LPCAT1 Antibody

Images

 
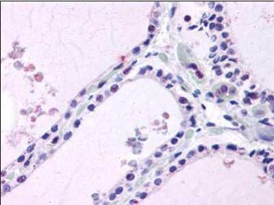
Immunohistochemistry-Paraffin: LPCAT1 Antibody [NBP1-50174] - Analysis of anti-LPCAT1 antibody with human thyroid.
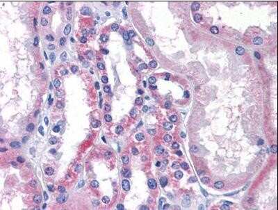
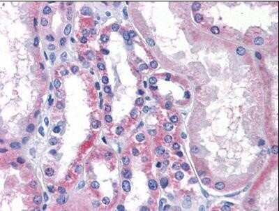
Immunohistochemistry-Paraffin: LPCAT1 Antibody [NBP1-50174] - Analysis of anti-LPCAT1 antibody with human kidney.

Product Details

Summary
Product Discontinued
View other related LPCAT1 Primary Antibodies

Order Details


    • Catalog Number
      NBP1-50174
    • Availability
      Product Discontinued

    Can't find what you are looking for? Use our Antibody Concierge Service & we will help you locate your antibody!

    Or feel free to contact us for alternative products.

LPCAT1 Antibody Summary

Immunogen
Synthetic 15 amino acid peptide from internal region of human LPCAT1.
Specificity
Human LPCAT1. BLAST analysis of the peptide immunogen showed no homology with other human proteins, except LPCAT2 (60%).
Predicted Species
Turkey (100%), Xenopus (93%), Bat (93%), Bovine (93%), Opossum (100%). Backed by our 100% Guarantee.
Isotype
IgG
Clonality
Polyclonal
Host
Rabbit
Gene
LPCAT1
Purity
Immunogen affinity purified
Innovator's Reward
Test in a species/application not listed above to receive a full credit towards a future purchase.

Applications/Dilutions

Dilutions
  • Immunohistochemistry
  • Immunohistochemistry-Paraffin 10 ug/ml

Reactivity Notes

Predicted cross-reactivity based on sequence identity: Gorilla (100%), Gibbon (100%), Marmoset (100%), Equine (80%).

Packaging, Storage & Formulations

Storage
Store at 4C short term. Aliquot and store at -20C long term. Avoid freeze-thaw cycles.
Buffer
PBS
Preservative
0.1% Sodium Azide
Concentration
1 mg/ml
Purity
Immunogen affinity purified

Alternate Names for LPCAT1 Antibody

  • 1-acylglycerophosphocholine O-acyltransferase
  • Acetyl-CoA:lyso-PAF acetyltransferase
  • Acetyl-CoA:lyso-platelet-activating factor acetyltransferase
  • acyl-CoA:lysophosphatidylcholine acyltransferase 1
  • acyltransferase like 2
  • Acyltransferase-like 2
  • AYTL2
  • EC 2.3.1.-
  • EC 2.3.1.23,1-alkylglycerophosphocholine O-acetyltransferase
  • EC 2.3.1.67
  • FLJ12443
  • FLJ41609
  • LPC acyltransferase 1
  • lpcat
  • LPCAT-1
  • Lyso-PAF acetyltransferase
  • lysoPAFAT
  • LysoPC acyltransferase 1
  • lysophosphatidylcholine acyltransferase 1
  • PFAAP3
  • Phosphonoformate immuno-associated protein 3
  • regulated by phosphonoformate

Background

Lysophosphatidylcholine (LPC) acyltransferase (LPCAT; EC 2.3.1.23) catalyzes the conversion of LPC tophosphatidylcholine (PC) in the remodeling pathway of PC biosynthesis (Nakanishi et al., 2006 (PubMed16704971)).(supplied by OMIM)

Limitations

This product is for research use only and is not approved for use in humans or in clinical diagnosis. Primary Antibodies are guaranteed for 1 year from date of receipt.

Customers Who Viewed This Item Also Viewed...

H00151056-B01P
Species: Hu, Mu
Applications: WB
MAB5018
Species: Hu
Applications: IP, WB
MAB2669
Species: Hu
Applications: IHC, Simple Western, WB
NBP2-57898
Species: Hu
Applications: IHC,  IHC-P, Simple Western, WB
NBP1-81838
Species: Hu, Mu
Applications: IHC,  IHC-P, WB
NBP1-31344
Species: Hu, Mu
Applications: ICC/IF, IHC,  IHC-P, WB
NBP3-04752
Species: Hu, Mu, Rt
Applications: ELISA, IHC,  IHC-P, WB
NBP1-88921
Species: Hu, Mu, Rt
Applications: ICC/IF, IHC, IHC-Fr,  IHC-P, WB
NBP1-82236
Species: Hu
Applications: IHC,  IHC-P
NB100-796
Species: Hu
Applications: IHC,  IHC-P, PEP-ELISA, WB
NBP1-92440
Species: Hu
Applications: IHC,  IHC-P
NBP2-27104
Species: Hu, Mu, Pm
Applications: IHC,  IHC-P, WB
2984-SE
Species: Hu
Applications: EnzAct
NBP1-05950
Species: Hu, Mu
Applications: ICC/IF, WB
NBP1-55258
Species: Hu
Applications: WB
MAB1455
Species: Hu
Applications: CyTOF-ready, Dual ISH-IHC, ICC, IHC, ICFlow, Simple Western, WB
DPLG70
Species: Hu
Applications: ELISA
NBP1-32452
Species: Hu, Mu, Rt
Applications: WB
NBP1-50174
Species: Hu, Mu, Rt, Po, Ca, Ch, Ha, Pm, Pm, Sh, Ze, Bt, Bv, Ma-Op, Tr, Xp
Applications: IHC

Publications for LPCAT1 Antibody (NBP1-50174) (0)

There are no publications for LPCAT1 Antibody (NBP1-50174).
By submitting your publication information earn gift cards and discounts for future purchases.

Reviews for LPCAT1 Antibody (NBP1-50174) (0)

There are no reviews for LPCAT1 Antibody (NBP1-50174). By submitting a review you will receive an Amazon e-Gift Card or Novus Product Discount.
  • Review with no image -- $10/€7/£6/$10 CAD/¥70 Yuan/¥1110 Yen
  • Review with an image -- $25/€18/£15/$25 CAD/¥150 Yuan/¥2500 Yen

Product General Protocols

Find general support by application which include: protocols, troubleshooting, illustrated assays, videos and webinars.

FAQs for LPCAT1 Antibody (NBP1-50174) (0)

There are no specific FAQs related to this product. Read our general customer & technical service FAQs.

Contact Information

Product PDFs

Calculators

Concentration Calculator

The concentration calculator allows you to quickly calculate the volume, mass or concentration of your vial. Simply enter your mass, volume, or concentration values for your reagent and the calculator will determine the rest.

=
÷

Review this Product

Be the first to review our LPCAT1 Antibody and receive a gift card or discount.

Bioinformatics

Gene Symbol LPCAT1
Entrez
Uniprot