MEK2 Antibody (SR13-07) Summary
| Additional Information |
Recombinant Monoclonal Antibody. |
| Immunogen |
Recombinant protein within Human MEK2 aa 1-393 / 393. (SwissProt: P36507 Human; SwissProt: Q02750 Human; SwissProt: P31938 Mouse; SwissProt: Q63932 Mouse; SwissProt: P36506 Rat; SwissProt: Q01986 Rat) |
| Localization |
Cytoplasm, Nucleus, Membrane, Mitochondrion |
| Isotype |
IgG |
| Clonality |
Monoclonal |
| Host |
Rabbit |
| Gene |
MAP2K2 |
| Purity |
Protein A purified |
| Innovator's Reward |
Test in a species/application not listed above to receive a full credit towards a future purchase. |
Applications/Dilutions
| Dilutions |
- Immunocytochemistry/ Immunofluorescence 1:50-1:200
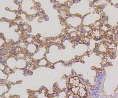
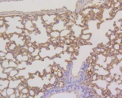
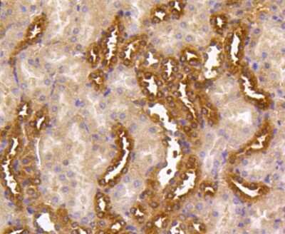
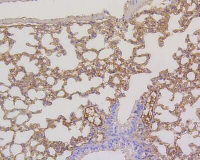
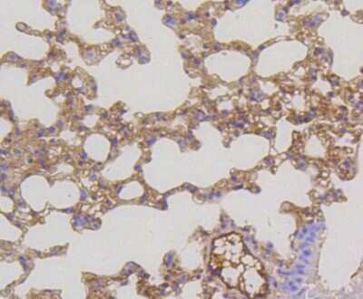
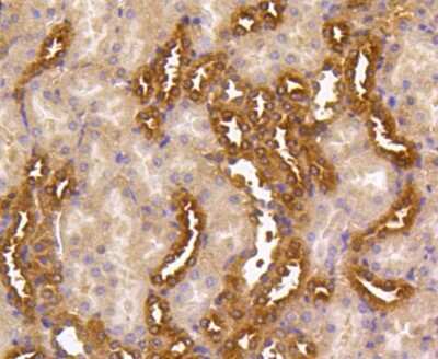
- Immunohistochemistry
- Immunohistochemistry-Paraffin 1:200
- Immunoprecipitation
- Western Blot 1:1000-1:5000
|
Packaging, Storage & Formulations
| Storage |
Store at 4C short term. Aliquot and store at -20C long term. Avoid freeze-thaw cycles. |
| Buffer |
TBS (pH7.4), 0.05% BSA, 40% Glycerol |
| Preservative |
0.05% Sodium Azide |
| Concentration |
1 mg/ml |
| Purity |
Protein A purified |
Alternate Names for MEK2 Antibody (SR13-07)
Background
MEK1 and MEK2 (MAPK kinase 1/2, or ERK kinase 1/2) are mitogen-activated protein kinases that stimulate MAP kinase activity, playing a role in both cell growth and differentiation (1,2). MEK itself is activated via phosphorylation at serines 217/218 and 221/222 by upstream activator kinases, including c-raf, mos and MEK kinase (3,4). MEK1 and MEK2 are activated by a wide variety of growth factors and cytokines, and also by membrane depolarization and calcium influx (5).
Limitations
This product is for research use only and is not approved for use in humans or in clinical diagnosis. Primary Antibodies are
guaranteed for 1 year from date of receipt.
Customers Who Viewed This Item Also Viewed...
Species: Hu, Mu, Rt
Applications: ICC/IF, IHC, IHC-P, WB
Species: Hu, Mu, Rt
Applications: ELISA
Species: Hu, Mu, Rt
Applications: IHC, KO, WB
Species: Hu, Mu
Applications: CyTOF-ready, Flow, ICC, IHC, Simple Western, WB
Species: Hu, Mu, Rt
Applications: ICC, IHC, Simple Western, WB
Species: Hu, Mu, Rt
Applications: IHC, Simple Western, WB
Species: Hu
Applications: ICC/IF, IHC, IHC-P, WB
Species: Hu
Applications: ICC/IF, IHC, IHC-P, WB
Species: Hu, Mu, Rt
Applications: CyTOF-ready, IHC, ICFlow, Simple Western, WB
Species: Hu, Mu, Rt
Applications: ICC/IF, IHC, IHC-P, WB
Species: Hu
Applications: BA
Species: Hu, Pm, Mu, Rt
Applications: Flow, ICC/IF, IHC, IHC-P, IP, WB
Species: Hu
Applications: BA
Species: Hu, Mu, Rt
Applications: ICC, WB
Species: Hu, Mu, Rt
Applications: IHC, KO, Simple Western, WB
Species: Hu, Mu, Rt
Applications: ELISA, ICC/IF, KD, WB
Species: Hu
Applications: CyTOF-ready, Dual ISH-IHC, ELISA(Cap), ELISA(Det), ELISA(Sta), Flow, ICC, IHC, IP, Simple Western, WB
Species: Hu, Mu, Rt, Ze
Applications: WB, ICC/IF, IHC, IP
Publications for MEK2 Antibody (NBP2-67332) (0)
There are no publications for MEK2 Antibody (NBP2-67332).
By submitting your publication information earn gift cards and discounts for future purchases.
Reviews for MEK2 Antibody (NBP2-67332) (0)
There are no reviews for MEK2 Antibody (NBP2-67332).
By submitting a review you will receive an Amazon e-Gift Card or Novus Product Discount.
- Review with no image -- $10/€7/£6/$10 CAD/¥70 Yuan/¥1110 Yen
- Review with an image -- $25/€18/£15/$25 CAD/¥150 Yuan/¥2500 Yen
Product General Protocols
Find general support by application which include: protocols, troubleshooting, illustrated assays, videos and webinars.
Video Protocols
FAQs for MEK2 Antibody (NBP2-67332) (0)
Secondary Antibodies
| |
Isotype Controls
|
Additional MEK2 Products
Research Areas for MEK2 Antibody (NBP2-67332)
Find related products by research area.
|
Blogs on MEK2