Leukotriene B4 Receptor 2 Antibody

Images

 
Immunohistochemistry-Paraffin: Leukotriene B4 Receptor 2 Antibody [NLS2099] - Lung, Adenocarcinoma
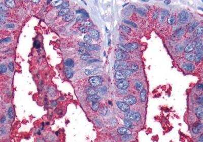
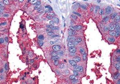
Immunohistochemistry-Paraffin: Leukotriene B4 Receptor 2 Antibody [NLS2099] - Analysis of anti-LTB4R2 / BLT2 antibody with human colon, carcinoma and leukocytes.
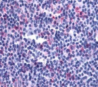
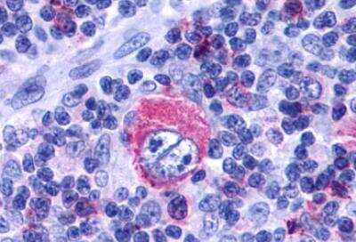
Immunohistochemistry-Paraffin: Leukotriene B4 Receptor 2 Antibody [NLS2099] - Human Lymph Node, Hodgkins Lymphoma. Immunohistochemistry of formalin-fixed, paraffin-embedded tissue after heat-induced antigen retrieval.
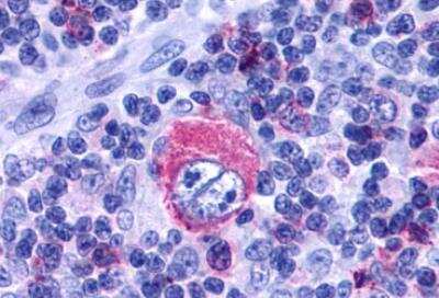
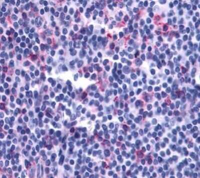
Immunohistochemistry-Paraffin: Leukotriene B4 Receptor 2 Antibody [NLS2099] - Anti-LTB4R2 antibody IHC of human tonsil. Immunohistochemistry of formalin-fixed, paraffin-embedded tissue after heat-induced antigen ...read more
Immunohistochemistry-Paraffin: Leukotriene B4 Receptor 2 Antibody [NLS2099] - Breast, carcinoma
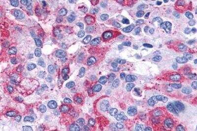
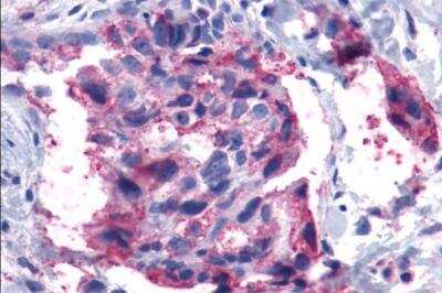
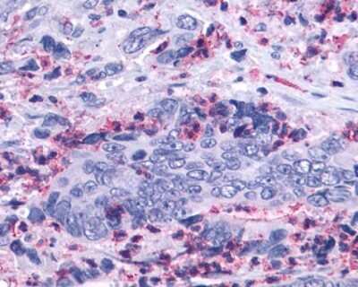
Immunohistochemistry-Paraffin: Leukotriene B4 Receptor 2 Antibody [NLS2099] - Colon, carcinoma

Product Details

Summary
Product Discontinued
View other related Leukotriene B4 Receptor 2 Primary Antibodies

Order Details


    • Catalog Number
      NLS2099
    • Availability
      Product Discontinued

    Can't find what you are looking for? Use our Antibody Concierge Service & we will help you locate your antibody!

    Or feel free to contact us for alternative products.

Leukotriene B4 Receptor 2 Antibody Summary

Immunogen
Synthetic 16 amino acid peptide from 3rd cytoplasmic domain of human Leukotriene B4 Receptor 2.
Epitope
3rd cytoplasmic domain of human
Specificity
Human LTB4R2. BLAST analysis of the peptide immunogen showed no homology with other human proteins.
Isotype
IgG
Clonality
Polyclonal
Host
Rabbit
Gene
LTB4R2
Purity
Immunogen affinity purified
Innovator's Reward
Test in a species/application not listed above to receive a full credit towards a future purchase.

Applications/Dilutions

Dilutions
  • Flow Cytometry 1:10 - 1:1000
  • Immunohistochemistry
  • Immunohistochemistry-Frozen 1:10 - 1:500
  • Immunohistochemistry-Paraffin 26 ug/ml

Reactivity Notes

Predicted cross-reactivity based on sequence identity: Gorilla (100%), Marmoset (100%), Mouse (88%), Rat (88%), Bat (88%).

Packaging, Storage & Formulations

Storage
Store at 4C short term. Aliquot and store at -20C long term. Avoid freeze-thaw cycles.
Buffer
PBS
Preservative
0.1% Sodium Azide
Concentration
1.0 mg/ml
Purity
Immunogen affinity purified

Alternate Names for Leukotriene B4 Receptor 2 Antibody

  • BLT2
  • BLT2LTB4 receptor JULF2
  • BLT2R
  • BLTR2
  • BLTR2LTB4-R2
  • JULF2
  • KPG_004
  • Leukotriene B4 R2
  • leukotriene B4 receptor 2
  • Leukotriene B4 receptor BLT2
  • Leukotriene B4R2
  • LTB4-R 2
  • LTB4R2
  • NOP9
  • Seven transmembrane receptor BLTR2

Background

BLTR2 is a Chemoattractant Receptor that causes LTB4-induced chemotaxis, calcium mobilization, and inhibition of adenylyl cyclase. Portions of the coding regions of BLTR2 have been duplicated and are part of the 5' UTR noncoding regions of the clusters BLT1 and CIDE-B on chromosome 14. BLTR2 has been reported in humans in peripheral blood leukocytes, mononuclear lymphocytes, and spleen. ESTs have been isolated from a broad array of human libraries, including brain, eye, fetal lung/testis/B-cell, heart, kidney, melanocyte/uterus/fetal heart, testis, tonsil, and uterus libraries.

Limitations

This product is for research use only and is not approved for use in humans or in clinical diagnosis. Primary Antibodies are guaranteed for 1 year from date of receipt.

Customers Who Viewed This Item Also Viewed...

NBP2-27422
Species: Hu, Pm
Applications: Flow, IHC,  IHC-P, WB
MAB1684
Species: Hu
Applications: WB
NBP2-25196
Species: Hu, Mu
Applications: CyTOF-ready, Flow, ICC/IF, In vitro, WB
NBP1-31546
Species: Hu, Mu, Rt
Applications: Flow, ICC/IF, IHC,  IHC-P, IP, WB
NB110-58748
Species: Hu, Mu
Applications: ICC/IF, KD, Simple Western, WB
AF1230
Species: Hu, Mu, Rt
Applications: IHC, KO, WB
AF887
Species: Hu, Mu, Rt
Applications: CyTOF-ready, IHC, ICFlow, Simple Western, WB
NB110-58748
Species: Hu, Mu
Applications: ICC/IF, KD, Simple Western, WB
NB100-56583
Species: Hu, Rb, Rt
Applications: Flow, IHC,  IHC-P, KO, Simple Western, WB
211-TBB/CF
Species: Hu
Applications: BA
AF467
Species: Hu, Mu
Applications: CyTOF-ready, Flow, ICC, IHC, Simple Western, WB
NBP2-22203
Species: Hu, Pm, Mu, Rt
Applications: ELISA, Flow, ICC/IF, IHC,  IHC-P, WB
M6000B
Species: Mu
Applications: ELISA
MAB208
Species: Hu
Applications: CyTOF-ready, ELISA(Cap), ELISA(Det), ELISA(Sta), ICC, ICFlow, Neut, Simple Western, WB
NLS418
Species: Hu
Applications: IHC,  IHC-P
NLS2756
Species: Hu, Pm
Applications: ICC, IHC,  IHC-P
MAB8458
Species: Hu
Applications: CyTOF-ready, Flow, ICC

Publications for Leukotriene B4 Receptor 2 Antibody (NLS2099) (0)

There are no publications for Leukotriene B4 Receptor 2 Antibody (NLS2099).
By submitting your publication information earn gift cards and discounts for future purchases.

Reviews for Leukotriene B4 Receptor 2 Antibody (NLS2099) (0)

There are no reviews for Leukotriene B4 Receptor 2 Antibody (NLS2099). By submitting a review you will receive an Amazon e-Gift Card or Novus Product Discount.
  • Review with no image -- $10/€7/£6/$10 CAD/¥70 Yuan/¥1110 Yen
  • Review with an image -- $25/€18/£15/$25 CAD/¥150 Yuan/¥2500 Yen

Product General Protocols

View specific protocols for Leukotriene B4 Receptor 2 Antibody (NLS2099): Find general support by application which include: protocols, troubleshooting, illustrated assays, videos and webinars.

FAQs for Leukotriene B4 Receptor 2 Antibody (NLS2099) (0)

There are no specific FAQs related to this product. Read our general customer & technical service FAQs.

Secondary Antibodies

 

Isotype Controls

Additional Leukotriene B4 Receptor 2 Products

Research Areas for Leukotriene B4 Receptor 2 Antibody (NLS2099)

Find related products by research area.

Blogs on Leukotriene B4 Receptor 2

There are no specific blogs for Leukotriene B4 Receptor 2, but you can read our latest blog posts.

Contact Information

Product PDFs

Calculators

Concentration Calculator

The concentration calculator allows you to quickly calculate the volume, mass or concentration of your vial. Simply enter your mass, volume, or concentration values for your reagent and the calculator will determine the rest.

=
÷

Review this Product

Be the first to review our Leukotriene B4 Receptor 2 Antibody and receive a gift card or discount.

Bioinformatics

Gene Symbol LTB4R2
Entrez