antibody (JB40-79) [NBP2-75573] - Analysis of paraffin-embedded rat epididymis tissue using anti-GST3 antibody. Counter stained with hematoxylin.
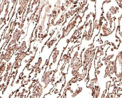
Immunohistochemistry-Paraffin: MGST3 Antibody (JB40-79) [NBP2-75573] - Analysis of paraffin-embedded human lung tissue with Rabbit anti-MGST3 antibody washed with ddH2O and PBS, and then probed with the primary antibody ...read more

Product Details

Summary
Product Discontinued
View other related MGST3 Primary Antibodies

Order Details


    • Catalog Number
      NBP2-75573
    • Availability
      Product Discontinued

    Can't find what you are looking for? Use our Antibody Concierge Service & we will help you locate your antibody!

    Or feel free to contact us for alternative products.

MGST3 Antibody (JB40-79) Summary

Additional Information
Recombinant Monoclonal Antibody.
Immunogen
Recombinant protein within Human MGST3aa 70-210 / 210. (SwissProt: P09211 Human; SwissProt: P19157 Mouse; SwissProt: P04906 Rat)
Localization
Cytoplasm, Mitochondrion, Nucleus.
Isotype
IgG
Clonality
Monoclonal
Host
Rabbit
Gene
MGST3
Purity
Protein A purified
Innovator's Reward
Test in a species/application not listed above to receive a full credit towards a future purchase.

Applications/Dilutions

Dilutions
  • Immunocytochemistry/ Immunofluorescence 1:50-1:200
  • Immunohistochemistry
  • Immunohistochemistry-Paraffin 1:50-1:200
  • Western Blot 1:500-1:1000
Theoretical MW
23 kDa.
Disclaimer note: The observed molecular weight of the protein may vary from the listed predicted molecular weight due to post translational modifications, post translation cleavages, relative charges, and other experimental factors.

Packaging, Storage & Formulations

Storage
Store at 4C short term. Aliquot and store at -20C long term. Avoid freeze-thaw cycles.
Buffer
TBS (pH7.4), 0.05% BSA, 40% Glycerol
Preservative
0.05% Sodium Azide
Concentration
1 mg/ml
Purity
Protein A purified

Alternate Names for MGST3 Antibody (JB40-79)

  • EC 2.5.1.18
  • GST-III
  • microsomal glutathione S-transferase 3
  • microsomal glutathione S-transferase III
  • Microsomal GST-3
  • Microsomal GST-III

Background

The MAPEG (Membrane Associated Proteins in Eicosanoid and Glutathione metabolism) family consists of six human proteins, several of which are involved the production of leukotrienes and prostaglandin E, important mediators of inflammation. This gene encodes an enzyme which catalyzes the conjugation of leukotriene A4 and reduced glutathione to produce leukotriene C4. This enzyme also demonstrates glutathione-dependent peroxidase activity towards lipid hydroperoxides.

Limitations

This product is for research use only and is not approved for use in humans or in clinical diagnosis. Primary Antibodies are guaranteed for 1 year from date of receipt.

Customers Who Viewed This Item Also Viewed...

NBP1-69315
Species: Hu
Applications: WB
NBP1-82653
Species: Hu
Applications: IHC,  IHC-P, WB
NBP3-15316
Species: Hu, Mu, Rt
Applications: ELISA, ICC/IF, IHC,  IHC-P, WB
NBP2-16686
Species: Hu
Applications: ICC/IF, IHC,  IHC-P, KO, WB
NB300-891
Species: Hu, Mu, Rt
Applications: Flow, ICC/IF, IHC,  IHC-P, PEP-ELISA
NBP2-49118
Species: Hu
Applications: IHC,  IHC-P
NBP2-16756
Species: Hu, Mu, Rt
Applications: ICC/IF, IHC, IHC-Fr,  IHC-P, WB
NB110-58748
Species: Hu, Mu
Applications: ICC/IF, KD, Simple Western, WB
NBP1-47829
Species: Ca, Hu, Pm, Mu, Rt
Applications: IHC,  IHC-P, IP, WB
NBP1-87852
Species: Hu, Mu
Applications: ICC/IF, IHC,  IHC-P
211-TBB/CF
Species: Hu
Applications: BA
NBP1-32822
Species: Al, Av, Hu, Mu, Pl, Rt, Ze
Applications: ChIP, Flow, ICC/IF, IHC,  IHC-P, IP, KD, Simple Western, WB
NB100-128
Species: Hu, Mu, Rt
Applications: ChIP, GS, ICC/IF, IHC,  IHC-P, WB
PP-N4111-00
Species: Hu
Applications: IHC, IP, WB
PP-H4417-00
Species: Hu
Applications: DirELISA, IP, WB
NBP2-75088
Species: Hu, Rt
Applications: IHC,  IHC-P, PEP-ELISA, WB
NBP1-83323
Species: Hu
Applications: IHC,  IHC-P
NBP2-20383
Species: Hu, Mu
Applications: ICC/IF, IHC,  IHC-P, WB

Publications for MGST3 Antibody (NBP2-75573) (0)

There are no publications for MGST3 Antibody (NBP2-75573).
By submitting your publication information earn gift cards and discounts for future purchases.

Reviews for MGST3 Antibody (NBP2-75573) (0)

There are no reviews for MGST3 Antibody (NBP2-75573). By submitting a review you will receive an Amazon e-Gift Card or Novus Product Discount.
  • Review with no image -- $10/€7/£6/$10 CAD/¥70 Yuan/¥1110 Yen
  • Review with an image -- $25/€18/£15/$25 CAD/¥150 Yuan/¥2500 Yen

Product General Protocols

Find general support by application which include: protocols, troubleshooting, illustrated assays, videos and webinars.

Video Protocols

WB Video Protocol
ICC/IF Video Protocol

FAQs for MGST3 Antibody (NBP2-75573) (0)

There are no specific FAQs related to this product. Read our general customer & technical service FAQs.

Contact Information

Product PDFs

Calculators

Concentration Calculator

The concentration calculator allows you to quickly calculate the volume, mass or concentration of your vial. Simply enter your mass, volume, or concentration values for your reagent and the calculator will determine the rest.

=
÷

Review this Product

Be the first to review our MGST3 Antibody (JB40-79) and receive a gift card or discount.

Bioinformatics

Gene Symbol MGST3