KLHDC3 Antibody (A8-E8)

Images

 
Western Blot: KLHDC3 Antibody (A8-E8) [NBP2-66919] - Analysis on mouse testis tissue lysate using anti-KLHDC3 mouse mAb.
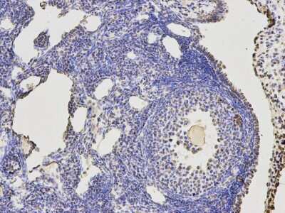
Immunohistochemistry-Paraffin: KLHDC3 Antibody (A8-E8) [NBP2-66919] - Analysis of paraffin-embedded mouse ovary tissue using anti- KLHDC3 mouse mAb.
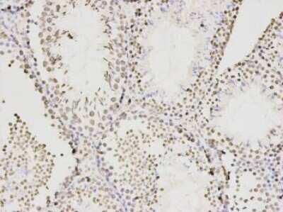
Immunohistochemistry-Paraffin: KLHDC3 Antibody (A8-E8) [NBP2-66919] - Analysis of paraffin-embedded mouse testis tissue using anti- KLHDC3 mouse mAb.

Product Details

Summary
Product Discontinued
View other related KLHDC3 Primary Antibodies

Order Details


    • Catalog Number
      NBP2-66919
    • Availability
      Product Discontinued

    Can't find what you are looking for? Use our Antibody Concierge Service & we will help you locate your antibody!

    Or feel free to contact us for alternative products.

KLHDC3 Antibody (A8-E8) Summary

Additional Information
Recombinant Monoclonal Antibody
Immunogen
Recombinant protein within Human KLHDC3 aa 121-382 / 382. (SwissProt: Q9BQ90 Human)
Localization
Nucleus
Isotype
IgG1
Clonality
Monoclonal
Host
Mouse
Gene
KLHDC3
Purity
Protein A purified
Innovator's Reward
Test in a species/application not listed above to receive a full credit towards a future purchase.

Applications/Dilutions

Dilutions
  • Immunohistochemistry
  • Immunohistochemistry-Paraffin 1:200-1:500
  • Western Blot 1:2000-5000

Reactivity Notes

Mouse blocking reagent may be needed for IHC and ICC experiments to reduce high background signal. You can find these reagents under catalog numbers PK-2200-NB and MP-2400-NB. Please contact Technical Support if you have any. Please note that this antibody is reactive to Mouse and derived from the same host, Mouse. Mouse-On-questions.

Packaging, Storage & Formulations

Storage
Store at 4C short term. Aliquot and store at -20C long term. Avoid freeze-thaw cycles.
Buffer
PBS (pH7.4), 0.2% BSA, 40% Glycerol
Preservative
0.05% Sodium Azide
Concentration
2 mg/ml
Purity
Protein A purified

Alternate Names for KLHDC3 Antibody (A8-E8)

  • hPeas
  • kelch domain containing 3
  • kelch domain-containing protein 3
  • PEASdJ20C7.3
  • Protein Peas
  • RP1-20C7.3
  • Testis intracellular mediator protein

Background

KLHDC3 is a gene that codes for a protein that may be involved in the meiotic recombination process, as it is found in meiotic chromatin, and it has a length of 382 amino acids and a mass of approximately 43 kDa. KLHDC3 has also been shown to have interactions with DLG3, UBXN7, TCEB2, TCEB1, and CUL2 in pathways such as the metabolism of proteins and unfolded protein response pathways.

Limitations

This product is for research use only and is not approved for use in humans or in clinical diagnosis. Primary Antibodies are guaranteed for 1 year from date of receipt.

Customers Who Viewed This Item Also Viewed...

NBP1-90276
Species: Hu, Mu
Applications: ICC/IF, IHC,  IHC-P, WB
NBP1-90294
Species: Hu
Applications: ICC/IF, IHC,  IHC-P, WB
NBP2-67909
Species: Hu, Mu, Rt
Applications: Flow, IHC,  IHC-P, IP, WB
NBP1-91952
Species: Hu
Applications: ICC/IF, IHC,  IHC-P, WB
AF3088
Species: Mu
Applications: WB
NB100-846
Species: Hu, Mu, Rt
Applications: Flow, ICC/IF, PEP-ELISA, WB
NBP2-94007
Species: Hu, Mu
Applications: ICC/IF, WB
NBP1-85351
Species: Hu, Mu, Rt
Applications: ICC/IF, IHC,  IHC-P, WB
NBP3-18420
Species: Hu
Applications: IP, WB
H00004957-M01
Species: Ce, Hu
Applications: ELISA, ICC/IF, IHC, WB
NBP2-01340
Species: Ca, Hu, Mu, Rt
Applications: ICC/IF, WB
NB100-236
Species: Hu, Mu
Applications: IB, IHC, IHC-Fr, WB
NB110-41404
Species: Bv, Hu, Mu, Rt
Applications: ICC/IF, IHC, WB
NBP3-05078
Species: Hu, Mu, Rt
Applications: ICC/IF, IHC,  IHC-P, WB
NBP2-15447
Species: Hu
Applications: WB
NBP2-03621
Species: Hu, Mu, Rt
Applications: ICC/IF, IHC,  IHC-P, WB
NBP2-02939
Species: Ca, Hu, Pm, Mu, Pm, Rt
Applications: Flow, ICC/IF, WB
NBP3-15868
Species: Hu, Mu, Rt
Applications: ELISA, ICC/IF, IHC,  IHC-P, WB

Publications for KLHDC3 Antibody (NBP2-66919) (0)

There are no publications for KLHDC3 Antibody (NBP2-66919).
By submitting your publication information earn gift cards and discounts for future purchases.

Reviews for KLHDC3 Antibody (NBP2-66919) (0)

There are no reviews for KLHDC3 Antibody (NBP2-66919). By submitting a review you will receive an Amazon e-Gift Card or Novus Product Discount.
  • Review with no image -- $10/€7/£6/$10 CAD/¥70 Yuan/¥1110 Yen
  • Review with an image -- $25/€18/£15/$25 CAD/¥150 Yuan/¥2500 Yen

Product General Protocols

Find general support by application which include: protocols, troubleshooting, illustrated assays, videos and webinars.

Video Protocols

WB Video Protocol

FAQs for KLHDC3 Antibody (NBP2-66919) (0)

There are no specific FAQs related to this product. Read our general customer & technical service FAQs.

Secondary Antibodies

 

Isotype Controls

Additional KLHDC3 Products

Research Areas for KLHDC3 Antibody (NBP2-66919)

Find related products by research area.

Blogs on KLHDC3

There are no specific blogs for KLHDC3, but you can read our latest blog posts.

Contact Information

Product PDFs

Calculators

Concentration Calculator

The concentration calculator allows you to quickly calculate the volume, mass or concentration of your vial. Simply enter your mass, volume, or concentration values for your reagent and the calculator will determine the rest.

=
÷

Review this Product

Be the first to review our KLHDC3 Antibody (A8-E8) and receive a gift card or discount.

Bioinformatics

Gene Symbol KLHDC3