HSP27 [p Ser78] Antibody (JJ08-70) Summary
| Additional Information |
Recombinant Monoclonal Antibody. |
| Immunogen |
Synthetic phospho-peptide corresponding to residues surrounding Ser78 of human HSP27. (SwissProt: P04792 Human) |
| Modification |
p Ser78 |
| Localization |
Cytoplasm, Nucleus. |
| Isotype |
IgG |
| Clonality |
Monoclonal |
| Host |
Rabbit |
| Gene |
HSPB1 |
| Purity |
Protein A purified |
| Innovator's Reward |
Test in a species/application not listed above to receive a full credit towards a future purchase. |
Applications/Dilutions
| Dilutions |
- Immunocytochemistry/ Immunofluorescence 1:50-1:200
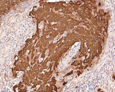
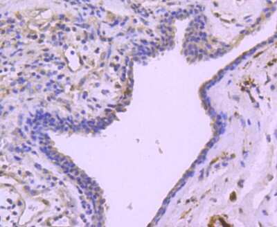
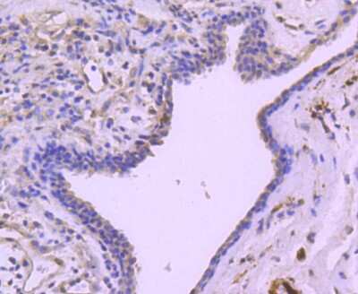
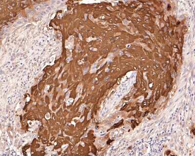
- Immunohistochemistry
- Immunohistochemistry-Paraffin 1:50-1:400
- Immunoprecipitation
- Western Blot 1:1000-1:2000
|
Packaging, Storage & Formulations
| Storage |
Store at 4C short term. Aliquot and store at -20C long term. Avoid freeze-thaw cycles. |
| Buffer |
TBS (pH7.4), 0.05% BSA, 40% Glycerol |
| Preservative |
0.05% Sodium Azide |
| Concentration |
1 mg/ml |
| Purity |
Protein A purified |
Alternate Names for HSP27 [p Ser78] Antibody (JJ08-70)
Background
Hsp25 is the mouse homologue of the human Hsp27 protein, a member of the small heat shock protein family comprised of a diverse group of proteins from approx. 15 to >30kDa(1). The basic structure of most sHsps is a homologous and highly conserved amino acid sequence, with an alpha-crystallin-domain at the C-terminus and the WD/EPF domain at the less conserved N-terminus. This N-terminus is essential for the development of high molecular oligomers (2, 3). Hsp27-oligomers consist of stable dimers formed by as many as 8-40 Hsp27 protein monomers (4). The oligomerization status is connected with the chaperone activity: aggregates of large oligomers have high chaperone activity, whereas dimers have no chaperone activity (5). HSP27 is localized to the cytoplasm of unstressed cells but can redistribute to the nucleus in response to stress, where it may function to stabilize DNA and/or the nuclear membrane. It can be rapidly phosphorylated in response to physiological stimuli relevant to the cell type examined. Thus, hsp27 has been suggested to be an important intermediate in second messenger mediated signaling pathways (6). Other functions include chaperone activity (as mentioned above), thermotolerance in vivo, inhibition of apoptosis, and signal transduction. Specifically, in vitro, it acts as an ATP-independent chaperone by inhibiting protein aggregation and by stabilizing partially denatured proteins, which ensures refolding of the HSP70 complex. Hsp27 is also involved in the apoptotic signaling pathway because it interferes with the activation of cytochrome c/Apaf-1/dATP complex, thereby inhibiting the activation of procaspase-9. It is also hypothesized that hsp27 may serve some role in cross-bridge formation between actin and myosin (7). And finally, Hsp27 is also thought to be involved in the process of cell differentiation. The up-regulation of Hsp27 correlates with the rate of phosphorylation and with an increase of large oligomers. It is possible that Hsp27 may play a crucial role in termination of growth (8).
Limitations
This product is for research use only and is not approved for use in humans or in clinical diagnosis. Primary Antibodies are
guaranteed for 1 year from date of receipt.
Customers Who Viewed This Item Also Viewed...
Species: Hu, Mu, Rt
Applications: ICC/IF, IHC, IHC-P, WB
Species: Hu, Mu
Applications: Flow, IB, ICC/IF, IHC, IHC-P, KD, Simple Western, WB
Species: Hu, Mu, Pm, Rb, Rt, Sh
Applications: ICC/IF, IHC, IHC-P, IP, WB
Species: Hu, Mu, Rt
Applications: IHC, KO, WB
Species: Hu, Mu, Rt
Applications: IHC, KO, Simple Western, WB
Species: Hu
Applications: BA
Species: Hu, Mu, Rt
Applications: ELISA
Species: Hu, Mu, Rt
Applications: ELISA
Species: Hu
Applications: ICC/IF, IHC, IHC-P, WB
Species: Hu, Mu
Applications: ICC/IF, WB
Species: Bv, Fe, Fi, Ha, Hu, Mu, Pm, Rt
Applications: B/N, Flow, IB, ICC/IF, IHC, IHC-Fr, IHC-P, IP, Simple Western, WB
Species: Hu, Mu
Applications: ICC, IHC
Species: Hu, Mu, Rt
Applications: PEP-ELISA, WB
Species: Hu
Applications: ELISA, Flow, ICC/IF, IHC, IHC-P, WB
Species: Hu, Mu, Rt
Applications: Flow, IHC, IHC-P, WB
Species: Hu, Mu, Rt
Applications: ELISA, ICC/IF, S-ELISA, WB
Species: Hu, Mu, Rt
Applications: ICC/IF, IHC, IHC-P, WB
Species: Hu
Applications: ELISA, ICC/IF, IHC, IHC-P, IP, PLA, Simple Western, WB
Publications for HSP27 Antibody (NBP2-67844) (0)
There are no publications for HSP27 Antibody (NBP2-67844).
By submitting your publication information earn gift cards and discounts for future purchases.
Reviews for HSP27 Antibody (NBP2-67844) (0)
There are no reviews for HSP27 Antibody (NBP2-67844).
By submitting a review you will receive an Amazon e-Gift Card or Novus Product Discount.
- Review with no image -- $10/€7/£6/$10 CAD/¥70 Yuan/¥1110 Yen
- Review with an image -- $25/€18/£15/$25 CAD/¥150 Yuan/¥2500 Yen
Product General Protocols
Find general support by application which include: protocols, troubleshooting, illustrated assays, videos and webinars.
Video Protocols
FAQs for HSP27 Antibody (NBP2-67844) (0)