LAPTM5 Antibody - Azide and BSA Free

Images

 
Western Blot: LAPTM5 Antibody [NBP2-94465] - Analysis of extracts of Rat thymus, using LAPTM5 antibody at 1:1000 dilution.Secondary antibody: HRP Goat Anti-Rabbit IgG (H+L) at 1:10000 dilution.Lysates/proteins: 25ug ...read more
Western Blot: LAPTM5 Antibody [NBP2-94465] - Analysis of extracts of various cell lines, using LAPTM5 antibody at 1:1000 dilution.Secondary antibody: HRP Goat Anti-Rabbit IgG (H+L) at 1:10000 dilution.Lysates/proteins: ...read more

Product Details

Summary
Reactivity Hu, Mu, RtSpecies Glossary
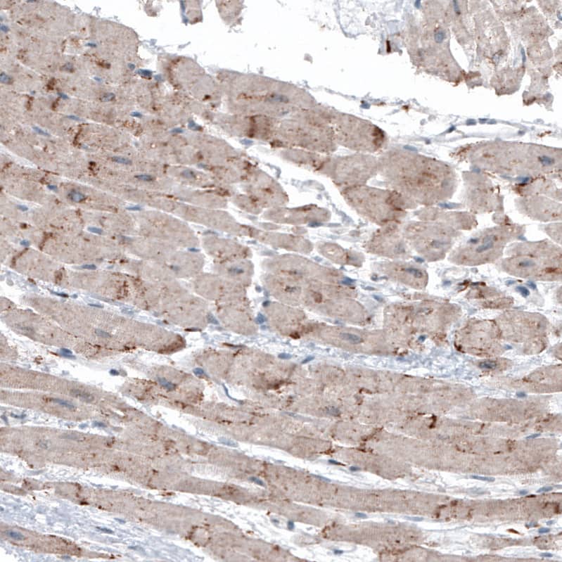
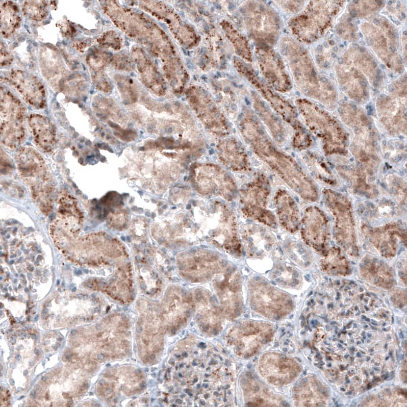
Applications WB, ELISA
Clonality
Polyclonal
Host
Rabbit
Conjugate
Unconjugated
Format
Azide and BSA Free

Order Details

View Available Formulations
Catalog# & Formulation Size Price

LAPTM5 Antibody - Azide and BSA Free Summary

Immunogen
Recombinant fusion protein containing a sequence corresponding to amino acids 153-262 of human LAPTM5 (NP_006753.1). SSYMEVPTYLNFKSMNHMNYLPSQEDMPHNQFIKMMIIFSIAFITVLIFKVYMFKCVWRCYRLIKCMNSVEEKRNSKMLQKVVLPSYEEALSLPSKTPEGGPAPPPYSEV
Isotype
IgG
Clonality
Polyclonal
Host
Rabbit
Gene
LAPTM5
Purity
Affinity purified
Innovator's Reward
Test in a species/application not listed above to receive a full credit towards a future purchase.

Applications/Dilutions

Dilutions
  • ELISA
  • Western Blot 1:500 - 1:1000
Theoretical MW
30 kDa.
Disclaimer note: The observed molecular weight of the protein may vary from the listed predicted molecular weight due to post translational modifications, post translation cleavages, relative charges, and other experimental factors.

Packaging, Storage & Formulations

Storage
Store at -20C. Avoid freeze-thaw cycles.
Buffer
PBS (pH 7.3), 50% glycerol
Preservative
0.02% Sodium Azide
Purity
Affinity purified

Alternate Names for LAPTM5 Antibody - Azide and BSA Free

  • CD40-ligand-activated specific transcripts
  • CLAST6
  • FLJ61683
  • FLJ97251
  • human retinoic acid-inducible E3 protein
  • KIAA0085
  • lysosomal associated multispanning membrane protein 5
  • lysosomal multispanning membrane protein 5
  • lysosomal protein transmembrane 5
  • Lysosomal-associated multitransmembrane protein 5
  • lysosomal-associated transmembrane protein 5
  • MGC125860
  • MGC125861
  • Retinoic acid-inducible E3 protein

Background

The LAPTM5 gene encodes a transmembrane receptor that is associated with lysosomes. The encoded protein, also known as E3 protein, may play a role in hematopoiesis. (provided by RefSeq)

Limitations

This product is for research use only and is not approved for use in humans or in clinical diagnosis. Primary Antibodies are guaranteed for 1 year from date of receipt.

Customers Who Viewed This Item Also Viewed...

NBP1-31302
Species: Hu, Mu, Rt
Applications: ICC/IF, IHC,  IHC-P, KO, WB
NBP1-89150
Species: Hu
Applications: IHC,  IHC-P, WB
H00011026-M01
Species: Hu
Applications: ELISA, WB
NBP3-52052
Species: Hu
Applications: ICC/IF, IHC,  IHC-P, WB
NBP1-81646
Species: Hu
Applications: IHC,  IHC-P
NB110-82375
Species: Hu, Mu, Rt
Applications: Simple Western, WB
MAB6218
Species: Hu, Mu, Rt
Applications: WB
NB110-59723
Species: Hu, Mu, Po
Applications: ICC/IF, IHC,  IHC-P, WB
NBP2-14871
Species: Mu, Rt
Applications: ICC/IF, WB
AF2377
Species: Mu
Applications: IHC, Simple Western, WB
NBP2-87539
Species: Hu
Applications: IHC,  IHC-P, WB
NBP1-77077
Species: Hu, Mu, Rt
Applications: ELISA, ICC/IF, IHC,  IHC-P, KD, WB
AF5129
Species: Hu
Applications: WB
H00010928-M02
Species: Hu, Xp
Applications: ELISA, ICC/IF, IP, WB
MAB7157
Species: Hu
Applications: CyTOF-ready, ICC, ICFlow, WB
NBP3-32113
Species: Hu, Mu, Rt
Applications: IHC,  IHC-P, WB
NBP2-21037
Species: Hu
Applications: IHC,  IHC-P, WB
NBP1-87905
Species: Hu
Applications: ICC/IF, IHC,  IHC-P, WB
DC1630
Species: Hu
Applications: ELISA
NBP2-94465
Species: Hu, Mu, Rt
Applications: WB, ELISA

Publications for LAPTM5 Antibody (NBP2-94465) (0)

There are no publications for LAPTM5 Antibody (NBP2-94465).
By submitting your publication information earn gift cards and discounts for future purchases.

Reviews for LAPTM5 Antibody (NBP2-94465) (0)

There are no reviews for LAPTM5 Antibody (NBP2-94465). By submitting a review you will receive an Amazon e-Gift Card or Novus Product Discount.
  • Review with no image -- $10/€7/£6/$10 CAD/¥70 Yuan/¥1110 Yen
  • Review with an image -- $25/€18/£15/$25 CAD/¥150 Yuan/¥2500 Yen

Product General Protocols

Find general support by application which include: protocols, troubleshooting, illustrated assays, videos and webinars.

Video Protocols

WB Video Protocol

FAQs for LAPTM5 Antibody (NBP2-94465) (0)

There are no specific FAQs related to this product. Read our general customer & technical service FAQs.

Secondary Antibodies

 

Isotype Controls

Additional LAPTM5 Products

Research Areas for LAPTM5 Antibody (NBP2-94465)

Find related products by research area.

Blogs on LAPTM5

There are no specific blogs for LAPTM5, but you can read our latest blog posts.

Customers Who Bought This Also Bought

Contact Information

Product PDFs

Calculators

Concentration Calculator

The concentration calculator allows you to quickly calculate the volume, mass or concentration of your vial. Simply enter your mass, volume, or concentration values for your reagent and the calculator will determine the rest.

=
÷

Review this Product

Be the first to review our LAPTM5 Antibody - Azide and BSA Free and receive a gift card or discount.

Bioinformatics

Gene Symbol LAPTM5