Metadherin Antibody

Images

 
Western Blot: LYRIC Antibody [H00092140-D01P] - Analysis of MTDH expression in transfected 293T cell line by MTDH polyclonal antibody.Lane 1: MTDH transfected lysate(63.80 KDa).Lane 2: Non-transfected lysate.
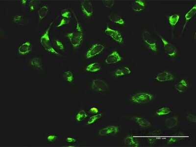
Immunocytochemistry/ Immunofluorescence: LYRIC Antibody [H00092140-D01P] - Analysis of antibody to MTDH on HeLa cell. Antibody concentration 10 ug/ml.

Product Details

Summary
Product Discontinued
View other related Metadherin Primary Antibodies

Order Details


    • Catalog Number
      H00092140-D01P
    • Availability
      Product Discontinued

    Can't find what you are looking for? Use our Antibody Concierge Service & we will help you locate your antibody!

    Or feel free to contact us for alternative products.

Metadherin Antibody Summary

Immunogen
MTDH (NP_848927.1, 1 a.a. - 582 a.a.) full-length human protein. MAARSWQDELAQQAEEGSARLREMLSVGLGFLRTELGLDLGLEPKRYPGWVILVGTGALGLLLLFLLGYGWAAACAGSRKKRRSPPRKREEAAAVPAAAPDDLALLKNLRSEEQKKKNRKKLSEKPKPNGRTVEVAEGEAVRTPQSVTAKQPPEIDKKNEKSKKNKKKSKSDAKAVQNSSRHDGKEVDEGAWETKISHREKRQQRKRDKVLTDSGSLDSTIPGIENTITVTTEQLTTASFPVGSKKNKGDSHLNVQVSNFKSGKGDSTLQVSSGLNENLTVNGGGWNEKSVKLSSQISAGEEKWNSVSPASAGKRKAEPSAWSQDTGDANTNGKDWGRSWSDRSIFSGIGSTAEPVSQSTTSDYQWDVSRNQPYIDDEWSGLNGLSSADPNSDWNAPAEEWGNWVDEERASLLKSQEPIPDDQKVSDDDKEKGEGALPTGKSKKKKKKKKKQGEDNSTAQDTEELEKEIREDLPVNTSKTRPKQEKAFSLKTISTSDPAEVLVKNSQPIKTLPPATSTEPSVILSKSDSDKSSSQVPPILQETDKSKSNTKQNSVPPSQTKSETSWESPKQIKKKKKARRET
Isotype
IgG
Clonality
Polyclonal
Host
Rabbit
Gene
MTDH
Purity
Protein G purified
Innovator's Reward
Test in a species/application not listed above to receive a full credit towards a future purchase.

Applications/Dilutions

Dilutions
  • Immunocytochemistry/ Immunofluorescence
  • Western Blot
Application Notes
This antibody is useful for Western Blot, Functional

Packaging, Storage & Formulations

Storage
Aliquot and store at -20C or -80C. Avoid freeze-thaw cycles.
Buffer
PBS (pH 7.4)
Preservative
No Preservative
Purity
Protein G purified

Notes

This product is produced by and distributed for Abnova, a company based in Taiwan.

Alternate Names for Metadherin Antibody

  • 3D3
  • AEG1
  • AEG-13D3/LYRIC
  • AEG1LYRIC/3D3
  • Astrocyte elevated gene-1 protein
  • LYRIC
  • LYRICMetastasis adhesion protein
  • Lysine-rich CEACAM1 co-isolated protein
  • Metadherin
  • MTDH
  • protein LYRIC

Background

LYRIC is a type II membrane protein, the precise role of which has yet to be defined. It is expressed in breast and prostate carcinoma and is a potential mediator of lung metastasis. It has also been found in mouse Purkinje neurons and cerebellum. In epithelial cells it is recruited to tight junctions (TJ) during the maturation of the TJ complexes. LYRIC co-localizes with beta-catenin in normal and tumour tissues.

Limitations

This product is for research use only and is not approved for use in humans or in clinical diagnosis. Primary Antibodies are guaranteed for 1 year from date of receipt.

Customers Who Viewed This Item Also Viewed...

AF887
Species: Hu, Mu, Rt
Applications: CyTOF-ready, IHC, ICFlow, Simple Western, WB
NB100-56583
Species: Hu, Rb, Rt
Applications: Flow, IHC,  IHC-P, KO, Simple Western, WB
NBP1-20136
Species: Hu, Pm, Mu, Rt
Applications: Flow, ICC/IF, IHC,  IHC-P, In vivo, ISH, WB
NB600-302
Species: Bv, Dr, Hu, Mu
Applications: ChIP, ELISA, Flow-IC, Flow, IB, ICC/IF, IHC, IHC-Fr,  IHC-P, IP, PLA, S-ELISA, Simple Western, WB
NBP2-19804
Species: Hu, Mu
Applications: ICC/IF, IHC,  IHC-P, WB
NBP2-15071
Species: Hu, Mu, Rt
Applications: ICC/IF, IHC,  IHC-P, KO, WB
NBP2-46404
Species: Hu, Mu, Rt
Applications: IHC,  IHC-P
NBP2-29463
Species: Pm, Hu, Pm, Mu
Applications: Flow, ICC/IF, IHC,  IHC-P, WB
DMP900
Species: Hu
Applications: ELISA
NB200-103
Species: Hu, Mu, Rt, Xp(-), Ye
Applications: CyTOF-ready, ELISA, Flow-IC, Flow, ICC/IF, IHC, IHC-Fr,  IHC-P, IP, WB
NBP2-94469
Species: Hu, Mu, Rt
Applications: ICC/IF, IHC,  IHC-P, IP, KO, WB
NBP1-85047
Species: Hu, Mu, Po, Rt
Applications: ICC/IF, IHC,  IHC-P, WB
NB100-56566
Species: Bv, Hu, Ma, Mu, Po, Rt
Applications: B/N, ChIP, CyTOF-ready, DB, Dual ISH-IHC, ELISA(Cap), ELISA, Flow-CS, Flow-IC, Flow, ICC/IF, IHC, IHC-Fr,  IHC-P, In vitro, KD, KO, PAGE, Simple Western, WB
MAB22441
Species: Hu
Applications: ELISA(Cap), ELISA(Det), ELISA(Sta), IHC, WB

Publications for Metadherin Antibody (H00092140-D01P) (0)

There are no publications for Metadherin Antibody (H00092140-D01P).
By submitting your publication information earn gift cards and discounts for future purchases.

Reviews for Metadherin Antibody (H00092140-D01P) (0)

There are no reviews for Metadherin Antibody (H00092140-D01P). By submitting a review you will receive an Amazon e-Gift Card or Novus Product Discount.
  • Review with no image -- $10/€7/£6/$10 CAD/¥70 Yuan/¥1110 Yen
  • Review with an image -- $25/€18/£15/$25 CAD/¥150 Yuan/¥2500 Yen

Product General Protocols

Find general support by application which include: protocols, troubleshooting, illustrated assays, videos and webinars.

Video Protocols

WB Video Protocol
ICC/IF Video Protocol

FAQs for Metadherin Antibody (H00092140-D01P) (0)

There are no specific FAQs related to this product. Read our general customer & technical service FAQs.

Secondary Antibodies

 

Isotype Controls

Additional Metadherin Products

Research Areas for Metadherin Antibody (H00092140-D01P)

Find related products by research area.

Blogs on Metadherin

There are no specific blogs for Metadherin, but you can read our latest blog posts.

Contact Information

Product PDFs

Calculators

Concentration Calculator

The concentration calculator allows you to quickly calculate the volume, mass or concentration of your vial. Simply enter your mass, volume, or concentration values for your reagent and the calculator will determine the rest.

=
÷

Review this Product

Be the first to review our Metadherin Antibody and receive a gift card or discount.

Bioinformatics

Gene Symbol MTDH
Uniprot