MEF2A Antibody (JA33-04)

Images

 
Western Blot: MEF2A Antibody (JA33-04) [NBP2-66943] - Analysis of MEF2A on rat spleen tissue lysate using anti-MEF2A antibody at 1/1,000 dilution.
Immunohistochemistry-Paraffin: MEF2A Antibody (JA33-04) [NBP2-66943] - Analysis of paraffin-embedded mouse spleen tissue using anti-MEF2A antibody. Counter stained with hematoxylin.
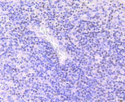
Immunohistochemistry-Paraffin: MEF2A Antibody (JA33-04) [NBP2-66943] - Analysis of paraffin-embedded human spleen tissue using anti-MEF2A antibody. Counter stained with hematoxylin.
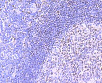
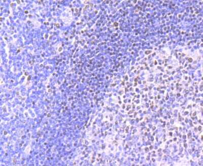
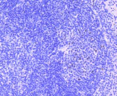
Immunohistochemistry-Paraffin: MEF2A Antibody (JA33-04) [NBP2-66943] - Analysis of paraffin-embedded human tonsil tissue using anti-MEF2A antibody. Counter stained with hematoxylin.
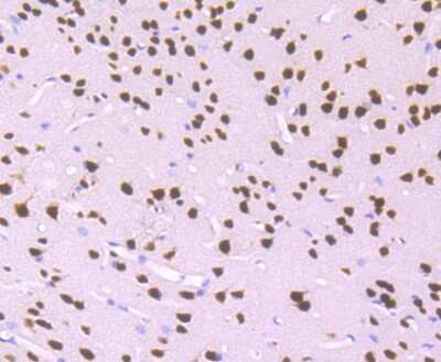
Immunohistochemistry-Paraffin: MEF2A Antibody (JA33-04) [NBP2-66943] - Analysis of paraffin-embedded mouse cerebral cortex tissue using anti-MEF2A antibody. Counter stained with hematoxylin.
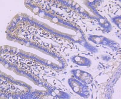
Immunohistochemistry-Paraffin: MEF2A Antibody (JA33-04) [NBP2-66943] - Analysis of paraffin-embedded mouse colon tissue using anti-MEF2A antibody. Counter stained with hematoxylin.
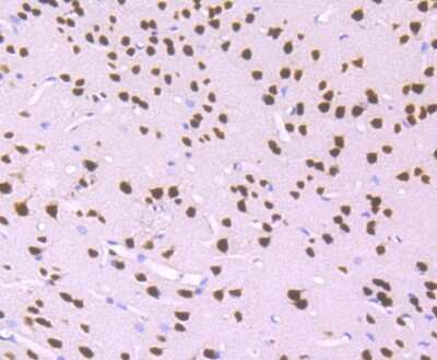
Immunohistochemistry-Paraffin: MEF2A Antibody (JA33-04) [NBP2-66943] - Analysis of paraffin-embedded mouse hippocampus tissue using anti-MEF2A antibody. Counter stained with hematoxylin.

Product Details

Summary
Product Discontinued
View other related MEF2A Primary Antibodies

Order Details


    • Catalog Number
      NBP2-66943
    • Availability
      Product Discontinued

    Can't find what you are looking for? Use our Antibody Concierge Service & we will help you locate your antibody!

    Or feel free to contact us for alternative products.

MEF2A Antibody (JA33-04) Summary

Additional Information
Recombinant Monoclonal Antibody.
Immunogen
Recombinant protein with Human MEF2A aa 415-507 / 507. (SwissProt: Q02078 Human; SwissProt: Q60929 Mouse; SwissProt: Q2MJT0 Rat)
Localization
Nucleus.
Isotype
IgG
Clonality
Monoclonal
Host
Rabbit
Gene
MEF2A
Purity
Protein A purified
Innovator's Reward
Test in a species/application not listed above to receive a full credit towards a future purchase.

Applications/Dilutions

Dilutions
  • Immunocytochemistry/ Immunofluorescence 1:50-1:200
  • Immunohistochemistry
  • Immunohistochemistry-Paraffin 1:200-1:500
  • Western Blot 1:500

Packaging, Storage & Formulations

Storage
Store at 4C short term. Aliquot and store at -20C long term. Avoid freeze-thaw cycles.
Buffer
TBS (pH7.4), 0.05% BSA, 40% Glycerol
Preservative
0.05% Sodium Azide
Concentration
1 mg/ml
Purity
Protein A purified

Alternate Names for MEF2A Antibody (JA33-04)

  • ADCAD1
  • MADS box transcription enhancer factor 2, polypeptide A (myocyte enhancerfactor 2A)
  • MEF2
  • myocyte enhancer factor 2A
  • myocyte-specific enhancer factor 2A
  • RSRFC4
  • RSRFC9
  • Serum response factor-like protein 1

Background

MEF2A (myocyte specific enhancer factor 2) is a transcription factor protein that belongs to MEF2 family, a family of DNA binding regulatory proteins. MEF2 family members (MEF2A, 2B, 2C, and 2D) are highly expressed during dendritic maturation and synapse formation in the brain and are involved in the regulation of development and function of T-cell, muscle cells, and brain cells (1). Highly expressed during synaptogenesis, MEF2A binds to MEF2 element present in the regulatory regions in various muscle specific genes and activates transcription. MEF2A has been implicated in cardiac and skeletal muscle development (2).

Limitations

This product is for research use only and is not approved for use in humans or in clinical diagnosis. Primary Antibodies are guaranteed for 1 year from date of receipt.

Customers Who Viewed This Item Also Viewed...

NBP1-89468
Species: Hu
Applications: ChIP-EXO-SEQ, ICC/IF, IHC,  IHC-P, WB
NB100-56511
Species: Hu, Mu
Applications: Flow, ICC/IF, IHC, IHC-Fr,  IHC-P, IP, KD, KO, WB
NBP1-85788
Species: Hu, Mu, Rt
Applications: ChIP-EXO-SEQ, ELISA, ICC/IF, IHC,  IHC-P, Simple Western, WB
MAB66861
Species: Hu
Applications: ICC, WB
NBP3-13785
Species: Hu
Applications: ELISA, Flow, ICC/IF,  IHC-P, IP, PA, WB
NBP1-49533
Species: Hu, Mu, Pl, Rt
Applications: Flow-IC, Flow, ICC/IF, IHC,  IHC-P, KD, WB
NBP2-22151
Species: Hu, Mu, Pm, Rt
Applications: ICC/IF, IHC,  IHC-P, Simple Western, WB
NBP2-22152
Species: Hu, Mu, Pm, Rt
Applications: ChIP, ChIP, ICC/IF, IHC,  IHC-P, WB
NBP2-45952
Species: Hu, Mu, Rt
Applications: IHC,  IHC-P, WB
AF2848
Species: Hu, Mu
Applications: ICC, WB
NBP2-67471
Species: Hu, Mu, Rt
Applications: ICC/IF, IHC,  IHC-P, WB
AF1230
Species: Hu, Mu, Rt
Applications: IHC, KO, WB
AF8691
Species: Hu, Mu, Rt
Applications: IHC, KO, Simple Western, WB
NBP2-44245
Species: Hu, Mu, Rt
Applications: IHC,  IHC-P, WB
MAB1417
Species: Bv, Hu, Mu
Applications: ICC, IHC
NBP1-52030
Species: Hu
Applications: PEP-ELISA, WB
DYC1825-2
Species: Hu, Mu, Rt
Applications: ELISA
H00056731-M02
Species: Hu
Applications: ELISA, ICC/IF, WB

Publications for MEF2A Antibody (NBP2-66943) (0)

There are no publications for MEF2A Antibody (NBP2-66943).
By submitting your publication information earn gift cards and discounts for future purchases.

Reviews for MEF2A Antibody (NBP2-66943) (0)

There are no reviews for MEF2A Antibody (NBP2-66943). By submitting a review you will receive an Amazon e-Gift Card or Novus Product Discount.
  • Review with no image -- $10/€7/£6/$10 CAD/¥70 Yuan/¥1110 Yen
  • Review with an image -- $25/€18/£15/$25 CAD/¥150 Yuan/¥2500 Yen

Product General Protocols

Find general support by application which include: protocols, troubleshooting, illustrated assays, videos and webinars.

Video Protocols

WB Video Protocol
ICC/IF Video Protocol

FAQs for MEF2A Antibody (NBP2-66943) (0)

There are no specific FAQs related to this product. Read our general customer & technical service FAQs.

Contact Information

Product PDFs

Calculators

Concentration Calculator

The concentration calculator allows you to quickly calculate the volume, mass or concentration of your vial. Simply enter your mass, volume, or concentration values for your reagent and the calculator will determine the rest.

=
÷

Review this Product

Be the first to review our MEF2A Antibody (JA33-04) and receive a gift card or discount.

Bioinformatics

Gene Symbol MEF2A