HSF1 [p Ser326] Antibody (SU31-03)

Images

 
Western Blot: HSF1 [p Ser326] Antibody (SU31-03) [NBP2-67455] - Lane 1: Hela cells, whole cell lysate, 10ug/lane, Lane 2/3: Hela cells heated at 42 c for 30 minutes, whole cell lysates, 10ug/lane, Lane 4: Hela cells ...read more
Immunocytochemistry/ Immunofluorescence: HSF1 [p Ser326] Antibody (SU31-03) [NBP2-67455] - U937 human histiocytic lymphoma cell line stained with HSF1 [p Ser326] Antibody (SU31-03). ICC/IF image submitted by a verified ...read more
Immunohistochemistry-Paraffin: HSF1 [p Ser326] Antibody (SU31-03) [NBP2-67455] - Immunohistochemical analysis of paraffin-embedded human tonsil tissue using anti-HSF1 antibody. The section was pre-treated using heat ...read more
Flow Cytometry: HSF1 [p Ser326] Antibody (SU31-03) [NBP2-67455] - Analysis of Hela cells with p-HSF1(S326) antibody at 1/50 dilution (red) compared with an unlabelled control (cells without incubation with primary ...read more
Western Blot: HSF1 [p Ser326] Antibody (SU31-03) [NBP2-67455] - Analysis of p-HSF1(S326) on different lysates using anti-p-HSF1(S326) antibody at 1/1,000 dilution. Positive control: Lane 1: Hela Lane 2: BT20 Lane 3: AGS
Immunocytochemistry/ Immunofluorescence: HSF1 [p Ser326] Antibody (SU31-03) [NBP2-67455] - Staining p-HSF1(S326) in Hela cells (green). The nuclear counter stain is DAPI (blue). Cells were fixed in paraformaldehyde, ...read more
Immunocytochemistry/ Immunofluorescence: HSF1 [p Ser326] Antibody (SU31-03) [NBP2-67455] - Staining p-HSF1(S326) in MCF-7 cells (green). The nuclear counter stain is DAPI (blue). Cells were fixed in paraformaldehyde, ...read more
Immunocytochemistry/ Immunofluorescence: HSF1 [p Ser326] Antibody (SU31-03) [NBP2-67455] - Staining p-HSF1(S326) in AGS cells (green). The nuclear counter stain is DAPI (blue). Cells were fixed in paraformaldehyde, ...read more
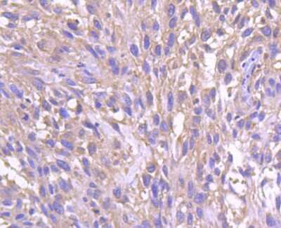
Immunohistochemistry-Paraffin: HSF1 [p Ser326] Antibody (SU31-03) [NBP2-67455] - Analysis of paraffin-embedded human breast carcinoma tissue using anti-p-HSF1(S326) antibody. Counter stained with hematoxylin.
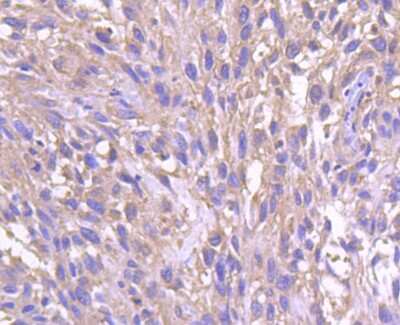
Immunohistochemistry-Paraffin: HSF1 [p Ser326] Antibody (SU31-03) [NBP2-67455] - Immunohistochemical analysis of paraffin-embedded human breast tissue using anti-HSF1 antibody. The section was pre-treated using heat ...read more
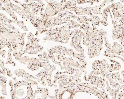
Immunohistochemistry-Paraffin: HSF1 [p Ser326] Antibody (SU31-03) [NBP2-67455] - Immunohistochemical analysis of paraffin-embedded human lung tissue using anti-HSF1 antibody. The section was pre-treated using heat ...read more
Immunohistochemistry-Paraffin: HSF1 [p Ser326] Antibody (SU31-03) [NBP2-67455] - Immunohistochemical analysis of paraffin-embedded human pancreas tissue using anti-HSF1 antibody. The section was pre-treated using heat ...read more
Immunohistochemistry-Paraffin: HSF1 [p Ser326] Antibody (SU31-03) [NBP2-67455] - Immunohistochemical analysis of paraffin-embedded human skin tissue using anti-HSF1 antibody. The section was pre-treated using heat ...read more
Immunohistochemistry-Paraffin: HSF1 [p Ser326] Antibody (SU31-03) [NBP2-67455] - Immunohistochemical analysis of paraffin-embedded human thyroid tissue using anti-HSF1 antibody. The section was pre-treated using heat ...read more

Product Details

Summary
Product Discontinued
View other related HSF1 Primary Antibodies

Order Details


    • Catalog Number
      NBP2-67455
    • Availability
      Product Discontinued

    Can't find what you are looking for? Use our Antibody Concierge Service & we will help you locate your antibody!

    Or feel free to contact us for alternative products.

HSF1 [p Ser326] Antibody (SU31-03) Summary

Additional Information
Recombinant Monoclonal Antibody.
Immunogen
Synthetic phospho-peptide corresponding to residues surrounding Ser326 of Human HSF1 aa 301-350 / 529. (SwissProt: Q00613 Human)
Modification
p Ser326
Localization
Cytoplasm, Nucleus.
Isotype
IgG
Clonality
Monoclonal
Host
Rabbit
Gene
HSF1
Purity
Protein A purified
Innovator's Reward
Test in a species/application not listed above to receive a full credit towards a future purchase.

Applications/Dilutions

Dilutions
  • Flow Cytometry 1:50-1:100
  • Immunocytochemistry/ Immunofluorescence 1:50-1:200
  • Immunohistochemistry
  • Immunohistochemistry-Paraffin 1:50-1:200
  • Immunoprecipitation
  • Western Blot 1:1000-1:2000
Application Notes
HSF1 [p Ser326] antibody validated for ICC/IF from a verified customer review.
Reviewed Applications
Read 1 Review rated 5
using
NBP2-67455 in the following applications:

Packaging, Storage & Formulations

Storage
Store at 4C short term. Aliquot and store at -20C long term. Avoid freeze-thaw cycles.
Buffer
TBS (pH7.4), 0.05% BSA, 40% Glycerol
Preservative
0.05% Sodium Azide
Concentration
1 mg/ml
Purity
Protein A purified

Alternate Names for HSF1 [p Ser326] Antibody (SU31-03)

  • heat shock factor protein 1
  • heat shock transcription factor 1HSTF1HSF 1
  • HSF1
  • HSTF 1
  • HSTF1

Background

Human cells respond to heat stress by inducing the binding of a pre-existing transcriptional activator (heat shock factor, HSF) to DNA (1). Induction of heat shock protein (HSP) gene expression by stress is initiated by binding of HSF1 to HSP gene promoters to increase their transcription. The cytoprotective functions of these HSPs are essential for cell survival, and thus it is critical that inducible HSP gene expression be executed rapidly and efficiently. There is an interaction between heat shock factor 1 (HSF1) and symplekin, a protein known to form a complex with the polyadenylation factors CstF and CPSF. HSF1-symplekin complexes are detected only after stress treatment, and these two proteins co-localize in punctate nuclear structures in stressed cells (2). A chaperone/Hsp functioning as repressor of heat shock transcription factor (HSF) could make activation of hsp genes dependent on protein unfolding. It has been concluded that Hsp90, by itself and/or associated with multichaperone complexes, is a major repressor of HSF1 (3).

Limitations

This product is for research use only and is not approved for use in humans or in clinical diagnosis. Primary Antibodies are guaranteed for 1 year from date of receipt.

Customers Who Viewed This Item Also Viewed...

NBP1-81696
Species: Hu, Mu, Rt
Applications: ICC/IF, IHC,  IHC-P, WB
M6000B
Species: Mu
Applications: ELISA
NB120-2928
Species: Hu, Mu, Pm, Rb, Rt, Sh
Applications: ICC/IF, IHC,  IHC-P, IP, WB
NBP2-32972
Species: Ch, Pm, Hu, Pm, Mu, Rt, Sh
Applications: Flow, ICC/IF, IHC,  IHC-P, WB
AF5227
Species: Hu, Mu
Applications: WB
NBP2-32431
Species: Hu
Applications: IHC,  IHC-P
DYC1663-2
Species: Hu, Mu, Rt
Applications: ELISA
NBP2-22203
Species: Hu, Pm, Mu, Rt
Applications: ELISA, Flow, ICC/IF, IHC,  IHC-P, WB
AF1230
Species: Hu, Mu, Rt
Applications: IHC, KO, WB
NBP2-03433
Species: Ca, Hu, Mu, Rt
Applications: Flow, ICC/IF, IHC,  IHC-P, WB
NBP1-77397
Species: Hu, Mu
Applications: Flow, IB, ICC/IF, IHC,  IHC-P, KD, Simple Western, WB
NB200-103
Species: Hu, Mu, Rt, Xp(-), Ye
Applications: CyTOF-ready, ELISA, Flow-IC, Flow, ICC/IF, IHC, IHC-Fr,  IHC-P, IP, WB
MAB17761
Species: Hu, Mu, Rt
Applications: ICC, WB
MAB5695
Species: Hu, Mu
Applications: WB
MAB8930
Species: Hu
Applications: ICC, Simple Western, WB
NB100-56583
Species: Hu, Rb, Rt
Applications: Flow, IHC,  IHC-P, KO, Simple Western, WB
1206-F3
Species: Hu
Applications: BA

Publications for HSF1 Antibody (NBP2-67455) (0)

There are no publications for HSF1 Antibody (NBP2-67455).
By submitting your publication information earn gift cards and discounts for future purchases.

Review for HSF1 Antibody (NBP2-67455) (1) 51

Average Rating: 5
(Based on 1 review)
We have 1 review tested in 1 species: Human.

Reviews using NBP2-67455:
Filter by Applications
ICC
(1)
All Applications
Filter by Species
Human
(1)
All Species
Images Ratings Applications Species Date Details
Immunocytochemistry HSF1 NBP2-67455
Enlarge
5
reviewed by:
Verified Customer
ICC Human 08/30/2021
View

Summary

ApplicationImmunocytochemistry
Sample TestedU937 human histiocytic lymphoma cell line
SpeciesHuman
LotSU31-03

Product General Protocols

Video Protocols

WB Video Protocol
ICC/IF Video Protocol

FAQs for HSF1 Antibody (NBP2-67455) (0)

There are no specific FAQs related to this product. Read our general customer & technical service FAQs.

Secondary Antibodies

 

Isotype Controls

Additional HSF1 Products

Research Areas for HSF1 Antibody (NBP2-67455)

Find related products by research area.

Blogs on HSF1

There are no specific blogs for HSF1, but you can read our latest blog posts.

Contact Information

Product PDFs

Calculators

Concentration Calculator

The concentration calculator allows you to quickly calculate the volume, mass or concentration of your vial. Simply enter your mass, volume, or concentration values for your reagent and the calculator will determine the rest.

=
÷

Recent Reviews

5
5
1
4
0
3
0
2
0
1
0

Verified Customer
08/30/2021
Application: ICC
Species: Human

Bioinformatics

Gene Symbol HSF1