KCNMB3 Antibody

Images

 
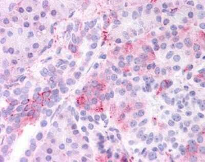
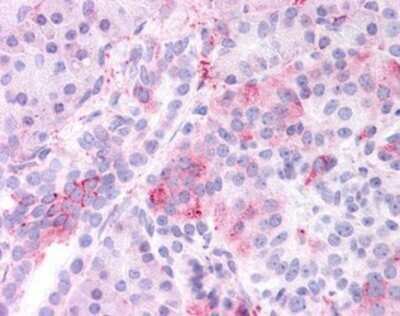
Immunohistochemistry-Paraffin: KCNMB3 Antibody [NB100-90594] - Staining of human pancreas. Immunohistochemistry of formalin-fixed, paraffin-embedded tissue after heat-induced antigen retrieval. Antibody concentration 5 ...read more

Product Details

Summary
Product Discontinued
View other related KCNMB3 Primary Antibodies

Order Details


    • Catalog Number
      NB100-90594
    • Availability
      Product Discontinued

    Can't find what you are looking for? Use our Antibody Concierge Service & we will help you locate your antibody!

    Or feel free to contact us for alternative products.

KCNMB3 Antibody Summary

Immunogen
Synthetic 17 amino acid peptide from internal region of human KCNMB3.
Epitope
internal domain of human
Specificity
Human KCNMB3. BLAST analysis of the peptide immunogen showed no homology with other human proteins.
Predicted Species
Monkey (94%). Backed by our 100% Guarantee.
Isotype
IgG
Clonality
Polyclonal
Host
Rabbit
Gene
KCNMB3
Purity
Immunogen affinity purified
Innovator's Reward
Test in a species/application not listed above to receive a full credit towards a future purchase.

Applications/Dilutions

Dilutions
  • Immunohistochemistry
  • Immunohistochemistry-Paraffin 2.5 ug/ml

Reactivity Notes

Predicted cross-reactivity based on sequence identity: Gorilla (100%), Bovine (88%), Bat (88%), Equine (88%), Gibbon (82%), Canine (82%), Porcine (82%).

Packaging, Storage & Formulations

Storage
Store at 4C short term. Aliquot and store at -20C long term. Avoid freeze-thaw cycles.
Buffer
PBS
Preservative
0.1% Sodium Azide
Concentration
0.3 mg/ml
Purity
Immunogen affinity purified

Alternate Names for KCNMB3 Antibody

  • BK channel subunit beta-3
  • BKbeta3
  • Hbeta3
  • KCNMB2
  • KCNMBL
  • potassium large conductance calcium-activated channel, subfamily M beta member3
  • slo-beta-3
  • subfamily M subunit beta-3
  • voltage and Ca2+ activated potassium channel Maxi K beta 3subunit

Background

K channels are large conductance, voltage and calcium-sensitive potassium channels composed of the pore-forming alpha subunit and in some tissues a modulatory beta subunit. K cahannels are fundamental to the control of smooth muscle tone and neuronal excitability. KCNMB3 is a regulatory beta subunit of the K channel. It modulates the calcium sensitivity and gating kinetics of K thereby contributing to channel diversity.

Limitations

This product is for research use only and is not approved for use in humans or in clinical diagnosis. Primary Antibodies are guaranteed for 1 year from date of receipt.

Customers Who Viewed This Item Also Viewed...

NBP3-48775
Species: Hu, Mu, Rt
Applications: ICC/IF, WB
NB300-535
Species: Ca, Hu, Mu, Po, Rb, Rt
Applications: Flow, ICC/IF, IHC,  IHC-P, KD, WB
NBP2-56583
Species: Hu
Applications: ICC/IF, IHC,  IHC-P
NBP1-85823
Species: Hu
Applications: ChIP, IHC,  IHC-P, WB
DTSP10
Species: Hu
Applications: ELISA
NB100-56508
Species: Av, Hu, Mu, Rt
Applications: CyTOF-ready, Flow-IC, Flow, IHC,  IHC-P, WB
NBP2-37447
Species: Hu
Applications: CyTOF-ready, ELISA, Flow, ICC/IF, IHC,  IHC-P
DY1177-05
Species: Hu
Applications: ELISA
291-G1
Species: Hu
Applications: BA
H00001181-M01
Species: Hu
Applications: ELISA, KD, S-ELISA, WB
NBP2-48848
Species: Hu
Applications: ChIP-EXO-SEQ, ICC/IF, IHC,  IHC-P, WB
NBP2-02434
Species: Hu, Mu, Rt
Applications: ICC/IF, IHC,  IHC-P, IP, WB
2308-VN
Species: Hu
Applications: BA
NBP2-24582
Species: Hu, Mu, Pm, Rt
Applications: IHC,  IHC-P, WB
AF4940
Species: Hu, Mu
Applications: ICC
MAB197
Species: Hu
Applications: CyTOF-reported, Dual ISH-IHC, Flow, ICC, IHC, Neut
AF432
Species: Mu
Applications: CyTOF-ready, Flow, ICC, WB
NB100-90594
Species: Hu, Pm
Applications: IHC

Publications for KCNMB3 Antibody (NB100-90594) (0)

There are no publications for KCNMB3 Antibody (NB100-90594).
By submitting your publication information earn gift cards and discounts for future purchases.

Reviews for KCNMB3 Antibody (NB100-90594) (0)

There are no reviews for KCNMB3 Antibody (NB100-90594). By submitting a review you will receive an Amazon e-Gift Card or Novus Product Discount.
  • Review with no image -- $10/€7/£6/$10 CAD/¥70 Yuan/¥1110 Yen
  • Review with an image -- $25/€18/£15/$25 CAD/¥150 Yuan/¥2500 Yen

Product General Protocols

Find general support by application which include: protocols, troubleshooting, illustrated assays, videos and webinars.

FAQs for KCNMB3 Antibody (NB100-90594) (0)

There are no specific FAQs related to this product. Read our general customer & technical service FAQs.

Contact Information

Product PDFs

Calculators

Concentration Calculator

The concentration calculator allows you to quickly calculate the volume, mass or concentration of your vial. Simply enter your mass, volume, or concentration values for your reagent and the calculator will determine the rest.

=
÷

Review this Product

Be the first to review our KCNMB3 Antibody and receive a gift card or discount.

Bioinformatics

Gene Symbol KCNMB3
Entrez
Uniprot