LAPTM4B Antibody (CL5289)

Images

 
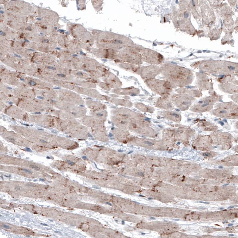
Staining of human heart muscle shows moderate granular cytoplasmic positivity in cardiomyocytes.
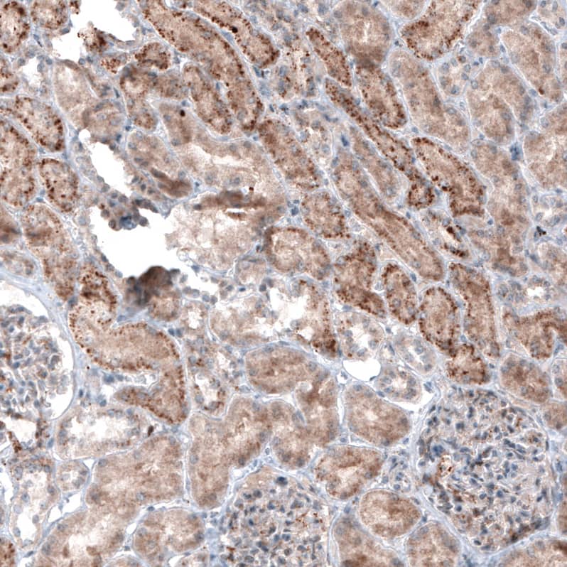
Staining of human kidney shows moderate to strong granular cytoplasmic positivity in cells in tubules.
Staining of human cerebral cortex shows moderate to strong granular cytoplasmic positivity in neurons.
Analysis in human heart muscle and tonsil tissues. Corresponding LAPTM4B RNA-seq data are presented for the same tissues.
Staining of human tonsil shows no positivity in non-germinal center cells as expected.
Analysis in human cell line HEL.
Staining of A-431 cells showing specific staining in vesicles and the golgi apparatus in green. Microtubule- and nuclear probes are visualized in red and blue, respectively (where available).

Product Details

Summary
Reactivity HuSpecies Glossary
Applications WB, ICC/IF, IHC
Clone
CL5289
Clonality
Monoclonal
Host
Mouse
Conjugate
Unconjugated
Concentration
1 mg/ml

Order Details

LAPTM4B Antibody (CL5289) Summary

Additional Information
Recombinant Monoclonal Antibody
Immunogen
This antibody was developed using a synthetic peptide derived from Q86VI4, with the exact immunogen sequence remaining proprietary.
Isotype
IgG1
Clonality
Monoclonal
Host
Mouse
Gene
LAPTM4B
Purity
Protein A purified
Innovator's Reward
Test in a species/application not listed above to receive a full credit towards a future purchase.

Applications/Dilutions

Dilutions
  • Immunocytochemistry/ Immunofluorescence 2-10 ug/ml
  • Immunohistochemistry 1:500 - 1:1000
  • Immunohistochemistry-Paraffin 1:500 - 1:1000
  • Western Blot 1 ug/ml
Application Notes
For IHC-Paraffin, HIER pH 6 retrieval is recommended. ICC/IF Fixation Permeabilization: Use PFA/Triton X-100.

Packaging, Storage & Formulations

Storage
Store at 4C short term. Aliquot and store at -20C long term. Avoid freeze-thaw cycles.
Buffer
PBS, pH 7.2, 40% glycerol
Preservative
0.02% Sodium Azide
Concentration
1 mg/ml
Purity
Protein A purified

Alternate Names for LAPTM4B Antibody (CL5289)

  • LAPTM4beta
  • LC27
  • lysosomal associated protein transmembrane 4 beta
  • lysosomal protein transmembrane 4 beta
  • lysosomal-associated transmembrane protein 4B
  • Lysosome-associated transmembrane protein 4-beta

Background

LAPTM4B( AAH14129, 1 a.a. - 227 a.a.) full-length recombinant protein with GST.

Limitations

This product is for research use only and is not approved for use in humans or in clinical diagnosis. Primary Antibodies are guaranteed for 1 year from date of receipt.

Customers Who Viewed This Item Also Viewed...

NBP1-32914
Species: Hu, Mu
Applications: ICC/IF, IHC, WB
NBP1-26612
Species: Hu
Applications: IP (-), WB
AF6324
Species: Hu
Applications: WB
AF887
Species: Hu, Mu, Rt
Applications: CyTOF-ready, IHC, ICFlow, Simple Western, WB
NB600-302
Species: Bv, Dr, Hu, Mu
Applications: ChIP, ELISA, Flow-IC, Flow, IB, ICC/IF, IHC, IHC-Fr,  IHC-P, IP, PLA, S-ELISA, Simple Western, WB
AF800
Species: Hu, Mu
Applications: IP, Simple Western, WB
MAB6210
Species: Hu
Applications: Simple Western, WB
NBP1-81646
Species: Hu
Applications: IHC,  IHC-P
NBP2-19804
Species: Hu, Mu
Applications: ICC/IF, IHC,  IHC-P, WB
NBP2-15071
Species: Hu, Mu, Rt
Applications: ICC/IF, IHC,  IHC-P, KO, WB
NBP2-46404
Species: Hu, Mu, Rt
Applications: IHC,  IHC-P
AF3357
Species: Mu
Applications: WB
NB110-82375
Species: Hu, Mu, Rt
Applications: Simple Western, WB
AF820
Species: Hu, Mu
Applications: ICC, IHC, KO, Simple Western, WB
NBP2-32840
Species: Hu, Pm, Mu, Rt
Applications: Flow, ICC/IF, IHC,  IHC-P, WB
NB100-56098
Species: Ca, Hu, Mu, Rt
Applications: IHC,  IHC-P, IP, WB

Publications for LAPTM4B Antibody (NBP3-52052) (0)

There are no publications for LAPTM4B Antibody (NBP3-52052).
By submitting your publication information earn gift cards and discounts for future purchases.

Reviews for LAPTM4B Antibody (NBP3-52052) (0)

There are no reviews for LAPTM4B Antibody (NBP3-52052). By submitting a review you will receive an Amazon e-Gift Card or Novus Product Discount.
  • Review with no image -- $10/€7/£6/$10 CAD/¥70 Yuan/¥1110 Yen
  • Review with an image -- $25/€18/£15/$25 CAD/¥150 Yuan/¥2500 Yen

Product General Protocols

Find general support by application which include: protocols, troubleshooting, illustrated assays, videos and webinars.

Video Protocols

WB Video Protocol
ICC/IF Video Protocol

FAQs for LAPTM4B Antibody (NBP3-52052) (0)

There are no specific FAQs related to this product. Read our general customer & technical service FAQs.

Secondary Antibodies

 

Isotype Controls

Additional LAPTM4B Products

Research Areas for LAPTM4B Antibody (NBP3-52052)

Find related products by research area.

Blogs on LAPTM4B

There are no specific blogs for LAPTM4B, but you can read our latest blog posts.

Customers Who Bought This Also Bought

Contact Information

Product PDFs

Calculators

Concentration Calculator

The concentration calculator allows you to quickly calculate the volume, mass or concentration of your vial. Simply enter your mass, volume, or concentration values for your reagent and the calculator will determine the rest.

=
÷

Review this Product

Be the first to review our LAPTM4B Antibody (CL5289) and receive a gift card or discount.

Bioinformatics

Gene Symbol LAPTM4B