Mammaglobin A Antibody (MGB/7980R) - Azide and BSA Free

Images

 
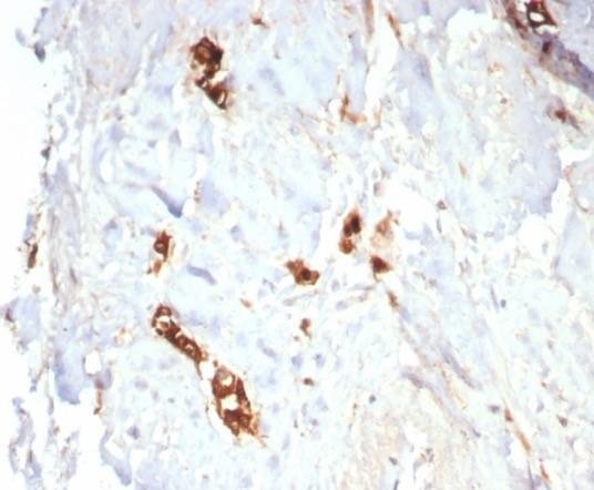
Formalin-fixed, paraffin-embedded human lactating breast stained with Mammaglobin A antibody (MGB/7980R). HIER: Tris/EDTA, pH9.0, 45min. Secondary: HRP-polymer, 30min. DAB, 5min.

Product Details

Summary
Reactivity HuSpecies Glossary
Applications IHC
Clone
MGB/7980R
Clonality
Monoclonal
Host
Rabbit
Conjugate
Unconjugated
Format
Azide and BSA Free
Concentration
1 mg/ml

Order Details

Mammaglobin A Antibody (MGB/7980R) - Azide and BSA Free Summary

Description
Positive Controls: HeLa, MCF-7 or T47D cells. Human breast carcinoma.

Antibody with azide - store at 2 to 8C. Antibody without azide - store at -20 to -80C. Non-hazardous. No MSDS required.
Additional Information
Recombinant Monoclonal Antibody
Immunogen
Recombinant fragment of human Mammaglobin A protein (exact sequence is proprietary)
Localization
Cytoplasm.
Isotype
IgG Kappa
Clonality
Monoclonal
Host
Rabbit
Gene
SCGB2A2
Purity
Protein A or G purified
Innovator's Reward
Test in a species/application not listed above to receive a full credit towards a future purchase.

Applications/Dilutions

Dilutions
  • Immunohistochemistry-Paraffin 1-2 ug/ml
Application Notes
Immunohistochemistry (Formalin-fixed): 1-2ug/ml for 30 minutes. at RT. Staining of formalin-fixed tissues requires heating tissue sections in 10mM Tris with 1mM EDTA, pH 9.0, for 45 min at 95C followed by cooling at RT for 20 minutes.

Optimal dilution for a specific application should be determined.

Packaging, Storage & Formulations

Storage
Store at -20 to -70C. Avoid freeze-thaw cycles.
Buffer
10mM PBS
Preservative
No Preservative
Concentration
1 mg/ml
Purity
Protein A or G purified

Alternate Names for Mammaglobin A Antibody (MGB/7980R) - Azide and BSA Free

  • mammaglobin 1
  • mammaglobin A
  • Mammaglobin-1
  • MGB1mammaglobin-A
  • MGC71974
  • Secretoglobin family 2A member 2
  • secretoglobin, family 2A, member 2
  • UGB2mammaglobin-1

Background

Mammaglobin is a gene that is expressed almost exclusively in the normal breast epithelium and human breast cancer. It is a member of the secretoglobin gene family and forms a heterodimer with lipophilin B. It has been suggested that mammaglobin may be a useful marker for breast cancer clinical research. Studies investigating the detection of mRNA by RT PCR from circulating carcinoma cells in the peripheral blood of breast cancer patients have shown that mammaglobin is a highly specific marker and correlates with several prognostic factors, such as lymph node involvement.

Limitations

This product is for research use only and is not approved for use in humans or in clinical diagnosis. Primary Antibodies are guaranteed for 1 year from date of receipt.

Customers Who Viewed This Item Also Viewed...

MAB4218
Species: Hu
Applications: IHC, WB
NB100-687
Species: Hu, Mu, Rt
Applications: Flow, ICC/IF, IHC,  IHC-P, Simple Western, WB
NB100-1020
Species: Hu
Applications: IHC,  IHC-P, PEP-ELISA, WB
NBP1-87736
Species: Hu
Applications: IHC,  IHC-P, WB
NBP1-83386
Species: Hu
Applications: IHC,  IHC-P, PLA, WB
NBP2-36776
Species: Hu
Applications: ICC/IF, IHC,  IHC-P, KD, WB
NB200-540
Species: Ec, Mu
Applications: CyTOF-ready, Flow-IC, Flow, IA, ICC/IF, IHC, IHC-Fr,  IHC-P, IP
NB120-22711
Species: Hu, Mu
Applications: ELISA, Flow, ICC/IF, IHC, IHC-Fr,  IHC-P
1129-ER
Species: Hu
Applications: BA
NBP2-34594
Species: Hu, Pm
Applications: CyTOF-ready, Flow, ICC/IF, IHC,  IHC-P
AF4478
Species: Hu
Applications: IHC, WB
NBP3-41306
Species: Hu, Mu, Rt
Applications: WB
NBP3-45890
Species: Hu, Mu, Rt
Applications: ELISA, ICC/IF, IHC
NBP1-88527
Species: Hu, Mu, Rt
Applications: IHC,  IHC-P, WB
NBP2-93935
Species: Hu, Mu, Rt
Applications: ICC/IF, WB
AF5415
Species: Hu
Applications: ICC, IHC, Simple Western, WB
AF1936
Species: Hu
Applications: IP, WB
NBP3-21098
Species: Hu
Applications: IHC

Publications for Mammaglobin A Antibody (NBP3-21098) (0)

There are no publications for Mammaglobin A Antibody (NBP3-21098).
By submitting your publication information earn gift cards and discounts for future purchases.

Reviews for Mammaglobin A Antibody (NBP3-21098) (0)

There are no reviews for Mammaglobin A Antibody (NBP3-21098). By submitting a review you will receive an Amazon e-Gift Card or Novus Product Discount.
  • Review with no image -- $10/€7/£6/$10 CAD/¥70 Yuan/¥1110 Yen
  • Review with an image -- $25/€18/£15/$25 CAD/¥150 Yuan/¥2500 Yen

Product General Protocols

Find general support by application which include: protocols, troubleshooting, illustrated assays, videos and webinars.

FAQs for Mammaglobin A Antibody (NBP3-21098) (0)

There are no specific FAQs related to this product. Read our general customer & technical service FAQs.

Customers Who Bought This Also Bought

Contact Information

Product PDFs

Calculators

Concentration Calculator

The concentration calculator allows you to quickly calculate the volume, mass or concentration of your vial. Simply enter your mass, volume, or concentration values for your reagent and the calculator will determine the rest.

=
÷

Review this Product

Be the first to review our Mammaglobin A Antibody (MGB/7980R) - Azide and BSA Free and receive a gift card or discount.

Bioinformatics

Gene Symbol SCGB2A2