Laminin beta 3 Antibody (CL3353) - Azide and BSA Free

Images

 
Staining of A-431 cells using the Anti-Laminin beta 3 monoclonal antibody) .
Orthogonal Strategies: Analysis in human skin and pancreas tissues using NBP3-43799 antibody. Corresponding Laminin beta 3 RNA-seq data are presented for the same tissues.
Staining of human fallopian tube shows moderate to strong positivity in basement membrane of glandular cells.
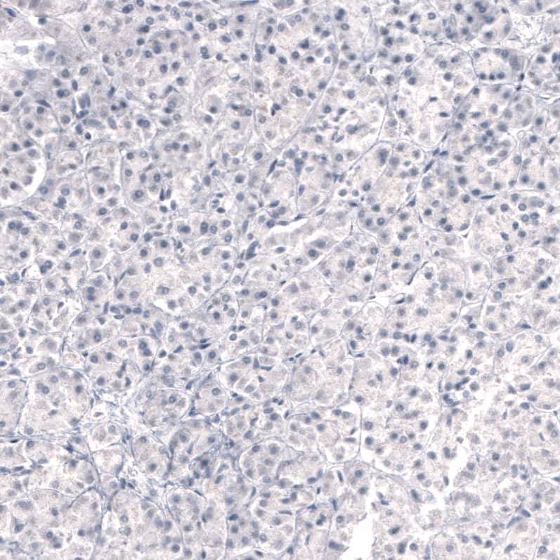
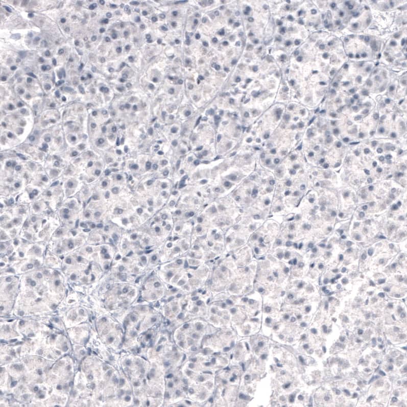
Staining of human pancreas shows no positivity in glandular cells as expected.
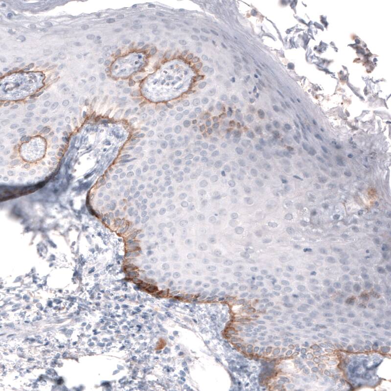
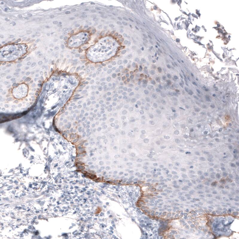
Staining of human skin shows moderate positivity in the basement membrane of the basal layer of epidermal cells.
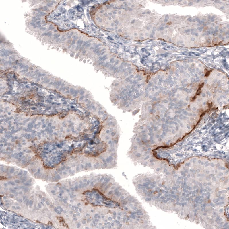
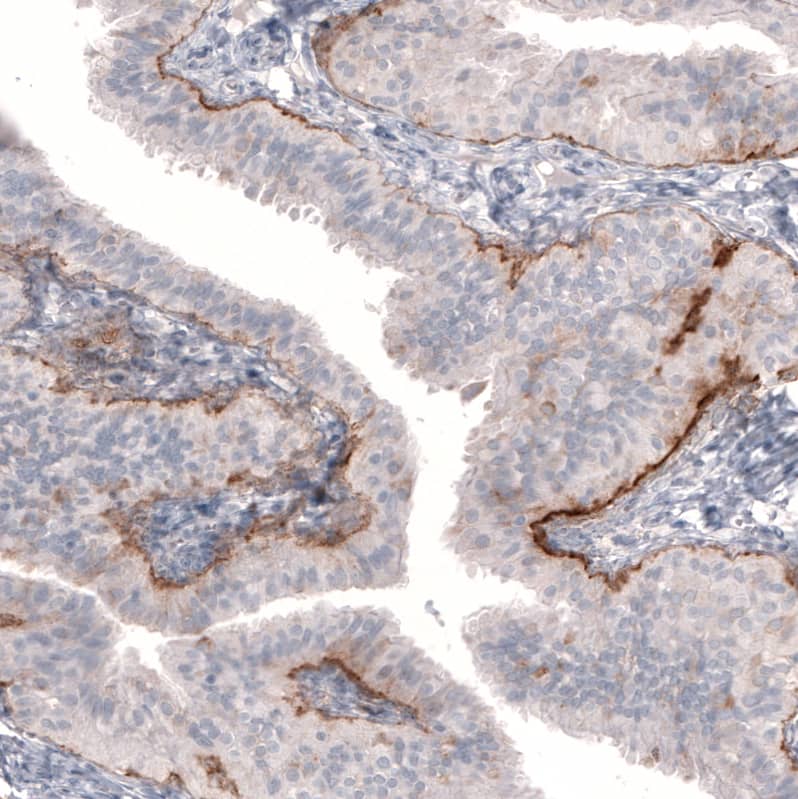
Staining of human prostate shows moderate to strong positivity in basement membrane of glandular cells.
Staining of rat lung shows moderate to strong positivity in basement membrane of pneumocytes.
Analysis of purified human recombinant Laminin-332, Laminin-421, Laminin-511, Laminin-121 and Laminin-221.
Staining of rat skin shows moderate to strong positivity in basement membrane basal epidermal cells.
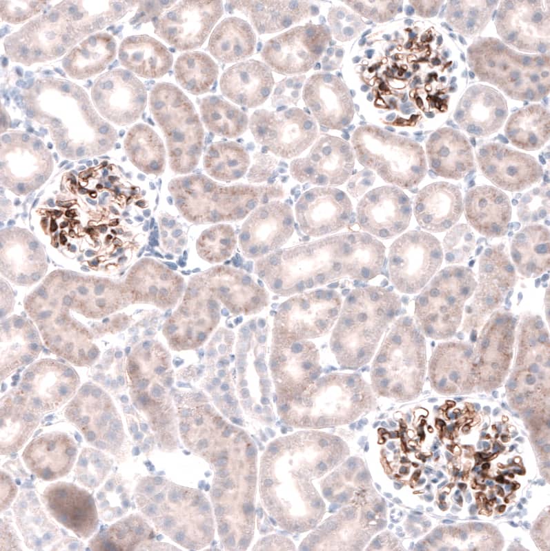
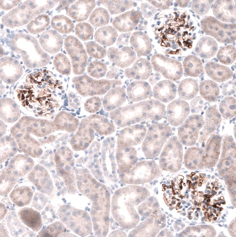
Staining of rat kidney shows strong positivity in basement membrane in cells in glomeruli.
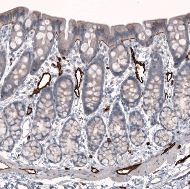
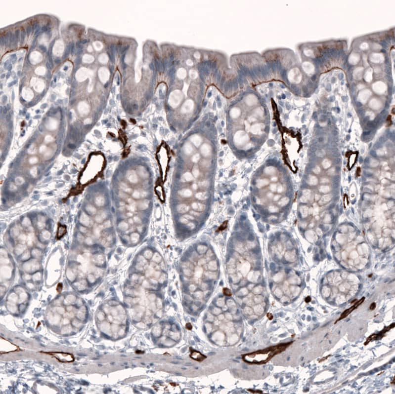
Staining of rat rectum shows moderate positivity in basement membrane of glandular cells, as well as strong positivity in endothelial cells.
Analysis in human lung tissue.

Product Details

Summary
Reactivity Hu, RtSpecies Glossary
Applications WB, ICC/IF, IHC
Clone
CL3353
Clonality
Monoclonal
Host
Mouse
Conjugate
Unconjugated
Format
Azide and BSA Free
Concentration
LYOPH
Validated by:
       

Orthogonal Strategies

 

Order Details

Laminin beta 3 Antibody (CL3353) - Azide and BSA Free Summary

Description
Novus Biologicals Mouse Laminin beta 3 Antibody (CL3353) - Azide and BSA Free (NBP2-46622) is a monoclonal antibody validated for use in IHC, WB and ICC/IF. All Novus Biologicals antibodies are covered by our 100% guarantee.
Immunogen
This antibody was generated using a recombinant protein sequence of Q13751, with the exact immunogen sequence remaining proprietary.
Isotype
IgG1
Clonality
Monoclonal
Host
Mouse
Gene
LAMB3
Purity
Protein A purified
Innovator's Reward
Test in a species/application not listed above to receive a full credit towards a future purchase.

Applications/Dilutions

Dilutions
  • Immunocytochemistry/ Immunofluorescence 2-10 ug/ml
  • Immunohistochemistry-Paraffin 1:500 - 1:1000
  • Western Blot 1 ug/ml
Application Notes
For IHC-Paraffin, HIER pH 6 retrieval is recommended. Immunocytochemistry/ Immunofluorescence/IF Fixation/Permeabilization: PFA/Triton X-100.

Packaging, Storage & Formulations

Storage
Store at 4C short term. Aliquot and store at -20C long term. Avoid freeze-thaw cycles.
Buffer
Lyophilized from a 0.2 um filtered solution in PBS with Trehalose
Preservative
No Preservative
Concentration
LYOPH
Purity
Protein A purified
Reconstitution Instructions
Centrifuge the vial of lyophilized antibody at 12,000 x g for 20 seconds. Reconstitute by adding sterile, distilled water to achieve a final antibody concentration of 1mg/ml.

Alternate Names for Laminin beta 3 Antibody (CL3353) - Azide and BSA Free

  • BM600-125kDa
  • Epiligrin subunit bata
  • FLJ99565
  • Kalinin B1 chain
  • Kalinin subunit beta
  • kalinin-140kDa
  • LAM5
  • Laminin 5
  • Laminin B1k chain
  • laminin S B3 chain
  • laminin subunit beta-3
  • laminin, beta 3 (nicein (125kD), kalinin (140kD), BM600 (125kD))
  • laminin, beta 3
  • Laminin-5 subunit beta
  • LAMNB1
  • Nicein subunit beta
  • nicein-125kDa

Background

The product encoded by this gene is a laminin that belongs to a family of basement membrane proteins. This protein is a beta subunit laminin, which together with an alpha and a gamma subunit, forms laminin-5. Mutations in this gene cause epidermolysis bullosa junctional Herlitz type, and generalized atrophic benign epidermolysis bullosa, diseases that are characterized by blistering of the skin. Multiple alternatively spliced transcript variants that encode the same protein have been found for this gene.

Limitations

This product is for research use only and is not approved for use in humans or in clinical diagnosis. Primary Antibodies are guaranteed for 1 year from date of receipt.

Customers Who Viewed This Item Also Viewed...

NBP2-42388
Species: Hu
Applications: ICC/IF, IHC,  IHC-P, KD, WB
MAB21441
Species: Hu
Applications: ICC, IHC, IP, ICFlow, WB
NBP1-91800
Species: Hu
Applications: IHC,  IHC-P, WB
NBP3-07751
Species: Bv, Eq, Gt, Gp, Hu, Sh
Applications: ELISA, Flow, ICC/IF, IHC,  IHC-P, WB
NBP1-89946
Species: Hu
Applications: ICC/IF, IHC,  IHC-P
NBP2-30604
Species: Hu
Applications: IHC,  IHC-P
NBP2-34270
Species: Hu, Mu, Rt
Applications: Flow, ICC/IF, IHC, IHC-Fr,  IHC-P, Simple Western
AF482
Species: Mu
Applications: IHC, WB
DTSP20
Species: Hu
Applications: ELISA
DTSP10
Species: Hu
Applications: ELISA
NBP1-86061
Species: Hu
Applications: ICC/IF, IHC,  IHC-P
NBP2-14214
Species: Hu
Applications: IHC,  IHC-P
NBP2-59451
Species: Hu
Applications: ELISA, Flow, ICC/IF, MiAr, Simple Western, WB
NBP2-67471
Species: Hu, Mu, Rt
Applications: ICC/IF, IHC,  IHC-P, WB
NBP1-90312
Species: Hu
Applications: IHC,  IHC-P
NBP3-43799
Species: Hu, Rt
Applications: WB, ICC/IF, IHC

Publications for Laminin beta 3 Antibody (NBP3-43799) (0)

There are no publications for Laminin beta 3 Antibody (NBP3-43799).
By submitting your publication information earn gift cards and discounts for future purchases.

Reviews for Laminin beta 3 Antibody (NBP3-43799) (0)

There are no reviews for Laminin beta 3 Antibody (NBP3-43799). By submitting a review you will receive an Amazon e-Gift Card or Novus Product Discount.
  • Review with no image -- $10/€7/£6/$10 CAD/¥70 Yuan/¥1110 Yen
  • Review with an image -- $25/€18/£15/$25 CAD/¥150 Yuan/¥2500 Yen

Product General Protocols

Find general support by application which include: protocols, troubleshooting, illustrated assays, videos and webinars.

Video Protocols

WB Video Protocol
ICC/IF Video Protocol

FAQs for Laminin beta 3 Antibody (NBP3-43799) (0)

There are no specific FAQs related to this product. Read our general customer & technical service FAQs.

Customers Who Bought This Also Bought

Contact Information

Product PDFs

Calculators

Concentration Calculator

The concentration calculator allows you to quickly calculate the volume, mass or concentration of your vial. Simply enter your mass, volume, or concentration values for your reagent and the calculator will determine the rest.

=
÷

Review this Product

Be the first to review our Laminin beta 3 Antibody (CL3353) - Azide and BSA Free and receive a gift card or discount.

Bioinformatics

Gene Symbol LAMB3